Sr. Director:
Se trata de un hombre de 50 años en programa de hemodiálisis periódica desde abril de 1984 por insuficiencia renal crónica tras glomerulonefritis rápidamente progresiva secundaria a granulomatosis de Wegener.
La granulomatosis de Wegener fue descrita en 1931 por Klinger1. En 1936, Wegener definió ya claramente la enfermedad clínica y patológicamente2. Su etiología continúa siendo desconocida. Es una vasculitis necrotizante sistémica que afecta a arterias y venas de pequeño calibre. Sobre todo en tracto respiratorio superior e inferior y riñón3.
La afección renal cursa con proteinuria, hematuria y cilindros hemáticos e insuficiencia renal progresiva. La anatomía patológica más común es la de una glomerulonefritis focal necrotizante. Puede hallarse signos de nefropatía intersticial y de vasculitis, así como glomerulonefritis proliferativa4.
Se había realizado biopsia renal en enero 1984, objetivándose glomérulonefritis extracapilar necrotizante, la biopsia de fosas nasales fue normal. Recibió tratamiento inmunosupresor con corticoides y ciclofosfamida, sin recuperación de función renal.
En febrero 1995 presentó brote vasculítico que cursó con úlcera necrotizante en maleolo interno de pie derecho y lesiones purpúricas. Faringitis y hemorragia intralveolar difusa, con patrón radiológico de ocupación alveolar bilateral.
A nivel pulmonar puede haber nódulos, atelectasias, derrame pleural e infiltrados. Es frecuente la cavitación5.
Por entonces, mostró positividad de autoanticuerpos antineutrófilo citoplasmático (ANCA)-C con especificidad para antiproteinasa 3.
Los 4 criterios clínicos diagnósticos son inflamación nasal u oral, estudio radiográfico anormal, sedimento activo, y demostración de inflamación granulomatosa6. La presencia de ANCA ha demostrado también utilidad en el diagnóstico7,8.
Reinició tratamiento con ciclofosfamida oral (1 mg/kg/día) y prednisona (60 mg oral con reducción progresiva). Durante más de un año.
El uso de ciclofosfamida se sabe que se asocia con cáncer vesical, lo que se debe a un metabolito del fármaco llamado acroleína que también se ha relacionado con una mayor incidencia de cáncer de piel y síndromes mieloproliferativos9.
En mayo de 2002 mediante biopsia ganglionar fue diagnosticado de linfoma no Hodgkin folicular estadio IV A, siendo tratado, con respuesta parcial con 6 ciclos de CHOP y Rituximab. Ha recibido desde 2003 hasta la actualidad tratamiento de mantenimiento con ciclos periódicos de Rituximab.
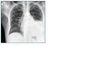
En septiembre de 2007, 23 años después del diagnóstico de Enfermedad de Wegener y coincidiendo con cuadro catarral, se realiza una radiografía de tórax de control objetivándose derrame pleural izdo que no se había evidenciado en TAC de control de enero (fig. 1). Los estudios inmunológicos fueron negativos. Se solicitó nuevo TAC que confirmó la presencia de derrame pleural izdo. y múltiples nódulos pulmonares. Se decidió realizar toracocentesis diagnóstica y evacuadora. El resultado anatomopatológico del líquido pleural que bioquímicamente mostraba características de exudado de aspecto hemático fue de Adenocarcinoma de pulmón. Iniciándose tratamiento paliativo.
Se sabe que la enfermedad de Wegener sin tratamiento tiene un pronóstico fatal pero su tratamiento a la larga conlleva un aumento del riesgo de tumores, fiel ejemplo de esto es el caso que remitimos.
Figura 1.






