Introducción: En Venezuela se ha descrito una nueva variedad de nefronoptisis, denominada nefronoptisis del adolescente, la cual expresa características clínicas e histológicas similares a las otras variedades ya descritas. Sin embargo, la patogenia de esta enfermedad aún no es bien conocida. El objetivo de este trabajo fue determinar la expresión del receptor del factor de crecimiento epidérmico (EGFR) humano en las células epiteliales tubulares de pacientes con nefronoptisis del adolescente. Métodos: se estudiaron las biopsias renales de 8 pacientes con nefronoptisis del adolescente, mediante la técnica de inmunohistoquímica, para determinar la expresión renal del EGFR. Resultados: En todas las muestras la expresión del receptor del factor de crecimiento epidérmico fue negativa. Conclusión: Estos hallazgos indican una deficiencia del receptor del factor de crecimiento en los epitelios indiferenciados, lo cual podría ser uno de los factores desencadenantes del desarrollo de los quistes en la nefronoptisis.
Introduction: In Venezuela has been described a new form of nephronophthisis, called adolescent nephronophthisis, with clinical and histological findings very similar to others varieties described. However, pathogenesis in not well known. The aim of this study was to determine the expression of human epidermal growth factor receptor (EGFR) in tubular epithelial cells of patients with adolescent nephronophthisis. Methods: Renal biopsies of 8 patients with adolescent nephronophthisis were studied by immunohistochemistry to determine renal expression of EGFR. Results: In all patients, there was no expression of epidermal growth factor receptor. Conclusion: These findings indicate a deficiency of growth factor receptor in undifferentiated epithelial cells, which could be one factor in the development of cysts in nephronophthisis.
INTRODUCCIÓN
La nefronoptisis (NP), un desorden hereditario que se trasmite en forma autosómica recesiva, se ubica en el grupo de las enfermedades medulares quísticas que conduce a la insuficiencia renal crónica (IRC), usualmente en la segunda década de la vida1.
En la población venezolana se caracterizó una nueva variedad de la enfermedad, la Nefronoptisis del Adolescente o NPHP32. Las características histológicas de la NPHP3 son similares a las descritas en la nefronoptisis juvenil; atrofia tubular con engrosamiento de la membrana basal tubular (MBT) con espesor variable, fibrosis intersticial difusa, así como la formación de quistes en la unión cortico-medular y médula renal3,4.
A la microscopía electrónica en la NP, se aprecia laminación o desdoblamiento, duplicación, plegamiento, adelgazamiento y engrosamiento de la MBT5. Estos hallazgos han permitido plantear anormalidades en la estructura y composición de la MBT, proponiendo que éste es el defecto primario o fundamental en la NP4.
La evidencia de un número de laboratorios ha demostrado un papel importante del eje del receptor del factor de crecimiento epidermal (Epidermal Growth Factor Receptor, EGFR) en la promoción de la hiperplasia epitelial en el epitelio quístico, con la consiguiente formación de quistes renales y su progresiva ampliación, tanto en la enfermedad poliquística renal autosómica dominante (PQRAD) como en la enfermedad poliquística renal autosómica recesiva, murina y humana. Además, el epitelio renal quístico presenta alteraciones tanto cuantitativas (sobreexpresión) como cualitativas (localización errada) en la expresión de uno o más de los miembros de la familia de receptores ErbB6.
Dado que la NP es una de las enfermedades medulares quísticas, en este estudio se determinó mediante marcaje inmunohistoquímico, la expresión del EGFR humano en las células epiteliales tubulares de 8 pacientes con NPHP3, para tratar de dilucidar su participación en esta patología.
METODOLOGÍA
Empleando la técnica de inmunohistoquímica, se estudiaron las biopsias renales de 8 pacientes con NPHP3 evaluados en la Unidad de Nefrología, Diálisis y Transplante del IAHULA, Mérida, Venezuela. Dichas biopsias fueron realizadas para establecer el diagnóstico y evaluar la progresión de la enfermedad. La edad promedio de los pacientes era de 20,6 ± 4,0 años; 6 de sexo masculino y 2 de sexo femenino: seis pacientes presentaban IRCT y 2 presentaban función renal normal. Las biopsias renales se tomaron por microlumboctomía; se fijaron en formalina y se procesaron para ser analizadas mediante microscopia de luz por el método convencional de inclusión en parafina.
El procedimiento utilizado para el estudio de las muestras ha sido previamente descrito7. Se realizaron cortes histológicos de 3 µm del tejido renal incluido en parafina, los cuales fueron montados en láminas silanizadas, secados por 24 horas en estufa a 37ºC, desparafinados en xilol y rehidratados en soluciones de etanol de grado decreciente hasta agua destilada. La recuperación del antígeno se realizó colocando las láminas en una solución de tripsina al 0,1% a 37 º C, durante 15 minutos. Las láminas se lavaron con agua destilada antes de ser colocadas durante 10 minutos en un agente bloqueante de la peroxidasa endógena (peroxidase blocking, Dako, Carpinteria, EE.UU). Luego de lavar las láminas nuevamente con agua destilada, se colocaron durante 10 minutos en solución de tris buffer salino (TBS), para ser sometidas al proceso de bloqueo de proteínas (protein blocking system, Dako, Carpinteria, EE.UU). Las láminas se incubaron con el anticuerpo primario (anticuerpo monoclonal de ratón anti-receptor factor de crecimiento epidérmico humano, Clone: H11, Dako, Carpinteria, EE.UU) a una dilución de 1:100, por 20 horas a 4º C en cámara húmeda. Pasado este tiempo, se dejaron las muestras a temperatura ambiente por una hora y previo lavado con TBS, se realizó la incubación de las láminas con el sistema EnVision (Dako, Carpinteria, EE.UU) por 30 minutos a temperatura ambiente en cámara húmeda, seguido de lavado con TBS por 10 minutos. Se aplicó el cromógeno diaminobencidina (DAB, Dako, Carpinteria, EE:UU) durante 10 minutos, seguido de lavado con agua destilada. Finalmente, los preparados histológicos fueron contrastados con hematoxilina de Mayer, deshidratados con una serie de soluciones de alcohol de gradación creciente y cubiertos con laminillas usando Martex.
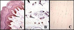
Se utilizó como control positivo para el anticuerpo primario, tejido normal de piel. Como control negativo, se utilizó músculo estriado esquelético. Estos tejidos control se emplearon de acuerdo a lo recomendado en la ficha técnica.
El material se observó con microscopio fotónico Medilux 12, acoplado a una cámara Leica DFC 280 para capturar y digitalizar las imágenes. Los resultados fueron supervisados por 2 observadores independientes quienes coincidieron en los resultados.
Para el análisis de los resultados, las secciones de tejido con inmunotinción fueron evaluadas usando una escala semicualitativa, considerándose positiva la reacción al observar un inmunoprecipitado de color marrón. Escala: Negativo (0, no tinción), intensidad débil (1+), intensidad moderada (2+) e intensidad fuerte (3+).
RESULTADOS
El diagnóstico de NPHP3 fue realizado en base a la historia familiar, características clínicas, histopatológicas y genética molecular. Los pacientes pertenecen al grupo descrito previamente2. Las lesiones histológicas son muy similares a las descritas previamente en la literatura3. En 5 de los 8 casos se observaron quistes. El tamaño y número de los quistes fue variable, revestidos por epitelio simple cúbico bajo, con MBT irregular en su espesor; en algunos quistes se observaron micropapilas revestidas por epitelio hiperplásico. En todas las biopsias de los pacientes se observó fibrosis intersticial difusa y atrofia tubular caracterizada por una MBT plegada y gruesa. En uno de los casos, se observó el engrosamiento fibromuscular de las paredes arteriales.
En todos los casos se observaron glomérulos con retracción del penacho capilar y dilatación seudoquística del espacio urinario y fibrosis periglomerular concéntrica, de manera predominante en los pacientes con IRCT.
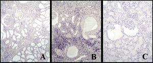
En relación a la inmunohistoquímica, el control positivo en piel demostró precipitado marrón con intensidad de 3+, en las células epiteliales epidérmicas y sudoríparas (Figura 1 A y B). En el control negativo en músculo estriado esquelético, la expresión fue 0 (Figura 1 C). En las biopsias de los 8 pacientes, la expresión de EGFR fue 0 (Figura 2).
DISCUSIÓN
Los factores de crecimiento han sido poco estudiados en NP. En la literatura sólo se encontró un reporte de estudio de una paciente de 13 años de edad con esta patología, cuya biopsia renal estudiada por inmunohistoquímica demostró ser positiva para factor de crecimiento hepático (HepatocyteGrowth Factor, HGF) expresado en las células epiteliales de los túbulos dilatados. Este hallazgo, permitió sugerir a los autores que este factor podría estar implicado en la formación de los quistes en esta enfermedad8.
El proceso de quistogénesis ha sido estudiado ampliamente en PQRAD. Se ha demostrado in vitro que el factor de crecimiento epidermal (EpidermalGrowth Factor, EGF) tiene un efecto mitógeno sobre el epitelio tubular quístico; además se ha encontrado aumentado el número de receptores para EGF considerándose en esta enfermedad como un factor proliferativo. Por otra parte, en la enfermedad poliquística murina infantil estudiada en ratones C57BL/6J-cpk, se ha demostrado que la falta relativa de EGF puede contribuir al desarrollo de quistes en el túbulo colector por una maduración epitelial retardada9.
La NP y los trastornos asociados son considerados como ciliopatias, ya que todos los productos de los genes NPHP se expresan en los cilios primarios, de manera similar a las proteínas de enfermedad renal poliquística10.
Sin embargo, en la NP se ha planteado una alteración en la estructura y composición de la MBT, cuyos componentes conforman una matriz extracelular (MEC) especializada, la cual participa en la tubulogénesis renal normal. Es probable que durante la nefrogénesis, los defectos moleculares de la MEC podrían participar como algunos de los posibles factores patogénicos de éste desorden tubular hereditario11. También, varios reportes en modelos animales de PQRAD, indican que las anormalidades en el eje EGFR son una expresión celular común que ocurre como consecuencia de un número diverso de mutaciones primarias6.
En todos los pacientes con NPHP3 estudiados, la expresión de EGFR fue negativa. Esto nos permite plantear la posibilidad de una deficiencia del efecto de EGF en el epitelio tubular. Se sabe que este factor es uno de los ligandos del EGFR, el cual promueve la diferenciación celular en órganos inmaduros, lo que hace pensar que posiblemente sea la presencia de un epitelio tubular indiferenciado lo que determine el desarrollo de los quistes en esta enfermedad.
Lo antes descrito nos permite concluir que probablemente el EGF actúa como factor de diferenciación celular y la falta de expresión de su receptor en la nefronoptisis, constituye una evidencia inderecta de la deficiencia o ausencia del efecto trófico del EGF sobre la célula epitelial, manifestándose mediante el desarrollo y mantenimiento de un epitelio indiferenciado y de esta manera condiciona la formación de los quistes. Consideramos que éste podría ser uno de los factores que participan en la quistogénesis y se requerirían más investigaciones para dilucidar los mecanismos involucrados en la patogenia de esta enfermedad.
Financiamiento
Este proyecto fue financiado por el Consejo de Desarrollo Científico, Humanístico y Tecnológico de la Universidad de Los Andes (CDCHT-ULA). Venezuela. Código M-801-04-07-A.
Figura 1. Marcaje inmunohistoquímico con anticuerpo monoclonal de ratón antirreceptor de factor de crecimiento epidérmico humano.
Figura 2. Marcaje inmunohistoquímico con anticuerpo monoclonal de ratón antirreceptor de factor de crecimiento epidérmico humano.







