La utilización de localizaciones poco habituales para la colocación de los catéteres de diálisis es cada vez más frecuente, y a veces la única opción en los pacientes que han agotado la posibilidad de realización de fístula arteriovenosa interna (FAVI) y en los que no es posible la utilización de localizaciones clásicas, generalmente por trombosis de estas por el uso prolongado de catéteres durante largos períodos. La vena ácigos o ácigos mayor es un tronco venoso que se ubica en la parte derecha del tórax. Se origina al nivel de L1 o L2, de la unión de la vena lumbar ascendente derecha y la vena subcostal derecha. Penetra en el tórax a través del orificio aórtico en el diafragma y culmina en la vena cava superior; se encuentra en el mediastino posterior y es retroperitoneal. Forma una circulación colateral entre la vena cava superior y la inferior, lo que es especialmente interesante, ya que proporciona una ruta alternativa de acceso de sangre a la aurícula derecha en caso de que cualquiera de las cavas esté bloqueada.
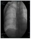
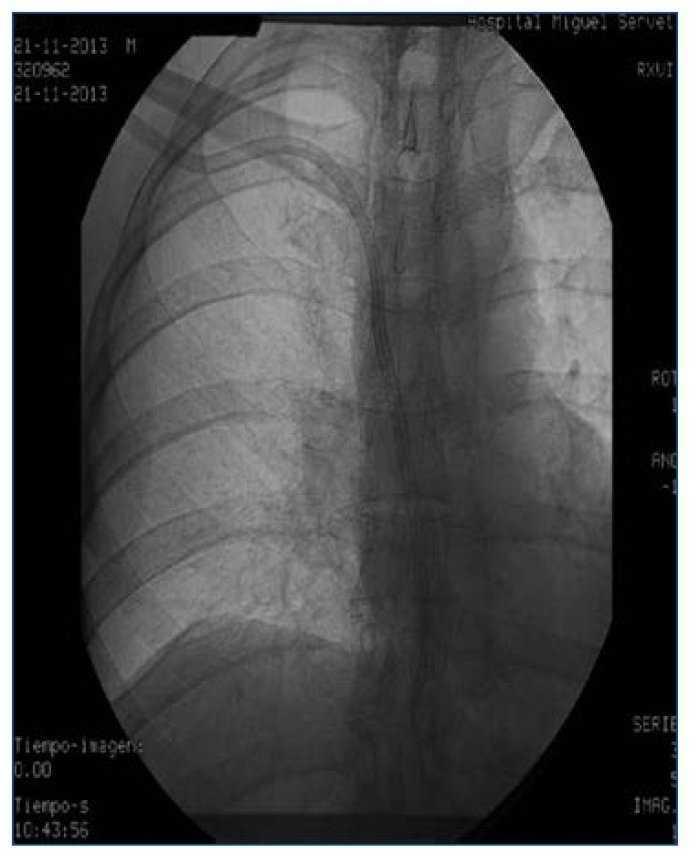
Presentamos el caso de una paciente en hemodiálisis, que había agotado todas las posibilidades de realización de FAVI y que se dializaba a través de catéter yugular tunelizado colocado en yugular interna derecha. Anteriormente había sido portadora de varios catéteres en vena yugular derecha e izquierda y en ambas femorales, habiendo desarrollado trombosis de estas como complicación asociada. Por malfuncionamiento del catéter yugular derecho se realiza cavografía, que muestra trombosis oclusiva de toda la vena cava superior con gran hipertrofia de la vena ácigos (figura 1). Se intenta abordaje por vía yugular derecha, que es imposible debido a su trombosis, por lo que se realiza abordaje subclavio derecho y se consigue implantar el catéter dejando el extremo distal próximo al cayado de la ácigos (figura 2). La paciente se dializó a través de este catéter sin incidencias, con flujos de 300-350 ml/min consiguiéndose un KTV medio de 1,64 durante 4 meses, momento en que fue sometida a un trasplante renal de donante cadáver. La colocación de catéteres en la vena ácigos está descrita en numerosas ocasiones como complicación del procedimiento en el abordaje de accesos vasculares subclavios o yugulares. Sin embargo, con nuestro caso mostramos que la vena ácigos puede ser una alternativa válida como acceso venoso central funcionante, con buenos flujos y buena calidad de diálisis en pacientes con trombosis en los territorios venosos habituales.
Figura 1.
Figura 2.
Conflictos de interés
Los autores declaran que no tienen conflictos de interés potenciales relacionados con los contenidos de este artículo.
Correspondencia: Belén Moragrega Cardona
Servicio de Nefrología.
Hospital San Juan de Dios.
Paseo Colón, 14. 50006 Zaragoza.
mbmoragrega@salud.aragon.es






