Sr. Director:
La ruptura espontánea del injerto renal es actualmente una complicación infrecuente pero potencialmente grave del trasplante renal, que puede derivar en la pérdida del injerto e incluso ocasionar la muerte del receptor1. En la era previa a los anticalcineurínicos esta complicación era relativamente frecuente, y su causa principal era el rechazo agudo (RA); tras la introducción de la ciclosporina, las etiologías más prevalentes son la trombosis de la vena renal2 y la necrosis tubular aguda (NTA)3,4. También se han descrito casos asociados a traumatismos sobre el injerto5. La mayoría de los casos de ruptura del injerto acontecen en las tres primeras semanas posteriores al trasplante6, siendo excepcional su presentación tardía. La clínica más frecuente es la tríada de dolor sobre el injerto, oliguria e hipotensión7 y el diagnóstico puede confirmarse mediante ecografía y tomografía8. En el pasado la nefrectomía urgente en los pacientes inestables fue el tratamiento más usado; más recientemente ha sido posible salvar los injertos hasta en un 80% de los casos9, mediante estabilización hemodinámica agresiva y reparación quirúrgica urgente10.
Presentamos el caso de un hombre de 50 años portador de un trasplante renal en el noveno mes de evolución, que acudió al hospital por anuria de 12 horas de evolución y dolor lumbar homolateral al injerto. Entre sus antecedentes personales destacaban ERC presuntamente secundaria a nefroangiosclerosis, en tratamiento con diálisis peritoneal durante 2 años antes del trasplante, hiperparatiroidismo secundario en tratamiento con cinacalcet, HTA crónica bien controlada, dislipemia y tabaquismo previo al trasplante. Recibió su primer trasplante renal en mayo del 2007, procedente de un donante cadáver de 55 años, recibiendo tratamiento inmunosupresor con 2 dosis de basiliximab, tacrolimus, micofenolato sódico y esteroides. Inició la función renal de inmediato, y evolucionó favorablemente hasta conseguir una creatinina basal en torno a 1,5 mg/dl al mes del trasplante. Siguió controles periódicos en consultas externas comportándose como buen cumplimentador de la medicación. Una semana antes del ingreso había acudido a una revisión programada del noveno mes, presentando función renal estable (creatinina 1,5 mg/dl, MDRD 60 ml/min y hemoglobina 15,8 g/dl), ausencia de proteinuria o hematuria y tensión arterial de 136/80 mmHg. Una ecografía de 2 meses de antigüedad con respecto al ingreso informaba de injerto renal de 122 mm de longitud, de ecoestructura y morfología normal sin evidencia de colecciones, IR: 0,62-0,64.
El día del ingreso se objetivaron anuria, febrícula de 37,5 ºC, sin signos de infección aparente, tensión arterial 148/89 mmHg, frecuencia cardíaca 76 lat/min. Refería dolor lumbar izquierdo y dolor moderado a la palpación abdominal en la fosa ilíaca izquierda sobre el injerto, sin otros hallazgos significativos. Analítica en sangre: hemoglobina 13,6 g/dl, hematocrito 39,7%, leucocitos totales 14.500/μl, neutrófilos 85%, creatinina 7,7 mg/dl, urea 145 mg/dl, sodio 139 mEq/l, potasio 4,7 mEq/l, pH 7,34, bicarbonato sódico 21,2 mmol/L, INR 1,1, tiempo de tromboplastina 31 s. Analítica en orina: 375 hematíes/μl y proteínas 1.000 mg/dl. Niveles de tacrolimus en sangre: 8,5 ng/ml. El paciente negaba traumatismos sobre el injerto o ejercicio físico intenso. No había cambios en la medicación y el paciente aseguraba un buen cumplimiento terapéutico. El tratamiento hasta el día del ingreso incluía: prednisona 5 mg/24 h, micofenolato sódico 720 mg/12 h, tacrolimus 1 mg/12 h, omperazol, atorvastatina, amlodipino, irbesartán y bicarbonato sódico.
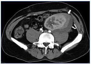
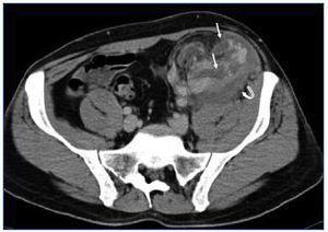
Se realizó una ecografía-Doppler de urgencia que informaba injerto en fosa ilíaca izquierda (FII) de 121 mm con aumento de la ecogenicidad cortical, buena perfusión, IR: 1, identificándose una colección organizada perirrenal de 93 x 37 x 60 mm que se interpretó como un hematoma. Para completar el estudio se realizó una tomografía computarizada con contraste que mostró realce de todo el riñón con dos imágenes lineales hipoecoicas, que se interpretaron como fractura del polo inferior del injerto (figura 1 y figura 2). No se observaron imágenes de aneurisma ni de tumor renal. Ante la estabilidad hemodinámica y el diagnóstico de ruptura renal evolucionada se descartó tratamiento quirúrgico urgente. Se realizó una primera sesión de hemodiálisis; coincidiendo con ésta presentó reanudación de la diuresis en 48 h con progresiva mejoría de los parámetros analíticos. Se descartó el diagnóstico de RA dada la evolución favorable del paciente sin haber tomado otras medidas terapéuticas y que tenía los niveles de inmunosupresores en rango.
Al octavo día, no habiendo presentado nuevas complicaciones, fue dado de alta con una creatinina sérica de 2,6 mg/dl, mostrando posteriormente una progresiva recuperación de la función renal hasta alcanzar una creatinina sérica cercana a la basal el día 14 (1,7 mg/dl). Desde entonces hasta la actualidad (2 años del episodio) ha mantenido una función renal estable en ausencia de proteinuria o de hematuria.
En este tiempo no hemos conseguimos filiar la etiología del episodio, habiéndose descartado las causas más frecuentes de ruptura del injerto como son el RA11, la trombosis de la vena renal2 o los traumatismos sobre el injerto5. Sucesivas ecografías y dos TAC realizados a los 6 y 12 meses del ingreso no mostraron signos de ectasia, colecciones perirrenales, evidencias de angiomiolipoma o tumores del injerto. Creemos que la situación de anuria y fracaso renal agudo podrían estar justificadas por la presencia de necrosis tubular aguda secundaria a compresión del parénquima renal por el hematoma, probablemente ya presente en los días previos al ingreso. Este caso resulta relevante por cuanto se trata de una ruptura espontánea tardía del injerto, no atribuible a las causas más prevalentes, en un paciente sometido a un trasplante renal estable de 9 meses de evolución.
Figura 1. Tomografía computarizada del injerto que muestra una colección perirrenal del injerto compatible con hematoma (flechas gruesas).
Figura 2. Tomografía computarizada del injerto que muestra dos imágenes lineales hipoecoicas compatibles con fractura del polo inferior (flechas finas).







