INTRODUCCIÓN
Las vasculitis con Anticuerpos Anticitoplasma de Neutrófilos (ANCA) positivo producen afectación renal y en no pocas ocasiones llevan al estadio final de la Insuficiencia Renal Crónica (IRC). Alrededor del 5% de los pacientes en tratamiento sustitutivo renal tiene como causa de IRC una vasculitis de pequeño vaso.1 Dentro de las manifestaciones clínicas extrarrenales, la afectación intestinal es poco frecuente, y menos aún si hablamos de pacientes con esta patología de base en programa de diálisis. Presentamos el caso de un brote de vasculitis intestinal con diagnóstico histológico en una paciente con IRC terminal secundaria a vasculitis ANCA +, en programa de diálisis peritoneal.
CASO CLÍNICO
Mujer de 77 años con antecedentes de hipertensión arterial e IRC en programa de Diálisis Peritoneal (DP) desde hace un año, secundaria a vasculitis p-ANCA positivo (MPO positivo) que se presentó en estadio avanzado de IRC, y sin clínica a otro nivel. Durante el seguimiento los ANCA permanecieron negativos.
La paciente acudió a nuestro hospital por cuadro de dolor abdominal de instauración brusca, localizado en fosa ilíaca izquierda, que no calmaba con tratamiento analgésico y que posteriormente pasó a ser difuso por todo el abdomen. No refirió fiebre, náuseas ni vómitos, y sí estreñimiento de 48 horas de evolución. El efluente peritoneal era claro.
A la exploración física, la paciente se encontraba afebril, con PA 145/75 mmHg, y con mal estado general por el intenso dolor. La auscultación cardiopulmonar fue normal. El abdomen era muy doloroso a la palpación superficial, con peristaltismo disminuido y signos de defensa e irritación peritoneal.
La bioquímica de urgencias mostró troponina I, GOT, LDH, CK y amilasa normales (0,02, 19, 293, 12 y 67 U/l, respectivamente), y en el hemograma sólo destacaba ligera leucocitosis (11.000/mm3 leucocitos, 75% neutrófilos).
Se realizó un TAC abdómino-pélvico que mostró líquido libre perihepático, periesplénico en ambas «gotieras» y en Douglas, con pequeña cantidad de neumoperitoneo, en posible relación con técnica dialítica, sin otros hallazgos relevantes.
Tras valoración por el Servicio de Cirugía, se decidió realizar laparotomía exploradora, en la que no se hallaron signos de perforación, apendicitis, vasculitis o isquemia que pudiesen justificar la sintomatología de la paciente, realizando apendicectomía.
Dentro de los estudios realizados, cabe destacar el aumento de la PCR (24,4 mg/dl) y la positivización de p-ANCA a título de 1/160 (MPO positivo). El cultivo aerobio y anaerobio del líquido peritoneal resultó negativo.
Con la sospecha de vasculitis intestinal, dada la patología de base de la paciente, la ausencia de peritonitis por DP y los hallazgos anodinos de la laparotomía exploradora, se instauró tratamiento esteroideo con prednisona a dosis de 1 mg/kg/día, mejorando clínicamente a partir de las 48 horas de tratamiento y permaneciendo libre de síntomas durante todo el ingreso. Los ANCA se negativizaron a la semana de tratamiento esteroideo.
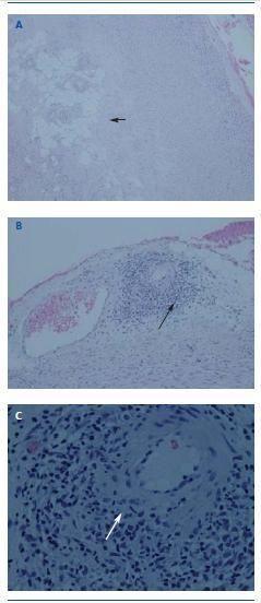
La biopsia apendicular presentaba fibrosis y vasculitis de vasos periapendiculares, por lo que la paciente fue diagnosticada de brote de vasculitis intestinal.
La paciente mantuvo tratamiento con corticoides a dosis decrecientes hasta cumplimentar seis meses. Pudo reanudar DP y permaneció asintomática con ANCA negativos tras doce meses de seguimiento.
DISCUSIÓN
Las vasculitis ANCA positivo engloban a un conjunto de enfermedades sistémicas que afectan a vasos de pequeño calibre y que, con frecuencia, producen importante afectación renal, además de una amplia variedad de manifestaciones extrarrenales.
La demostración por técnicas de inmunofluorescencia indirecta de la presencia en el suero de estos pacientes de autoanticuerpos reactivos contra los ANCA confirma la implicación de mecanismos autoinmunes en el desarrollo de estas vasculitis.
La Granulomatosis de Wegener (GW), la Poliangeitis Microscópica (PAM) con su forma limitada al riñón (VLR), y en menor medida el Síndrome de Churg Strauss (CH), son las formas de vasculitis de pequeño vaso que expresan ANCA.
Si bien el diagnóstico de certeza es histológico, éste no es estrictamente necesario. Las manifestaciones clínicas de vasculitis y la aparición de títulos elevados de ANCA pueden ser suficientes para el diagnóstico. Los ANCA con patrón perinuclear y especificidad antigénica para la MPO son más característicos de la PAM, VLR Y CH, mientras que los ANCA con patrón citoplasmático y especificidad antigénica para PR3 son característicos de la GW.
Vasculitis según mecanismo patogénico
1) Infección directa de los vasos
- Vasculitis bacteriana.
- Vasculitis fúngica.
- Vasculitis por micobacterias.
- Vasculitis herpéticas.
- Vasculitis por espiroquetas.
2) Mecanismo inmunológico
- Tipo I: vasculitis alérgicas o anafilácticas.
- Tipo II:vasculitis asociadas a autoanticuerpos. Mediadas por ANCA:
- Predominio P-ANCA: síndrome de Churg Strauss, poliangeitis microscópica, vasculitis limitada al riñón.
- Predominio de C-ANCA: síndrome de Wegener.
Tipo III: vasculitis mediadas por inmunocomplejos.
Tipo IV: vasculitis mediadas por células (linfocitos T).
3) Otras causas
- Neoplásica.
- Desconocida.
Clasificación de Chapel Hill de vasculitis según el tamaño del vaso afectado
Vasculitis de grandes vasos
- Arteritis de células gigantes (temporal).
- Arteritis de Takayasu.
Vasculitis de vasos medianos
- Poliarteritis nodosa clásica (PAN).
- Enfermedad de Kawasaki.
Vasculitis de vasos pequeños
- Granulomatosis de Wegener.
- Poliangeitis microscópica.
- Síndrome de Churg-Strauss.
- Púrpura de Schölein-Henoch.
- Vasculitis de la crioglobulinemia.
- Vasculitis leucoclástica cutánea.
De nuestra paciente sólo sabíamos que tenía una vasculitis p-ANCA positivo con afectación renal grave, ya que no se realizó biopsia renal por la avanzada edad de la paciente, el estadio avanzado de IRC, y por no presentar manifestaciones extrarrenales en el momento del diagnóstico, aunque por sus características clínicas y su patrón inmunológico (pANCA + MPO +) se sospechó PAM o VLR.
La forma de inicio de estas vasculitis suele ser extrarrenal, afectando generalmente a piel y a pulmón, aunque se pueden afectar vasos de pequeño tamaño a otros niveles. También pueden debutar con clínica renal y extrarrenal combinada, pero con menos frecuencia. La presentación exclusivamente renal es bastante rara, aunque se observa con mayor frecuencia en pacientes de edad avanzada (mayores de 65 años),1 como sucede con nuestra paciente.
Estas vasculitis representan la causa más importante de glomerulonefritis rápidamente progresiva, y si no se establece un diagnóstico y tratamiento precoz, pueden presentarse ya en estadios muy avanzados de IRC. Se estima que el 5% de los pacientes en tratamiento sustitutivo renal se debe a vasculitis de pequeño vaso.1
Los niveles de actividad de las vasculitis ANCA positivo parece que descienden cuando los pacientes requieren tratamiento sustitutivo renal, ya sea trasplante o diálisis. En el caso de la diálisis, se piensa que se puede deber al mismo proceso dialítico per se, así como al estado de inmunosupresión que presentan este tipo de pacientes.2 En el caso de la población trasplantada, que todavía presenta menos incidencia de recidivas que los pacientes en diálisis, el tratamiento inmunosupresor de base puede ser el responsable de la menor actividad vasculítica.3 Se ha descrito una menor incidencia de recidiva en aquellos pacientes en diálisis que mantenían el tratamiento inmunosupresor de la vasculitis.4 De cualquier forma, la incidencia y el riesgo de recidivas de estos pacientes no se ha aclarado totalmente, y si hablamos de casos de brotes intestinales aislados de vasculitis en programa de diálisis todavía menos.
Las manifestaciones intestinales en las vasculitis ANCA positivo son poco frecuentes. Por lo general, suelen presentarse junto a otras manifestaciones sistémicas, apareciendo de forma aislada en sólo el 16% de los pacientes.6 La PAM parece ser la que con mayor frecuencia muestra clínica intestinal (30-60%), seguida del CH (20-50%) y de la GW (5-11%).6 La VLR, por definición, sólo afecta al riñón. Esta clínica es muy variada, ya que se puede afectar cualquier parte del tubo digestivo, si bien el síntoma más frecuente es el dolor abdominal agudo de características poco específicas.5 Al igual que en otros órganos, las lesiones histológicas son secundarias a la inflamación y necrosis de los vasos de pequeño calibre (capilares, arteriolas y vénulas), afectándose también en ocasiones los vasos de mediano calibre, pudiéndose formar granulomas (GW, CH).6
Además, aunque de forma rara vez lo hacen, pueden surgir complicaciones graves como hemorragias masivas y perforaciones intestinales. En ocasiones, la gravedad de la sintomatología hace necesaria una laparotomía exploradora. Así sucedió en nuestro caso. La laparotomía resultó ser anodina, pero más tarde los resultados de la biopsia de apéndice nos permitieron el diagnóstico de confirmación de brote de vasculitis. La instauración rápida del tratamiento con esteroides tras la laparotomía evitó complicaciones más importantes.
En lo referente al tratamiento, éste se ha de establecer en función de la gravedad de los síntomas. Para la inducción a la remisión, los corticoesteroides, solos y sobre todo en asociación con ciclofosfamida, constituyen el tratamiento más efectivo. En pacientes en hemodiálisis o con grave deterioro de función renal, la plasmaféresis puede ser un tratamiento de utilidad en esta fase, principalmente en casos graves. En la fase de mantenimiento, la asociación corticoides más ciclofosfamida también es la más empleada, si bien se puede sustituir la ciclofosfamida por azatriopina, con similar eficacia y buena tolerabilidad.1 Incluso el micofenolato de mofetilo (asociado a esteroides) se ha empleado como terapia de mantenimiento, aunque la experiencia hasta el momento es escasa.7 Otros tratamientos como metrotexato o inmunoglobulinas iv. se emplean únicamente en aquellos casos en los que la enfermedad no se controla con los tratamientos previamente citados.7
En el caso que nos ocupa, optamos por un manejo conservador. Decidimos tratar a la paciente con corticoides, dada la ausencia de lesiones macroscópicas y la experiencia previa de buena respuesta a éstos. La evolución fue favorable: se negativizaron los ANCA y desapareció la clínica abdominal. El tratamiento corticoideo se mantuvo a dosis decrecientes hasta que se retiraron a los seis meses. Se pudo reanudar diálisis peritoneal, y durante el primer año de seguimiento no volvieron a manifestarse signos de actividad vasculítica.
Como conclusión, la afectación intestinal secundaria a vasculitis debe considerarse en el diagnóstico diferencial del dolor abdominal en los pacientes en DP con IRC secundaria a vasculitis ANCA +.
El diagnóstico precoz y la instauración rápida del tratamiento inmunosupresor pueden permitir una buena evolución y poder reanudar la DP sin complicaciones.
Figura 1. A: fibrosis apendicular. B y C: infiltrado inflamatorio linfocitario y con ocasionales leucocitos polimorfonucleares afectando la pared de los vasos periapendiculares.





