Presentamos el caso de un paciente con aneurisma de una rama de la arteria renal derecha tratado de forma endovascular. Varón de 61 años, con hipertensión renovascular y múltiples episodios de cólico nefrítico, por los que se solicita ecografía abdominal y urinaria, en la que se objetiva aneurisma densamente calcificado de una rama del riñón derecho. Se realiza arteriografía, que confirma aneurisma sacular en la rama de la arteria renal derecha con importante calcificación. Se cateteriza el aneurisma y se emboliza mediante coils de liberación controlada GDS. La angiografía de comprobación muestra una correcta oclusión del aneurisma y permeabilidad del vaso. El paciente es dado de alta a las 24 h sin presentar complicaciones y en el control al año no se observa repermeabilización. Los aneurismas de la arteria renal son lesiones raras localizadas en la arteria renal principal o en una de sus ramas. Su incidencia es muy baja y no existe consenso claro de manejo. El creciente aumento en su diagnóstico se debe a la utilización más frecuente de pruebas de imagen como la angiografía o la tomografía computarizada. Actualmente, el manejo de estos aneurismas va a depender de la experiencia del centro. El tratamiento endovascular es una buena opción, porque ofrece una menor morbilidad respecto a la cirugía abierta. El tratamiento quirúrgico de los aneurismas de arteria renal en pacientes adecuadamente seleccionados proporciona excelentes resultados clínicos a largo plazo y con frecuencia se asocia con una disminución de la presión arterial.
INTRODUCCIÓN
Los aneurismas de la arteria renal (AAR) son entidades poco frecuentes y constituyen el 1 % de todos los aneurismas (incidencia del 0,09 al 0,3 %)1; su incidencia es mayor en mujeres jóvenes e hipertensas. Aproximadamente, el 55-75 % de estos aneurismas se asocian a hipertensión arterial (HTA) secundaria a estenosis segmentaria de la arteria renal o a la compresión extrínseca del aneurisma1. Aunque algunos de ellos pueden cursar con hematuria o dolor en flanco, la gran mayoría son asintomáticos. Los aneurismas sintomáticos son más frecuentes en la población de mayor edad. Los aneurismas son de importancia por el potencial riesgo de rotura, la trombosis, la embolia y la hipertensión renovascular (HRV).
Presentamos un caso clínico de un paciente con aneurisma de la rama anterior de la arteria renal derecha.
CASO CLÍNICO
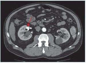
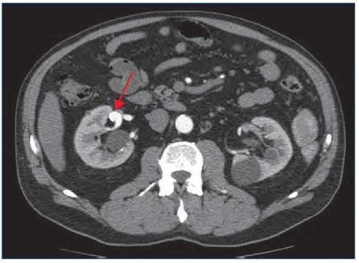
Paciente varón de 61 años, fumador con antecedentes patológicos de HRV; controlado por nefrología y en tratamiento con tres antihipertensivos cada 24 h (enalapril 20 mg, hidroclorotiazida 12,5 mg y atenolol 50 mg). Hepatopatía crónica por enolismo y múltiples episodios de cólico nefrítico, por los que se solicita ecografía abdominal y del sistema urinario, en la que se objetiva aneurisma densamente calcificado de 9,8 mm de rama anterior del riñón derecho que posteriormente es confirmado mediante tomografía computarizada —TC— (figura 1).
Figura 1. Aneurisma calcificado de la rama anterior del riñón derecho.
Procedimientos diagnósticos
Se realiza arteriografía con sustracción digital intraarterial, que confirma el aneurisma en la rama inferior de la bifurcación posterior de la arteria renal derecha de 11,4 × 15,8 mm de diámetro (figura 2).
Figura 2. Arteriografía que confirma el aneurisma en la rama inferior de la bifurcación posterior de la arteria renal derecha.
Tratamiento
Mediante microcateterismo superselectivo de la rama eferente, se cateteriza el aneurisma y se emboliza mediante coils GDC de liberación controlada (figuras 3 y 4).
Figura 3. Microcateterismo superselectivo de la rama eferente del aneurisma.
Figura 4. Embolización mediante coils GDC de liberación controlada.
La angiografía de comprobación muestra una correcta oclusión del aneurisma.
Evolución
El paciente fue dado de alta a las 24 h de su hospitalización sin presentar complicaciones.
Un año después de la realización del procedimiento, el paciente presenta correcta permeabilidad de la arteria renal, sin objetivarse nuevo crecimiento del saco aneurismático y un mejor control de la presión arterial (< 130/90 mmHg) con solo un fármaco antihipertensivo (enalapril 5 mg), manteniendo la función renal normal.
DISCUSIÓN
Los AAR son lesiones raras, que se localizan en la arteria renal principal o en una de sus ramas. Su incidencia es muy baja y no existe protocolo claro para su manejo.
Los AAR saculares son los más comunes, constituyen entre el 60-90 %. Se diagnostican con una edad media de alrededor de los 50 años (20-75). En un 20 % de los casos son bilaterales, con estenosis por ateromatosis de la arteria renal asociada. Se encuentran mayoritariamente en la bifurcación de la arteria renal2.
El 35 % se descubre durante el estudio de una HTA y el 26 % de forma accidental. La mayoría de los pacientes se mantienen asintomáticos, con un elevado riesgo de rotura o trombosis (la coexistencia de HTA favorece la rotura en el 90 % de los casos). La rotura de un AAR es un evento potencialmente catastrófico; a veces se presenta con colapso vascular y shock hemorrágico. Para controlar la hemorragia en estos casos es necesaria una nefrectomía urgente3.
El creciente aumento en su diagnóstico se debe a la utilización más frecuente de las pruebas de imagen, como la angiografía y la TC4.
Una radiografía simple de abdomen puede revelar una calcificación anular intra o extrarrenal (30-50 %), los urogramas pueden ser normales o mostrar atrofia renal. El Doppler color renal constituye una exploración de indicación creciente en el estudio de la enfermedad del hilio renal.
Las indicaciones de tratamiento quirúrgico no han variado en los últimos años5-14: HRV, disección del aneurisma, presentar síntomas locales como dolor subcostal o hematuria, mujeres en edad fértil, estenosis significativa de la arteria renal, objetivar signos radiológicos de expansión o aneurismas comprendidos entre 15-20 mm de diámetro sin tener en cuenta la presencia o no de calcificación. La indicación debe ser valorada siempre junto con las condiciones generales que presenta el paciente.
Las opciones incluyen5,6:
• Embolización (vía endovascular).
• Resección del aneurisma y anastomosis directa.
• Resección y reparación con parche de Dacron.
• Autotrasplante tras resección del aneurisma.
• Reconstrucción ex vivo para realizar anastomosis múltiples.
• Nefrectomía parcial.
• Nefrectomía.
La decisión de intervenir a este paciente fue motivada por el diámetro del aneurisma, la HRV y la clínica recidivante de cólicos nefríticos14.
Con los avances de las técnicas endovasculares, la embolización del AAR es una técnica cada vez más utilizada, porque ofrece una menor morbilidad respecto a la cirugía abierta7-9.
La reciente introducción de los coils de liberación controlada ha permitido aumentar la seguridad, garantizando la correcta colocación del coil en el aneurisma10-13.
El control periódico es necesario, con el objetivo de detectar endofugas, variaciones en el diámetro del aneurisma, migración del material de embolización, a pesar de que actualmente no existe una prueba de imagen de elección inocua para el paciente4.
CONCLUSIONES
Muchos aspectos con referencia al AAR no están claros: tasa de incidencia anual, curso natural y protocolos de tratamiento, entre otros, por lo que es necesaria una mayor investigación al respecto.
Nuestra experiencia con este paciente sugiere que el tratamiento quirúrgico endovascular del AAR en pacientes adecuadamente seleccionados proporciona excelentes resultados clínicos a largo plazo y, con referencia a la mejora de la hipertensión postoperatoria, se sugiere que la HRV intratable es tributaria de indicación quirúrgica, porque ofrece una menor morbilidad respecto a la cirugía abierta.
Conflictos de interés
Los autores declaran que no tienen conflictos de interés potenciales relacionados con los contenidos de este artículo.
Correspondencia: Bernat López de la Franca Beltran
Servicio de Angiología y Cirugía Vascular.
Hospital Universitari Germans Trias i Pujol.
Pau Casals, 16 Esc 2, 9.º-1.ª. 08340 Badalona, Barcelona.
lopezdelafrancabeltran@gmail.com; ibolivara@hotmail.com








