CASO CLÍNICO
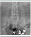
Varón de 59 años, incluido en programa de hemodiálisis desde 2004 por nefropatía diabética. Desarrolla hiperparatiroidismo secundario grave (PTHi 1.124 pg/ml) debido en parte a mala adherencia a dieta y varios tratamientos: carbonato cálcico, sevelamer y cinacalcet. Finalmente, y ante la persistencia de hiperfosforemia, inicia tratamiento con carbonato de lantano (Fosrenol®) a dosis de 2.000 mg/día. Unas semanas más tarde refiere molestias abdominales. En la Rx simple de abdomen se aprecian al menos ocho comprimidos de este medicamento alojados en la luz intestinal. A pesar de nuestras advertencias, el paciente no había masticado los comprimidos antes de su deglución, como es preceptivo para su eficacia.
Figura 1. Comprimidos de carbonato de lantano.





