La pandemia del SARS-CoV-2 ha supuesto la crisis sanitaria, social y económica más devastadora de los últimos años a nivel mundial. Durante la misma se han promocionado productos para la prevención y tratamiento frente al citado coronavirus. Algunos de estos productos incluyen dióxido de cloro o clorito de sodio, también conocido como Miracle Mineral Solution (MMS)1.
El dióxido de cloro es un potente agente oxidante que se disocia rápidamente en los tejidos biológicos produciendo su agente activo, el clorito de sodio2.
Actualmente no existe evidencia científica que acredite seguridad o eficacia en el empleo de dicha sustancia y sus derivados contra el SARS-CoV-2. Asimismo, desde el 2010 diferentes autoridades sanitarias, como la Agencia Española de Medicamentos y Productos Sanitarios (AEMPS), la Administración de Alimentos y Medicamentos (FDA), la Organización Panamericana de la Salud (OPS) o la Therapeutic Good Administration (TGA), han alertado de los severos efectos secundarios relacionados con su consumo3,4.
A continuación, presentamos el primer caso descrito en la literatura de un síndrome pierde sal cerebral que se manifestó con hiponatremia severa como reacción adversa al consumo de dióxido de cloro.
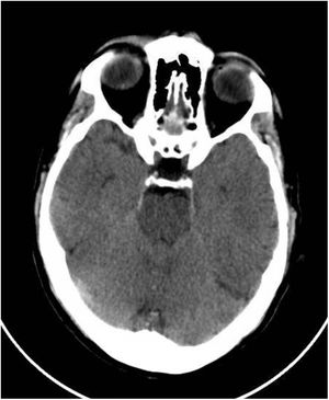
Se trata de un varón de 61 años sin antecedentes personales, y no vacunado frente al SARS-CoV-2, que comenzó a consumir por voluntad propia de forma diaria dióxido de cloro con la creencia de prevenir la infección. A las 2 semanas presentó cuadro encefalopático de instauración progresiva con bradipsiquia, desrealización, irritabilidad e inquietud. A la exploración física se evidenció deshidratación cutáneo-mucosa. Se realizó tomografía computarizada (TC) craneal que reveló edema cerebral e hipertensión intracraneal idiopática (fig. 1). Se realizaron fondo de ojo y punción lumbar resultando normales. En analítica sanguínea se objetivó: sodio 112mEq/l, cloro 77mEq/l, osmolaridad plasmática 230mOsm/kg y ácido úrico 2,2mg/dl, excreción fraccionada de úrico (FEUa) al ingreso: 15,4% y tras 72h con normalización de la natremia, FEUa: 11,4%. En gasometría venosa se objetivó pH 7,42, bicarbonato (HCO3) 21mmol/l, CO2 42mmHg. Resto sin hallazgos a destacar. En análisis urinario: sodio 72mEq/l, potasio 30mEq/l, cloro 55mEq/l, ácido úrico 15,4mg/dl y osmolaridad 224mOsm/kg. Se retiró de forma inmediata el dióxido de cloro iniciándose tratamiento para reposición hidroelectrolítica según déficit de sodio progresivamente, con restablecimiento paulatino del estado neurológico y normalización de parámetros analíticos (tabla 1). Se realizó un diagnóstico diferencial de otras posibles causas de hiponatremia.
Evolución de parámetros analíticos
| Al ingreso | Tras 20h | Tras 72h | ||||
|---|---|---|---|---|---|---|
| Plasma | Orina | Plasma | Orina | Plasma | Orina | |
| Glucosa, mg/dl | 103 | 0 | 81 | 1 | 80 | 2 |
| Urea, mg/dl | 21 | 526 | 15 | 221 | 22 | 647 |
| Creatinina, mg/dl | 0,77 | 35 | 0,69 | 14 | 0,95 | 50 |
| Ácido úrico, mg/dl | 2,2 | 15,4 | 2,3 | 7 | 3 | 18 |
| Sodio, mEq/l | 112 | 72 | 119 | 67 | 135 | 102 |
| Potasio, mEq/l | 4,4 | 30 | 3,7 | 7 | 3,8 | 13 |
| Cloro, mEq/l | 77 | 55 | 88 | 69 | 98 | 101 |
| Osmolaridad, mOsm/kg | 230 | 222 | 260 | 164 | 263 | 301 |
| FEUa, % | 15,4 | 15 | 11,4 | |||
| pH | 7,42 | 6 | 7,37 | 6,5 | 7,36 | 7,5 |
| HCO3, mmol/l | 21 | 25,3 | 24,7 | |||
| PCO2, mmHg | 42 | 50 | 46 | |||
| Anión GAP, mEq/l | 18,4 | 47 | 9,4 | 5 | 11,1 | 14 |
FEUa: excreción fraccionada de úrico; HCO3: bicarbonato; pCO2, presión parcial de dióxido de carbono, pH: potencial de hidrógeno.
El consumo de dióxido de cloro ha aumentado de forma exponencial durante la pandemia debido a la divulgación de información errónea en medios de comunicación y redes sociales sobre su posible efecto profiláctico en el desarrollo de una infección por SARS-CoV-2. Las reacciones adversas más frecuentes del mismo son insuficiencia respiratoria, alteraciones del ritmo cardíaco, insuficiencia hepática aguda, hipotensión, alteraciones gastrointestinales o lesión renal aguda5,6. Se han descrito cuadros digestivos graves vinculados al consumo de esta sustancia que podrían causar hiponatremia secundaria a la situación de pérdidas del paciente. Hasta el momento, en la literatura no se ha comunicado la aparición de un síndrome pierde sal cerebral tras la ingesta de esta sustancia.
En el caso descrito se estable como diagnóstico de presunción un síndrome pierde sal cerebral, caracterizado por hiponatremia (sodio plasmático inferior a 135mEq/l), hipotónica (osmolaridad plasmática <280mOsm/kg), hipovolémica (presencia de signos de deshidratación), con pérdidas renales de sodio con sodio urinario >40mEq/l y osmolaridad urinaria alta (>100mOsm/kg) acompañada de hipouricemia (ácido úrico inferior a 4mg/dl) y una excreción fraccional de ácido úrico (FEUa) elevada (>10-12%). La severidad del cuadro se encontraba determinada por la aparición de clínica neurológica de instauración lenta y progresiva, siendo descartada organicidad encefálica mediante prueba de imagen y punción lumbar. Por lo tanto, los datos clínicos y analíticos expuestos, la ausencia de tratamiento diurético y los niveles plasmáticos dentro de la normalidad de urea, creatinina, cortisol y aldosterona sugieren el diagnóstico de síndrome pierde sal cerebral7.
La patogenia del mismo es poco conocida y suele ser transitorio con resolución completa en semanas, resultando fundamental el diagnóstico diferencial con el síndrome de secreción inadecuada de ADH (SIADH)8. La FEUa ayuda en el diagnóstico diferencial del síndrome pierde sal con el SIADH, puesto que en el síndrome pierde sal, como ocurre en nuestro caso, la FEUa es mayor del 11% y no se corrige tras la normalización de la natremia9.
Aplicando el algoritmo de causalidad del Sistema Español del Farmacovigilancia (SEF) en este caso, es probable que el cuadro se trate de una reacción adversa relacionada con el dióxido de cloro al existir una secuencia temporal evidente entre su ingesta y la aparición de la clínica, así como una resolución completa del mismo al suspender el agente, aunque actualmente se desconoce el motivo por el cual el dióxido de cloro puede causar hiponatremia, debido a que su agente activo es el dióxido de sodio, podría postularse como teoría una reacción renal al exceso del agente activo, clorito de sodio, que provoque un aumento de pérdidas urinarias de sodio, que mantenido en el tiempo derivan en una hiponatremia establecida de forma subaguda como ocurre en el caso descrito.
Consideramos relevante el caso descrito ante la necesidad de concienciar a la población de los diversos efectos adversos relacionados con esta sustancia, y la nula evidencia que acredite el empleo de la misma en la prevención de infección SARS-CoV-2, evitando así su consumo.
FinanciaciónNo se ha recibido financiación por ninguna entidad financiadora.







