Señor director:
Describimos el caso de un paciente en diálisis peritoneal que sufrió dos brotes de pancreatitis aguda en cuatro meses.
Varón de 27 años que acudió a la unidad de diálisis refiriendo epigastralgia de 12 horas de evolución, y vómitos. Antecedentes personales: Enfermedad renal crónica estadio 5 secundaria a nefropatía diabética. Peritonitis aguda por Staph. Epidermidis en septiembre, con recaída en octubre, tratada con vancomicina con negativización de los cultivos y normalización de los recuentos celulares.
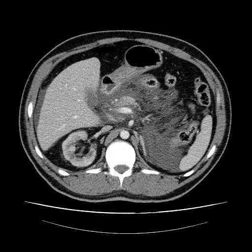
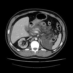
En la exploración física destacaba epigastralgia marcada. Recuento celular : 50 leucocitos (65% PMN), amilasa 423 UI. Otros datos analíticos: Leucocitosis 25700 (92% de neutrófilos), Urea 106 mg/dl, Creatinina: 9,4 mg/dl, PCR: 24 g/l, Amilasa: 173 UI/l. Cultivos de líquido peritoneal negativos. Ante la presencia en líquido peritoneal de amilasas > 100 UI/l y la sospecha clínica de pancreatitis se efectuó TAC abdominal : Rarefacción de grasa peripancreática y gran cantidad de líquido libre fundamentalmente peripancreático y perihepático. (Figura 1). Inicialmente evolucionó favorablemente. Se mantuvo en diálisis peritoneal y se descartaron causas metabólicas o infecciosas de la pancreatitis. 4 días después del ingreso el paciente presentó fiebre, y líquido peritoneal con más 100 leucocitos ( 80% PMN / Amilasas < 100 UI). Ante los antecedentes de una peritonitis previa por Staph. Epidermidis con recaída posterior, se decidió retirar catéter peritoneal y transferir a hemodiálisis. La evolución posterior fue favorable, con desaparición de la fiebre y mejoría clínica.
Dos meses después de la retirada del catéter y por preferencia de la técnica, reinicia diálisis peritoneal. A los dos días, acude nuevamente con cuadro clínico compatible con pancreatitis aguda, confirmado con el recuento celular de Leucocitos 153 (26% PMN), Amilasa 418, y la presencia en TAC abdominal de pancreatitis aguda moderada. Al ingreso se inicia tratamiento antibiótico, reposo digestivo y fluidoterapia. Se cesa la diálisis peritoneal, y se transfiere a hemodiálisis. El paciente evolucionó favorablemente. Se realizó peritoneografía TAC no objetivándose paso de contraste a retroperitoneo. Al alta se supendío definitivamente la diálisis peritoneal por su relación temporal con los episodios de pancreatitis. En la actualidad el paciente lleva 14 meses en hemodiálisis , sin haber presentado nuevos episodios de pancreatitis.
La pancreatitis aguda es una complicación frecuente de los pacientes en diálisis peritoneal. Se han sugerido como factores causantes: Anormalidades metabólicas (absorción de glucosa y tampones del líquido de diálisis), estímulos infecciosos (brotes repetidos de peritonitis ), o la irritación del páncreas a través del agujero epiploico, debido a su hipertonicidad o a su pH ácido.
Nuestro paciente no presentaba factores metabólicos o infecciosos reseñables y quizás debía existir una anormalidad anatómica del páncreas que junto con el estímulo infeccioso de la peritonitis favorecían que el paciente sufriera pancreatitis de repetición.
Tabla Figura 1.






