INTRODUCCIÓN
La hipopotasemia es quizá la alteración electrolítica más frecuente1. Esta alteración iónica cuando es severa puede ocasionar graves alteraciones en diversos órganos incluyendo la rabdomiólisis. Se han descrito diversas enfermedades que pueden originar hipopotasemia y a través de esta provocar la necrosis muscular2-19. Entre ellas se encuentra la enfermedad celíaca, aunque son muy pocos los casos reportados hasta la fecha y en ellos existe un predominio de presentación en la edad infantil o en pacientes jóvenes20-25.
Describimos el caso de un adulto que se presentó con hipopotasemia severa, y como consecuencia de la misma una rabdomiólisis y tetania como hallazgos más destacables, así como otras alteraciones electrolíticas, en el contexto de un cuadro de diarrea crónica y síndrome de malabsorción originadas por una enfermedad celíaca.
CASO CLÍNICO
Paciente de 38 años de edad sin antecedentes de interés. Desde hacía meses refería pérdida de peso progresiva junto con astenia generalizada y debilidad muscular. En los últimos dos meses se añadieron diarreas líquidas sin productos patológicos que acentuaron aún más el cuadro. Inició tratamiento con loperamida sin mejoría. En los días previos al ingreso la debilidad muscular se incrementó, afectando predominantemente a zona deltoidea y piernas, con gran dificultad para la deambulación y sobre todo para subir escaleras, precisando detenerse para descansar con mucha frecuencia.
En urgencias presentaba TA129/79, FC 84 latidos por minuto, Tª 35,2, SAT O2 98%. Mal estado general, hábito asténico. Glasgow 15. Palidez cutánea, sin signos de deshidratación.Eupneico. AC: Tonos rítmicos sin soplos ni roces audibles. AP: normal. Abdomen blando y depresible, no doloroso a la palpación. Peristaltismo presente. Reflejos osteotendinosos disminuidos de modo generalizado. Reflejo cutáneo plantar indiferente. No signos meníngeos. Estando ya ingresado en planta de hospitalización y coincidiendo con estrés por extracción sanguínea presentó espasmo carpopedal bilateral que cedió espontáneamente tras inspirar y espirar en bolsa de plástico y que se reprodujo posteriormente en brazo izquierdo al inflar el manguito para toma de la tensión arterial.
La radiografía de tórax al ingreso era normal. En el ECG se objetivaba un ritmo sinusal con conducción auriculoventricular normal con descenso en cubeta del segmento ST con onda U negativa tardía y QT largo de modo difuso, sugestivo de hipopotasemia. En la tabla I se muestran las principales alteraciones analíticas al ingreso junto con su evolución. No se realizó determinación de mioglobina. En una muestra aislada de orina tomada al ingreso presentaba: potasio 8,1 meq/l, sodio 14 meq/l, cloro 74 meq/l, pH 6,5 con sedimento normal.
Se inició terapia intensiva con fluidos parenterales y reposición electrolítica. La tabla I detalla el tratamiento instaurado. Durante todo el ingreso mantuvo volúmenes de diuresis adecuadas. No se registraron nuevos episodios de tetania y la debilidad muscular se recuperó paulatinamente. El sexto día de ingreso las alteraciones del ECG habían desaparecido. Tanto el potasio como el resto de alteraciones electrolíticas y de la hemostasia se fueron normalizado progresivamente.
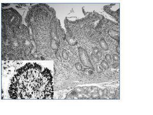
Se realizaron otras pruebas: coprocultivos y detección de toxinas de Clostridium difficile negativos. Serologías de HIV, hepatitis B y C negativas. Niveles de TSH, cortisol, ACTH y aldosterona normales, también el péptido intestinal vasoactivo y las catecolaminas en orina de 24 horas. PTH elevada (113 pg/ml) y vitamina D disminuida (8 ng/ml). Vitamina B12 y ácido fólico normales. En las pruebas de imagen (ecografía y TAC abdominal) no se detectó patología. El EMG-ENG no mostró alteraciones. La colonoscopia era normal hasta ángulo hepático. En la gastroscopia la mucosa gástrica era normal, destacando la presencia de una evidente atrofia de la mucosa duodenal de la que se tomaron biopsias. Los hallazgos anatomopatológicos se describen en el pie de la figura 1. Los anticuerpos antitransglutaminasa y antigliadina IgA resultaron positivos (> 100 U/ml y 120 U/ml respectivamente).
Con el diagnóstico de enfermedad celíaca se inició dieta sin gluten con buena evolución posterior y progresiva normalización de las deposiciones.
DISCUSIÓN
La hipopotasemia severa, aunque rara, es una causa reconocida de rabdomiólisis. Existen casos publicados previamente que describen esta asociación, siendo diversas las etiologías de la hipocaliemia: acidosis tubulares renales2, síndrome de Bartter3 y de Gitelman4, ingesta de regaliz5 (efecto mineralocorticoide del ácido glicirrícico), diuréticos6, abuso de laxantes7, síndrome de Conn8, feocromocitoma9 , alcoholismo10, anfotericina B11, HIV12, obstrucción intestinal crónica13, enfermedad de Crohn14, tumor pancreático neuroendocrino15, ureterosigmoidostomía16, síndrome del intestino corto17, tratamiento con itroconazol18 e hiperemesis gravídica19. Respecto a la enfermedad celíaca, tras la publicación del primer caso en 198220 hasta el momento se han descrito otros cinco casos de debut con rabdomiólisis inducida por hipopotasemia21-25. El nuestro sería el séptimo publicado hasta la fecha lo que resalta la rareza de esta asociación.
Hasta recientemente, la enfermedad celíaca era considerada una enfermedad poco frecuente que afectaba predominantemente a niños. No obstante, en los últimos 15 años su diagnóstico se ha generalizado y hoy en día se considera una enfermedad extraordinariamente común que afecta a pacientes de todas las edades y con síntomas que involucran a múltiples sistemas orgánicos26. Se ha descrito en los últimos años un cambio en la presentación clínica. Hoy en día son menos frecuentes los casos sintomáticos con diarreas y pérdida de peso y, debido a la disponibilidad de los test sexológicos, cada vez se diagnostica más precozmente en fases subclínicas27. El diagnóstico en nuestro paciente no ofrece dudas en virtud de la presentación clínica así como por la positividad de las pruebas serológicas y la biopsia duodenal.
En un paciente como el presentado, con diarreas prolongadas que ocasionaron severos déficits electrolíticos, sería de esperar la presencia de una acidosis metabólica originada por la pérdida digestiva de bicarbonato, que cursaría con anión gap normal y con carga neta urinaria negativa (que reflejaría la excreción urinaria de amonio, respuesta renal habitual en las acidosis metabólicas de origen extrarrenal)28. Aunque estas dos últimos parámetros sí se cumplían en nuestro caso: Anión gap sérico [Na+ - (Cl- +HCO- 3)] = 11,4 y carga neta urinaria [(Na+ + K+) ¿ Cl-]= -51,9, lo cierto es que los resultados de la gasometría venosa eran prácticamente normales al ingreso. La explicación de esta situación en principio paradójica se puede encontrar en la existencia de un trastorno mixto del equilibrio ácido-base. Cuando coexiste una acidosis metabólica junto a una alcalosis metabólica pueden presentarse con unos valores de pH, pCO2 y [HCO-3] prácticamente normales29. La hipopotasemia severa (< 2 mEq/L) puede ser causa de alcalosis. Esto tiene lugar porque, en respuesta a los bajos niveles de potasio, hay una salida de éste desde los depósitos intracelulares y se genera un flujo de sodio e hidrogeniones hacia el interior de la célula, lo que condiciona la aparición de una situación paradójica: la existencia de acidosis intracelular en el contexto de una alcalosis extracelular. La acidosis intracelular es uno de los principales mecanismos que estimulan los sistemas de secreción de iones de hidrógeno a la luz del túbulo renal y se reabsorbe, de forma secundaria, bicarbonato. Además, por un mecanismo no bien definido, la depleción de potasio se asocia con una pérdida obligada de cloruros en el túbulo distal, lo que favorece un estado de hipocloremia30. La propia depleción de cloruros puede desempeñar un papel fundamental en el mantenimiento de la alcalosis, junto con otros mecanismos bien conocidos, como la depleción del volumen circulante efectivo. En esta última situación el túbulo renal reabsorbe prácticamente todo el sodio filtrado, acompañándose de una reabsorción excesiva de bicarbonato. No es descartable que nuestro paciente estuviera deplecionado de volumen como consecuencia de las diarreas. Por lo tanto, podemos hipotetizar que la acidosis consecuencia de la pérdida de bicarbonato por vía digestiva, y la alcalosis consecuencia de la hipopotasemia severa junto con la contracción de volumen por las diarreas se contrarrestaron mutuamente en nuestro paciente.
Al iniciar el tratamiento se priorizó prevenir el posible fallo renal por la rabdomiólisis dado que la cifra de CPK, ya de por sí muy elevada inicialmente, se encontraba en curva ascendente, por lo que se empleó bicarbonato endovenoso, aunque a dosis no muy altas. No obstante se suspendió a las 36 horas al comprobar que la función renal no se alteraba y que la diuresis era correcta. Visto en perspectiva no cabe duda de que su empleo fue arriesgado, puesto que la alcalosis podría haber agravado la hipocaliemia y la clínica de la tetania, a pesar de que la reposición tanto de potasio como de calcio se inició de modo precoz. Por otro lado se puede argumentar que de haberse presentado un fracaso renal agudo el manejo del caso se habría complicado de modo notable. Así que es difícil establecer pautas generales, y cada clínico debe optar en cada caso individualizado por adoptar las medidas que considere más oportunas, manteniendo, eso sí, una estrecha monitorización de los parámetros clínicos y analíticos, como se hizo en este caso.
Se han descrito también casos de enfermedad celíaca que debutó con tetania pero en ninguno de ellos había también rabdomiólisis31-34. El origen de la tetania en nuestro paciente hay que atribuirlo a la hipocalcemia por malabsorción y déficit de vitamina D, sin olvidar que la rabdomiólisis se suele acompañar de hipocalcemia por el depósito de este elemento en el tejido muscular. La crisis de tetania fue precipitada en el contexto de cuadro de ansiedad con la consiguiente alcalosis respiratoria y disminución del calcio iónico, con el efecto facilitador de la hipomagnesemia. A pesar de que el tratamiento con calcio en la rabdomiólisis es controvertido35 en nuestro caso fue necesario al presentar clínica sintomática, sin registrarse hipercalcemia de rebote al normalizarse las enzimas musculares.
Cuando la concentración sérica de potasio disminuye debajo de 2,5 mEq/l puede producirse necrosis muscular a través de varios mecanismos11. La probabilidad de la presentación parece estar en relación con la rapidez en el descenso del potasio. En ocasiones la hipopotasemia puede pasar desapercibida debida al incremento compensatorio del potasio sérico que produce la propia rabdomiólisis. Otras veces se ha comprobado como la hipopotasemia inicial se transforma posteriormente en una hiperpotasemia grave como consecuencia de la necrosis muscular36. En situaciones de rabdomiólisis hipopotasémica se admite que para que se produzca un fallo renal agudo deberían estar presentes además otra serie de procesos como la deshidratación, acidosis, ejercicio físico o drogas nefrotóxicas3.
El paciente presentaba otros dos llamativos trastornos electrolíticos: hipomagnesemia e hipofosfatemia. El déficit de magnesio se considera severo por debajo de 1,2 mg/dl. La hipomagnesemia sintomática se asocia con frecuencia a otras anomalías bioquímicas como son la hipopotasemia la hipocalcemia y la alcalosis metabólica. Como consecuencia a menudo es difícil atribuir manifestaciones clínicas específicas al déficit de este elemento37.
La hipofosfatemia puede clasificarse en moderada (1-2,5 mg/dl) o severa (< 1 mg/dl). Aunque la mayoría de casos de rabdomiólisis asociada a hipofosfatemia en humanos se han descrito en el contexto de alcoholismo, también se ha publicado la asociación entre rabdomiólisis e, hipofosfatemia en casos de anorexia nerviosa38. Existe evidencia experimental en animales de una relación causal entre los dos procesos39.
A pesar de estas evidencias, y sin descartar su posible contribución, el hecho de que la depleción de magnesio y de fósforo no fueran tan severas como la del potasio, nos hace pensar que la responsabilidad principal del cuadro clínico de rabdomiólisis recaía en el déficit de este último. En resumen presentamos un caso de enfermedad celíaca con debut en la edad adulta en forma de rabdomiólisis y tetania ocasionadas por las severas alteraciones electrolíticas originadas por el síndrome de malabsorción. La rareza del cuadro y lo florido de las alteraciones clínicas y analíticas revisten al caso de especial interés y pueden servir de reclamo a los clínicos para descartar etiologías similares en pacientes adultos que presenten un cuadro clínico compatible al aquí reportado.
Tabla 1.
Figura 1.







