Sr. Director:
El síndrome de secreción inadecuada de hormona antidiurética (SIADH) tiene que sospecharse en cualquier paciente con hiponatremia hipoosmolar, osmolalidad urinaria elevada, concentración de sodio en orina normalmente mayor de 40 mEq/l, equilibrio ácidobase y kaliemia normales, y frecuentemente una concentración baja de ácido úrico en plasma. Debe existir un volumen extracelular normal y descartarse la existencia de insuficiencia renal, hipotiroidismo, déficit de cortisol y toma de diuréticos1.
Entre las causas de SIADH, se han comunicado aquellas secundarias a diversas neumopatías2-4. Posibles mecanismos inductores en la secreción de vasopresina son: la hipoxemia y la hipercapnia, anormalidades hemodinámicas, alteraciones en la regulación y liberación de desmopresina por tumores, diversos fármacos y estrés4.
Describimos el caso de un paciente varón de 68 años que es llevado a Urgencias por dolor abdominal difuso y vómitos, junto con un cuadro llamativo de bradipsiquia y desorientación temporal. Como antecedentes patológicos, presentaba una enfermedad pulmonar obstructiva crónica por asma grave tratada crónicamente con corticoides orales, diabetes mellitus no insulinodependiente, hipertensión arterial y una resección transuretral de neoplasia de vejiga urinaria cuatro años antes. Su tratamiento habitual consistía en metformina, simvastatina, enalapril, ácido alendrónico, carbonato cálcico, omeprazol, metilprednisolona y broncodilatadores inhalados.
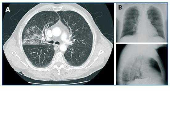
Se realizó una analítica sanguínea que mostró una hiponatremia grave de 115 mmol/l con hipoosmolalidad plasmática de 243 mOsm/kg e hipouricevolumia de 2,4 mg/dl, siendo la caliemia y la función renal normales. Existía en orina una elevada pérdida de sodio de 148 mEq/l. Asimismo, se descartó la existencia de hipotiroidismo e insuficiencia suprarrenal. Orientándose el caso como SIADH, se estableció una restricción hídrica y la administración endovenosa de sueros hipertónicos, existiendo una mejoría progresiva de la hiponatremia y normalización del estado cognitivo. Buscándose la causa del SIADH, se realizó una RMN cerebral sin hallazgos destacables y una TAC torácica que mostró un aumento de densidad de características alveolares limitada a segmentos basales del lóbulo superior derecho, muy sugestivo de neumonía (figura 1A). No obstante, se había realizado una radiografía de tórax al ingreso que no mostraba cambios significativos respecto a controles previos (figura 1B), la auscultación respiratoria fue anodina y no existían leucocitosis ni otros parámetros analíticos sospechosos de infección. Tan sólo destacó durante su estancia hospitalaria una febrícula ocasional de 37,2-37,4 ºC. Por ello, se inició levofloxacino oral realizándose a los seis días nueva TAC torácica que evidenció una importante mejoría de la neumonía. Los antígenos urinarios para Legionella y Neumococo fueron negativos. Progresivamente, fue posible la retirada de sueros hipertónicos, continuando al alta tras 15 días del ingreso con la restricción hídrica, 6 g diarios de sal oral y 10 mg/día de torasemida, permaneciendo los niveles plasmáticos de sodio estables en 131 mmol/l. En el seguimiento ambulatorio, se retiraron los aportes de sal y diurético, evidenciándose al mes del ingreso una completa resolución del SIADH con sodio plasmático de 136 mmol/l.
Entre las neumopatías descritas en la literatura como potenciales inductoras de la SIADH, se encuentran: neumonías (virales, bacterianas, tuberculosas, micóticas), abscesos pulmonares, asma, atelectasias, neumotórax y enfermedad fibroquística2-4. Con respecto a los tumores pulmonares, especialmente se halla involucrado el de células pequeñas, siendo la situación inductora del SIADH un mecanismo paraneplásico por secreción ectópica de vasopresina4. En estos casos descritos, destaca inicialmente la sintomatología propia de estas enfermedades pulmonares. En nuestro paciente, llama la atención que el estudio etiológico del SIADH nos llevó al diagnóstico de la neumonía tras la realización de una TAC torácica. Es por ello que queremos destacar la importancia del estudio pulmonar ante un caso de SIADH, sobre todo en aquellos enfermos immunodeprimidos, como pueden ser los tratados habitualmente con corticoides, en los cuales posibles cuadros infecciosos pueden cursar de manera larvada y, en consecuencia, con una muy baja sospecha clínica.
Figura 1.
 
										
				






