El síndrome de nefritis túbulo-intersticial y uveítis (TINU) es una entidad poco frecuente de causa desconocida y de posible etiología inmunitaria. Presentamos el caso de un varón de 16 años, cuyos síntomas de inicio fueron un síndrome constitucional con fiebre y pérdida de peso de 2 semanas de evolución, en el que aparecieron de forma aguda molestias oculares con déficit visual progresivo. Se detecta en el servicio de urgencias la existencia de un deterioro agudo de la función renal junto con una uveítis bilateral sinequiante. Ante la sospecha de TINU, y tras descartar la posibilidad de otras enfermedades autoinmunitarias, se realizó una biopsia renal con el resultado de una nefritis intersticial con infiltrados inflamatorios de predominio linfocitario T. La respuesta de la afectación renal al tratamiento con corticoides por vía sistémica fue excelente, la uveítis, sin embargo, mostró un curso oscilante con reactivaciones que obligaron a mantener los esteroides para el control de la inflamación ocular.
INTRODUCCIÓN
La asociación de uveítis crónica con enfermedad renal se produce en diversas enfermedades de origen infeccioso o bien en otras enfermedades sistémicas de origen inmunológico. La afectación nefrológica puede focalizarse en el glomérulo (enfermedad de Behçet, glomerulonefritis IgA, lupus eritematoso sistémico), pero también puede ocurrir sin afectación glomerular produciéndose una nefritis túbulo-intersticial, es el llamado síndrome TINU (Tubulointerstitial Nephritis and Uveitis). Nuestro grupo presenta un caso de síndrome TINU en un varón joven con buena respuesta y evolución tras sospecha precoz y tratamiento esteroideo.
CASO CLÍNICO
Varón de 16 años que ingresó en el servicio de urgencias de nuestro hospital por molestias oculares y disminución de la agudeza visual. La anamnesis reveló la presencia de un síndrome constitucional de rápida evolución (2 semanas) presentando astenia, anorexia y pérdida ponderal. No refería ingesta de fármacos ni tóxicos. En el momento del ingreso no presentaba fiebre y su presión arterial (PA) era de 100/60 mmHg. No había edemas, ni artralgias, ni ningún otro síntoma, exceptuando las molestias oculares y la disminución de la agudeza visual. En las analíticas sanguíneas llamó la atención la presencia de hemoglobina de 11,6 g/dl, hematocrito 35,1%, volumen corpuscular medio de 79,3 fl, leucocitos 10,7 ml/mm3 (neutrófilos 72%, linfocitos 19%, eosinófilos 0,1% y monocitos 7,5%). Bioquímica: urea 0,45 g/l, creatinina 2 mg/dl, AST 19 U/l, ALT 51 U/l, GGT 53 U/l. La hormona tiroestimulante (TSH) no presentaba alteraciones, y el resto del control analítico estaba dentro de los parámetros de normalidad. La serología de la inmunoglobulina M (IgM) fue positiva para anti-VCA del virus de Epstein-Barr. El resto de serologías víricas fueron negativas. Inmunidad humoral: anticuerpos antimitocondriales positivos 1/80. IgA e IgG discretamente elevada, e IgE muy elevadas 1.120 U/ml (N = 0-180), beta-2-microglobulina 5,11 μg/ml (N = 0,55-1,85). Los factores de complemento estuvieron dentro de la normalidad, así como el resto de anticuerpos inmunitarios celulares: linfoci- tos T (CD4) de 1.949,48 mm3 (N = 500-800), linfocitos T (CD8) de 889 mm3, (N = 250-800), cociente CD4/CD8: 2,19 (N = 1,5-2), PCR 1,35 mg/dl (N = 0,01-0,5). Se realizó el estudio de HLA con presencia de los siguientes locus: DR52, DQ5, DQ2, A1, A26, B8, B38, BW4 y BW6. Los resultados de otras pruebas complementarias, como ecografía abdominal y radiografía de tórax, no fueron patológicos. En la exploración oftalmológica, se detectó una uveítis anterior sinequiante bilateral con leve formación de cataratas, con iris bombé (figura 1) y elevación de la presión intraocular que requirió de una iridotomía YAG en ambos ojos.
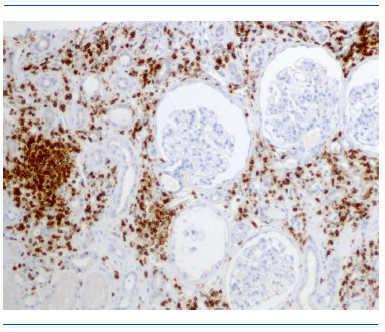
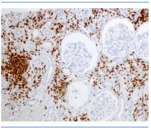
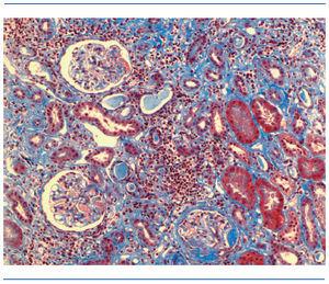
Dadas las características de la clínica, y sospechando un síndrome ojo-riñón, se realizó una biopsia renal. En la microscopia óptica se observaron glomérulos bastante conservados, no se hallaron depósitos fucsinófilos con el método de tinción tricrómico de Masson (figura 2), ni se detectaron alteraciones de la membrana basal de los capilares glomerulares; el estudio con plata-metenamina mostró cambios discretos-moderados en el intersticio junto con infiltrados de mononucleares con células plasmáticas y linfocitos T (CD3) (figura 3). Los túbulos renales mostraban la destrucción de alguno de ellos con reacción mesenquimática hacia su componente hialino luminal y otros mostraban ligera dilatación de la luz con alteraciones en su revestimiento epitelial y la luz ocupada por un material proteináceo con restos celulares. También se objetivaron hallazgos de fibrosis intersticial y atrofia tubular. El resto del estudio inmunohistoquímico con inmunofluorescencia y aplicación de antisueros fue negativo. Se diagnosticó una nefritis túbulo-intersticial con predominio de infiltrados intersticiales de linfocitos T (figura 3).
Con los resultados, tanto de la clínica oftalmológica como de la biopsia renal, se diagnosticó de síndrome de nefritis túbulo-intersticial y uveítis (TINU).
Se inició tratamiento con prednisona oral (1 mg/kg/día) durante 2 semanas y a continuación pauta descendente hasta 10 mg/24 h, junto con prednisona ocular. Asimismo, se realizó vitrectomía bilateral. La uveítis mejoró de su cuadro agudo. El deterioro de la función renal mejoró a los 15 días de tratamiento esteroideo sistémico, descendiendo los valores de creatinina a 0,9 mg/dl, urea 44 mg/dl, y la función glomerular por MDRD alcanzó 119,64 ml/min/1,73 m2. El sedimento presentaba leucocitos aislados. La proteinuria de 24 horas y el cociente albúmina/ creatina fue negativo. El cuadro ocular ha permanecido hasta la actualidad, pero en forma leve, y con recuperación de la agudeza visual en gran parte.
DISCUSIÓN
La nefritis túbulo-intersticial aguda es un proceso inflamatorio originado por causas farmacológicas: antimicrobianos, antivirales, antifúngicos, antiinflamatorios no esteroideos, analgésicos y anticonvulsivos; infecciosas: estreptococos, estafilococos, neumococos, toxoplasmosis, leptospirosis, leishmania, Salmonella, micobacterias, tuberculosis, infecciones virales, Yersinia; enfermedades inmunológicas: lupus eritematoso sistémico, sarcoidosis, síndrome de Sjögren, crioglobulinemia, nefropatía IgA, síndrome de Goodpasture, rechazo de trasplante renal; enfermedades neoplásicas: mieloma, linfomas, leucemias agudas, pero otras veces el origen es desconocido y puede ir asociada o no a uveítis.
Los cambios histológicos renales en la necrosis túbulointersticial se caracterizan por infiltración intersticial con predominio de linfocitos y células plasmáticas, aunque también puede haber neutrófilos, eosinófilos, células gigantes y granulomas. La infiltración suele ser difusa, pero hay formas focales, también puede haber edema intersticial, hinchazón tubular, necrosis y mitosis con aplanamiento de las células tubulares y tubulitis, y ocasionalmente, fibrosis. No hay cambios en el glomérulo.
El síndrome TINU fue descrito por primera vez en 1975 por Drobin et al.1; en su descripción aparece una nefritis intersticial aguda con uveítis anterior y granulomas en médula ósea y ganglios linfáticos. Desde esta descripción, se han publicado poco más de 200 casos, en los cuales hay asociación entre estas dos entidades2,3. Los síntomas inespecíficos al comienzo de esta enfermedad son casi comunes, aunque la uveítis aparece previamente a la insuficiencia renal en un 21% de los casos, simultáneamente en un 15%, y la insuficiencia renal como primer signo del síndrome ocurre en un 64%4. No obstante, cuando la afectación ocular es el primer síntoma, es frecuente que se descubra la insuficiencia renal al realizar los exámenes diagnósticos para filiar la uveítis, y puede sugerir que la patología renal esté presente de forma subclínica y que preceda a la afectación ocular.
La patogenia de esta enfermedad no es bien conocida; se han hallado alteraciones en la inmunidad celular. Se ha especulado que la enfermedad inmunitaria afecta al túbulo renal y a la úvea de forma habitual. En la bibliografía, se han detectado anticuerpos frente a las células tubulares5, y recientemente se han descubierto en un caso autoanticuerpos antitúbulo renal y anticélulas uveales en un paciente con síndrome TINU6.
La asociación del TINU con patología infecciosa viral se ha descrito en 2 casos asociados al virus de Epstein- Barr7,8. Nuestro paciente es el tercer caso que coincide con esta posibilidad. Es posible que el virus desencadene una respuesta inmunológica celular, con inflamación de ambos órganos, renal y ocular.
Se ha relacionado este síndrome con distintos alelos: HLA-DRB19, HLA-DR1410 y HLA-DQ11, y aunque el papel del HLA en el TINU todavía no está bien definido, podría ser que su presencia favoreciese la afectación de estos órganos. En nuestro caso, los alelos detectados no coinciden con ningún caso publicado.
Las funciones tubulares del transporte electrolítico y de otras sustancias pueden alterarse y producir síndrome de Fanconi12, así como otras alteraciones de transporte tubular de forma aislada. En algunos pacientes se han encontrado anticuerpos antimembrana basal tubular tanto en el túbulo proximal como en el distal y la cápsula de Bowman13. Se ha asociado este síndrome con entidades como hipertiroidismo14, disminución del complemento15, y diversos anticuerpos16.
Se debe realizar el diagnóstico diferencial con otras entidades oculares que cursan con alteraciones renales, como sarcoidosis y síndrome de Sjögren, así como otras enfermedades sistémicas. La ausencia de patología glomerular y la no afectación de otros órganos diferentes al renal sugieren el diagnóstico17.
La nefritis túbulo-intersticial tiende a resolverse bien de forma espontánea o con tratamiento esteroideo, no suele recurrir y es autolimitada. La insuficiencia renal suele resolverse y hay pocos casos que requieren hemodiálisis4; no obstante, el pronóstico dependerá de la afectación intersticial con el porcentaje de fibrosis y atrofia tubular. En nuestro caso, coincide la mejoría de la función renal con el tratamiento administrado (prednisona), siendo la mejoría estable, y en la actualidad, tras 6 meses del diagnóstico, la función renal permanece dentro de los parámetros de norma- lidad, aunque el paciente sigue requiriendo tratamiento esteroideo (prednisona: 10 mg/24 h) para el control inflamatorio de la uveítis.
En resumen, este caso presenta una entidad poco frecuente que afecta a la función renal y que exige una elevada sospecha, sobre todo en los servicios de urgencia oftalmológica, en los que el diagnóstico de uveítis debería acompañarse de una analítica simple (urea y creatinina) para valorar si la función renal está preservada.
Figura 1. Uveítis anterior, con iris bombé.
Figura 2. Biopsia renal. Tricrómico de Masson: se observan glomérulos bien conservados y alteraciones tubulares.
Figura 3. Biopsia renal. Plata-metenamina: infiltrados de mononucleares con células plasmáticas y linfocitos T (CD3).







