La infección por COVID-19 ha causado impacto a nivel mundial a tal punto de saturar sistemas sanitarios en varios países y ser el motivo de consulta más frecuente y grave en urgencias. A pesar de que la infección por COVID-19 afecta principalmente a pulmones, varios estudios han identificado un alto tropismo del virus por el parénquima renal1. El mecanismo por el cual se produce la nefropatía secundaria a COVID-19 es incierto, ya que el daño puede estar relacionado directamente a la infección viral o a la lesión renal por deshidratación, liberación de citocinas y por la activación del sistema renina angiotensina2. Las lesiones renales más frecuentes a nivel histológico son: lesión tubular aguda y glomeruloesclerosis de tipo colapsante, porque el virus podría ser tóxico directa o indirectamente en el podocito3.
Describimos el caso de una paciente de 56 años con antecedentes de tabaquismo de 25 paquetes/año, hipertensión, dislipemia y síndrome ansioso depresivo. Acude a consultas externas por síndrome nefrótico de dos semanas de evolución (albúmina en sangre 2,4 g/dL, proteína/creatinina orina 10.390 mg/g con albúmina/creatinina orina de 7.892 mg/g) (tabla 1) asociado a tos seca y astenia en contexto de infección leve por COVID-19. Se descartaron causas primarias y enfermedades autoinmunes (tabla 1). La tomografía de tórax y abdomen no demostraron lesiones sugestivas de neoplasia o metástasis. La biopsia renal mostró glomeruloesclerosis focal y segmentaria variante no especificada (NOS) (fig. 1), el estudio de reacción en cadena de la polimerasa (PCR) SARS-CoV-2 en tejido congelado de la biopsia renal fue negativo. Además, en microscopía electrónica no se evidenciaron partículas virales de COVID-19. La secuencia temporal de eventos clínicos y los resultados analíticos autoinmunes negativos hace que el diagnóstico sea de glomeruloesclerosis focal y segmentaria (GFyS) asociada a COVID-19, por lo que se inició tratamiento con prednisona a 60 mg al día. A las 12 semanas y dada la persistencia de proteinuria, se añadió ciclosporina 100 mg cada 12 horas con incremento paulatino hasta 125 mg cada 12 horas. Asimismo, se inició un descenso progresivo de corticoides hasta 20 mg al día con reducción de proteína/creatina orina y albúmina/creatinina orina de 903,6 mg/g y 661 mg/g, respectivamente.
Evolución de parámetros analíticos de la paciente con glomeruloesclerosis focal y segmentaria por COVID-19
| Parámetros | 09/03/2020 | 17/03/2020 | 29/04/2020 | 18/06/2020 | 31/07/2020 | 28/08/2020 | 10/09/2020 | 07/10/2020 | 06/11/2020 |
|---|---|---|---|---|---|---|---|---|---|
| Hemoglobina (g/dL) | 14,0 | 15,5 | 13,2 | 13,6 | 14,7 | - | 15,3 | 14,9 | 14,3 |
| Leucocitos (x10E9/L) | 7,63 | 5,56 | 8,13 | 10,3 | 10,6 | - | 10,8 | 12,6 | 9,71 |
| Plaquetas (x10E9/L) | 274 | 266 | 266 | 295 | 234 | - | 234 | 240 | 258 |
| Creatinina (mg/dL) | 0,63 | 0,61 | 0,73 | 0,70 | 0,71 | - | 0,65 | 0,75 | 0,72 |
| Na (mmol/L) | 133,8 | 138,0 | 136,1 | 136,4 | 138,3 | - | 141,3 | 138,2 | 138,1 |
| K (mmol/L) | 4,22 | 4,04 | 3,81 | 4,01 | 3,77 | - | 3,78 | 3,97 | 7,74 |
| Magnesio (mg/dL) | 1,90 | - | - | 2,0 | 2,0 | - | 2,0 | 1,9 | 1,9 |
| Calcio (mg/dL) | 8,60 | 8,10 | 8,6 | 8,30 | 8,8 | - | 9,0 | 9,2 | 9,1 |
| Colesterol (mg/dL) | 457 | 415 | - | 373 | 370 | - | 348 | 283 | 247 |
| Colesterol LDL (mg/dL) | 302 | - | - | 177 | 174 | - | 151 | 124 | 106 |
| Triglicéridos (mg/dL) | 222 | 226 | - | 151 | 183 | - | 193 | 154 | 175 |
| Albúmina (g/dL) | 2,40 | 2,40 | - | 2,50 | 2,8 | - | 3,20 | 3,3 | 3,5 |
| Anti PLA2r (UR/mL) | - | < 2 | - | - | - | - | - | - | - |
| Hepatitis B y C (UI/mL) | - | Indetectables | - | - | - | - | - | - | - |
| Niveles de ciclosporina (ng/mL) | - | - | - | - | - | - | 76 | 126 | 125 |
| Eritrocitos en orina (cel/uL) | 87,6 | - | 65 | 30,4 | 45,7 | 12,7 | 22,9 | 23,3 | 25 |
| Cociente proteína/creatinina en orina (mg/g) | 10.390 | - | 8.903 | 2.551 | - | - | 2.022 | - | 903,6 |
| Cociente albúmina/creatinina en orina (mg/g) | 7.892 | - | - | 1.959 | - | - | 1.627 | - | 692 |
| B2-microglobulina en orina (mg/L) | 0,30 | - | - | - | - | - | 0,06 | - | 0,07 |
| Proteinuria (mg) 24 horas | - | - | - | - | 3.680 | 4.186 | - | 1.728 | - |
| Albuminuria (mg) 24 horas | - | - | - | - | 2.218 | 861 | - | 1.395 | - |
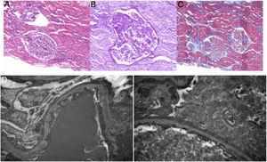
Histología de la biopsia renal.
A) Hematoxilina-eosina (10x). B) PAS (ácido peryódico de Schiff) (60x). C) Tricrómico de Masson (4x). Se evidencia esclerosis focal y segmentaria en uno de 11 glomérulos, atrofia tubular y edema intersticial leve y focal, infiltrado linfocitario leve, arterias conservadas. D) La microscopía electrónica muestra tejido cortical renal que contiene un glomérulo. El estudio ultraestructural muestra borramiento difuso de los procesos podocitarios con fusión pedicelar 70-80%, diferenciación, vacuolización y transformación vellositaria del citoplasma podocitario. Hallazgos compatibles con glomeruloesclerosis focal y segmentaria(10000-20000x).
El tratamiento de la GFyS asociada a COVID-19 es desconocido. La ciclosporina es un inmunosupresor que suprime la transcripción de interleucina 2 (IL-2) al bloquear la actividad de la calcineurina4. A dosis bajas, la ciclosporina reduce la carga viral evitando la tormenta de citoquinas y manteniendo el pH dentro de rangos adecuados con lo que evita lesiones de isquemia-reperfusión4. También, la ciclosporina inhibe la replicación viral bloqueando las funciones de la ciclofilina del virus e inhibiendo directamente la RNA polimerasa dependiente de RNA-nsp125.
En un trabajo reciente, una cohorte de 40 pacientes con glomerulonefritis e infección por COVID-19 ha demostrado que presentan una mayor tasa de mortalidad y lesión renal aguda en comparación con el grupo control6. El uso de inhibidores de la enzima conversiva de angiotensina (IECA) y/o tratamiento inmunosupresor no aumentan el riesgo de muerte y se debe monitorizar aquellos pacientes con albúmina sérica baja6. También, se ha descrito un caso infección por COVID-19 en una paciente con síndrome urticarial hipocomplementemia y vasculitis anticuerpos anticitoplasma de neutrófilos-mieloperixodasa (ANCA-MPO) en hemodiálisis que recibía tratamiento con omalizumab. La paciente presentó una infección asintomática por COVID-19 por lo que el curso leve de la infección podría ser atribuible al tratamiento de base con omalizumab7. Sharma et al. reportan 10 pacientes con neumonía severa por COVID-19 a los que se les practicó biopsia renal por lesión renal aguda, proteinuria y hematuria y definen a la necrosis tubular aguda como la afectación histológica más frecuente (n = 5), a pesar de que todos los pacientes fueron positivos para el frotis nasofaríngeo de SARS-CoV-2, no lograron identificar partículas virales en microscopía electrónica de los tejidos renales8. En concordancia, Magoon et al. describieron dos casos de glomeruloesclerosis focal y segmentaria de tipo colapsante con afectación podocitaria confirmada por biopsia renal sin evidenciar partículas virales en la microscopía electrónica, ambos casos presentaban genotipos de riesgo del gen de la apolipoproteína 1 (APOL1)9. Kissling et al. también describieron un caso de un paciente de 63 años con neumonía por COVID-19 y lesión renal aguda AKIN 3 (acute kidney injury network) con síndrome nefrótico y proteinuria severa; en la biopsia renal se evidenció glomeruloesclerosis focal y segmentaria de tipo colapsante con vacuolización a nivel de podocitos con ausencia de partículas virales en la microscopía electrónica10.
En resumen, esta carta presenta el caso de una paciente con glomeruloesclerosis focal y segmentaria variante NOS asociada a COVID-19 que ha sido tratada con corticosteroides y ciclosporina con respuesta clínica parcial. Futuros estudios son necesarios con la finalidad de mejorar en el diagnóstico y posterior tratamiento de las nefropatías asociadas a COVID-19.







