Varón de 77 años, con enfermedad renal crónica en estadio 5 secundaria a nefroangioesclerosis. En tratamiento sustitutivo con hemodiálisis. Su historia de acceso vascular incluye: fístula arteriovenosa (FAV) radiocefálica derecha e izquierda, FAV humeral derecha con posterior trombosis del eje húmero-axilar, FAV húmero-humeral, loop antebraquial con prótesis de politetrafluoroetileno (PTFE) en miembro superior derecho. Actualmente se utiliza catéter tunelizado semipermanente tipo Arrow Cannon II Plus® en yugular izquierda. En el presente año el paciente desarrolla edema «en esclavina » con importante congestión facial. Se realiza angio- TAC (tomografía axial computarizada) observándose trombosis de vena subclavia y tronco innominado izquierdo, así como de vena axilar y subclavia derecha. En la radiografía de tórax, como hallazgo accidental, se observa cuerpo extraño en el hilio pulmonar izquierdo. Se procede a su extracción mediante cateterización por vía femoral, tratándose de la cubierta de PTFE de la guía metálica del catéter. En el mismo acto quirúrgico se dilata la vena innominada izquierda, con disminución inmediata de la rubefacción y del edema.
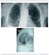
Figura 1. Radiografía de tórax posteroanterior (A) y lateral (B), donde se visualiza imagen radiopaca filiforme en el hilio pulmonar izquierdo, correspondiente a la cubierta de PTFE de la guía metálica del catéter Arrow Cannon II Plus®.
Figura 2. Cubierta extraída de la arteria pulmonar junto con la guía metálica del catéter Arrow Cannon II Plus®.






