Dear Editor,
Aseries of patients with kidney problems secondary to monoclonal gammopathies without malignant criteria was recently published in Nephrology.1 We present the case of a patient with membrane-proliferative glomerulonephritis of a non-filiated aetiology where a monoclonal gammopathy of undetermined significance was detected.
A60 year old woman presented with a history of high blood pressure, heterozigous beta thalasaemia and plantar psoriasis treated topically. She sought a consultation for leg oedema of one week duration. Impairment of kidney function was detected in the blood tests. Cr 1.9mg/dl, urea 85mg/dl. The full blood count showed anaemia with the rest of the parameters and coagulation normal. There was nephrotic-range proteinuria with normal total serum protein and albumin levels. The urinary sediment contained 35 red blood cells/field. The immunological study showed hypocomplementaemia with a decrease in the C3, C4 and CH50 levels. Two cryoglobulin tests were carried out and both were negative. The electrophoretic blood study was normal while the electrophoretic urine study presented a Bence Jones Lambda band (200 mg/24 h). In the bone marrow biopsy, the percentage of plasma cells was 2%. The serology for HBV and HCV did not indicate active infections.
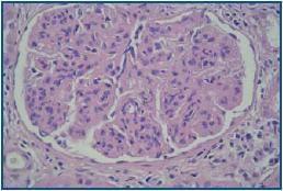
All of the glomeruli in the kidney biopsy presented a similar histological aspect with a diffuse proliferation of the matrix and the mesangial cellularity adopting a lobulated pattern. The interstitial area had a slight non-specific infiltration of lymphocytes without fibrosis. The vascular and tubular components showed no lesions. The immunoflourescence showed granular deposits of IgG and C3 (figures 1 and 2).
This patient presented with monoclonal gammapthy of unknown significance and membranoproliferative glomerulonephritis for which no underlying cause was found an aetiological factor.
The glomerular involvement in the monoclonal gammopathies generally occurs in the malignant forms and is usually associated with deposition of light chains.2 The presence of renal involvement is less frequent in patients with benign monoclonal gammopathies. However, the benign character does not exclude the existence of secondary renal involvement.3,4 Recently, a series of ten patients with glomerular involvement associated with benign monoclonal gammopathies has been published.
There is however a few reported cases in the literature.1
In 2004, Nasr et al. published a series of ten patients with idiopathic proliferative glomerulonephritis associated with a deposition of monoclonal immunoglobulins (IgG).5 Half of the patients presented monoclonal bands on blood and urine electrophoresis, none of them meeting criteria for myeloma in bone marrow biopsies. Four of the patients presented hypocomplementaemia but the cryoglobulin determinations were negative for all of them. Samuh and coworkers suggested that the deposit of monoclonal immunoglobulins might cause a proliferative glomerulonephritis mimicking the immune complex-mediated glomerulonephritis. We report this new case of renal involvement in monoclonal gammopathies of undetermined significance that we believe could be similar to those published in the series of Nasr et al.1,5
Figure 1.
Figure 2.







