INTRODUCCIÓN
El síndrome de Nutcracker («cascanueces») es una causa rara de hematuria macroscópica persistente del riñón izquierdo, y fue descrito por primera vez en 1972 por De Schepper como la compresión de la vena renal izquierda en la bifurcación formada a la salida de la arteria mesentérica superior en la aorta, produciendo hipertensión de la vena renal y hematuria macroscópica.1 La compresión de la vena renal izquierda se produce comúnmente por anomalías vasculares, primariamente de naturaleza venosa como: vena renal izquierda retroaórtica, vena cava inferior izquierda persistente, vena renal izquierda circunaórtica y otras anomalías de la vena renal izquierda.2 También, arterias renales aberrantes y variaciones en el origen y trayecto de la arteria gonadal izquierda se han sugerido como mecanismos de hipertensión de esta vena renal izquierda. Otra teoría postula que la ptosis posterior del riñón izquierdo puede producir estrechamiento y compresión de la vena renal izquierda sobre la aorta, con la consecuente hipertensión de la vena.3
CASO CLÍNICO 1
Paciente varón de 16 años de edad, con cuadro clínico de seis meses de evolución, caracterizado por hematuria macroscópica roja rutilante persistente asociada con el ejercicio, sin dolor. Al examen físico, paciente pálido, en mal estado general, con puñopercusión lumbar negativa. El paciente necesitó transfusiones sanguíneas por disminución del hematocrito que llegó hasta el 15%. La función renal, pruebas de coagulación, ecografía renal y vías urinarias, UroTac y urografía excretora fueron normales. Teniendo en cuenta la persistencia de la hematuria, el estado clínico del paciente, el antecedente de nefropatía IgA en una familiar de segundo grado y la normalidad de los estudios antes mencionados, se consideró pertinente realizar biopsia renal para descartar una glomerulopatía como causa del cuadro clínico del paciente, resultando normal.
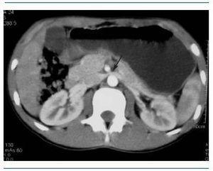
La tomografía contrastada de abdomen (figura 1) mostró pinzamiento de la vena renal izquierda entre la arteria aorta y la mesentérica superior, hallazgos sugestivos de este síndrome, por lo que se realizó cavografía y venografía renal izquierda, confirmando los hallazgos típicos del síndrome de Nutcracker, debido a la persistencia de hematuria grave que lo comprometía hemodinámicamente a pesar de las transfusiones sanguíneas, el paciente fue sometido a terapia endovascular consistente en colocación de stent en el sitio de plicatura, con mejoría de la hematuria macroscópica a las dos semanas postratamiento.
CASO CLÍNICO 2
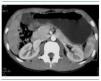
Paciente de 17 años con historia de tres años de evolución consistente en dolor lumbar y hematuria macroscópica después del ejercicio, con necesidad de transfusiones en cuatro ocasiones por anemia secundaria, llegando a tener hemoglobinas de 6,5 g/dl. Se realizan pruebas de coagulación, función renal, proteinuria y ecografía renal, con resultados normales; biopsia renal que muestra cambios sugestivos de membrana basal delgada; en abril de 2008 se realiza tomografía contrastada de abdomen que muestra compresión de la vena renal izquierda entre la arteria mesentérica superior y la aorta, hallazgo sugestivo de síndrome de Nutcracker que se confirma con la realización de cavografía y venografía renal, donde muestran área de compresión extrínseca en el tercio medio de la vena renal izquierda con drenaje colateral a través de la vena gonadal generando varicocele (figura 2). La manometría intravascular revela gradiente cavo renal de 5 mmHg. Con estos resultados, se decide manejo endovascular mediante colocación de stent en la vena renal izquierda. Durante el seguimiento del paciente, la hematuria macroscópica despareció a las seis semanas postratamiento.
DISCUSIÓN
La hematuria es la presencia de sangre en la orina, proveniente del riñón o de las vías urinarias, ocasionada por enfermedades parenquimatosas renales, de las vías excretoras o de la vasculatura renal. En ocasiones, puede aparecer en el curso de enfermedades sistémicas, y puede ser macroscópica y/o microscópica.4 Por constituir la hematuria una de las circunstancias clínicas más frecuentes por la que un niño es investigado en búsqueda de una enfermedad renal o extrarrenal, y ser ésta, además, un motivo de consulta frecuente en Pediatría, tiene mucha importancia que los Servicios encargados del manejo de este tipo de pacientes analicen aspectos diversos de esta manifestación, como son su incidencia, etiología, forma de presentación, evolución de la misma, así como cualquier otro elemento clínico o paraclínico que contribuya a establecer un diagnóstico preciso y oriente el pronóstico en cada caso. Aunque es una causa rara de hematuria, el síndrome de Nutcracker debe tenerse en cuenta como posible etiología de este signo clínico. Este síndrome, también denominado síndrome de atrapamiento de la vena renal izquierda, se caracteriza por la compresión de esta vena entre la arteria mesentérica superior y la aorta.
Normalmente, la vena renal izquierda se ubica anterior a la aorta en un ángulo formado entre la aorta abdominal y la arteria mesentérica superior. Esta arteria se origina de la aorta abdominal en forma rectangular con un trayecto de 4 a 5 mm en dirección ventral, para luego iniciar un descenso caudal dando como resultado la configuración de J invertida.
Esta anatomía generalmente previene la compresión de la vena renal izquierda por la mesentérica superior. Es importante anotar que el ángulo generado entre la aorta abdominal y la mesentérica superior es de 90º, pero en el síndrome anteriormente descrito este ángulo disminuye facilitando la compresión de la vena renal izquierda.5 El gradiente de presión normal entre la vena renal izquierda y la cava inferior es menor a 1 mmHg.6 Cuando este gradiente aumenta por encima de 3 mmHg por la presión ejercida por la arteria mesentérica superior, se produce ruptura de la pared delgada del tabique entre las pequeñas venas y el sistema colector en el fórnix renal,7 produciendo hematuria. Ésta también puede producirse por la comunicación entre los senos dilatados y los cálices renales adyacentes.8
El síndrome de Nutcracker puede tener múltiples manifestaciones clínicas, que son más frecuentes en mujeres. La edad de aparición se encuentra entre la tercera y cuarta década de la vida, con pocos casos observados entre adolescentes.9 Las manifestaciones más frecuentes son dolor abdominal en flanco izquierdo con o sin hematuria, la cual puede ser micro o macroscópica.10 Otro modelo de presentación es el síndrome de congestión pélvica, caracterizado por: dismenorrea, dispareunia, dolor poscoital, dolor abdominal bajo, varices pélvicas, vulvares, y en el caso de los hombres, varices y dolor escrotal y en muslos;11 también se puede presentar proteinuria. En nuestro caso, el dolor abdominal, siendo de los más frecuentes, estuvo ausente durante toda la evolución, siendo más característica la hematuria macroscópica.
Teniendo en cuenta que este síndrome no es muy común y que pocas veces se sospecha, cuando estudiamos pacientes con las manifestaciones clínicas descritas en los que es difícil aclarar la causa de la hematuria, es preciso recurrir a imágenes diagnósticas de acuerdo a la presencia o no de dolor. Si existe dolor y hematuria, se realiza ecografía renal y/o urografía excretora. Si esto es negativo, cistoscopia. Si el estudio no es concluyente, se hace uso a la ecografía renal doppler color que tiene una sensibilidad del 78% y una especificidad del 100% para síndrome de Nutcracker, ya que permite medir el diámetro anteroposterior y la velocidad pico del plano transverso de la vena renal izquierda a nivel del hilio renal y posterior al sitio de pinzamiento.12 A todos los pacientes con una ecografía sugestiva de este síndrome se debe realizar una angiorresonancia que nos ayudará a definir la anatomía en forma precisa con la ventaja de menos irradiación.13 Sin embargo, la prueba de oro es la venografía retrógrada, que permite definir el punto de compresión de la vena renal izquierda y demuestra la presencia de vasos colaterales que refluyen en las venas adrenales y gonadales con el estancamiento del medio de contraste en la vena renal. Cuando el gradiente de presión entre la vena renal y la cava inferior sobrepasa los 3 mmHg, confirma este diagnóstico.14
En cuanto al tratamiento, podemos recurrir a cinco estrategias: el manejo conservador, la terapia endovascular, los procedimientos quirúrgicos abiertos y la cauterización química. El tratamiento conservador se reserva para pacientes asintomáticos en los que la enfermedad no causa demasiada morbilidad y consiste en reposo, hidratación y seguimiento con ecografía renal doppler color. En estudios de seguimiento a pacientes con dicho diagnóstico, además se ha demostrado que el aumento en el Índice de Masa Corporal (IMC) se relaciona con aumento del ángulo entre la arteria mesentérica superior y la aorta, al parecer por aumento de la grasa abdominal.15
En algunos pacientes ha sido efectiva la terapia con antiagregantes plaquetarios tipo Ácido Acetilsalicílico (AAS), con resultados a largo plazo.16 La terapia endovascular consiste en la colocación de un dispositivo expandible (stent) que evite la compresión de la vena renal izquierda.17 Series de casos con quince pacientes mostraron que siete fueron manejados con terapia endovascular, con resolución de los síntomas en promedio a los 36 meses.18
Los procedimientos quirúrgicos abiertos fueron la técnica utilizada inicialmente como tratamiento de esta entidad que no se realizan en la actualidad, ya que se han desplazado por los procedimientos de radiología intervencionista. La cauterización química sólo se ha mostrado en una mujer en China en el año 2003, utilizando una terapia con nitrato de plata al 0,1% instilado mediante ureteroscopia a la pelvis renal, con una mejoría de los síntomas a los 16 meses.19
CONCLUSIONES
La hematuria es un signo clínico que puede involucrar múltiples etiologías de la vía urinaria alta y baja, algunas menos frecuentes que otras. Pero ante la duda etiológica, en pacientes adolescentes no olvidemos como posible causa el síndrome de Nutcracker, que a pesar de contar con pocos casos en la literatura mundial, puede diagnosticarse si se realiza una adecuada historia clínica, examen físico y hacemos un uso adecuado de los métodos diagnósticos con los que contamos actualmente. La secuencia de estudios más pertinente cuando sospechamos esta entidad es la realización de una ecografía doppler con medición de gradiente, seguida de estudios tomográficos y angiorresonancia y, finalmente, una venografía con medición de presiones que confirma el diagnóstico.
Tras haber sido diagnosticado, se debe evaluar el compromiso y la morbilidad causada al paciente para determinar un adecuado manejo. Actualmente, los métodos de radiología intervencionista se consideran como terapias de primera elección por la escasa invasión y su buen pronóstico a largo plazo.
Figura 1. Tomografía contrastada de abdomen, fase arterial tardía. Se observa disminución marcada del calibre de la vena renal izquierda en su recorrido entre la arteria mesentérica superior y la aorta debido a la disminución en el ángulo aortomesentérico causando
Figura 2. Venografía renal con técnica de sustracción digital. Se observa marcada dilatación de la vena gonadal y el plexo pampiniforme izquierdo secundario a compresión de la vena renal causada por la arteria mesentérica superior, causando insuficiencia venosa.






