Se presenta el caso clínico de una paciente diabética y portadora de un injerto renal que, estando previamente estable y con función óptima del injerto, acude a urgencias en situación de sepsis de origen urinario con fracaso renal agudo. La evolución inicial es tórpida bajo tratamiento antibiótico empírico con ceftriaxona. Se realiza ecografía, en la que no se consigue visualizar el injerto. A las 48 h de su ingreso se solicita tomografía computarizada abdominal, que muestra pielonefritis enfisematosa del injerto con destrucción prácticamente completa del parénquima renal. En el urocultivo y en el hemocultivo se aísla Escherichia coli multisensisble. Se decide trasplantectomía urgente, tras lo que la paciente evoluciona correctamente reiniciando hemodiálisis.
La pielonefritis enfirsematosa del injerto renal es una complicación infecciosa poco frecuente, pero que se ha de sospechar en los pacientes trasplantados con infección urinaria con mala evolución. Es más frecuente en la población diabética. En caso de sospecha es necesaria la realización de una prueba de imagen para su diagnóstico e inicio precoz de antibioterapia para intentar evitar la trasplantectomía.
INTRODUCCIÓN
La pielonefritis enfisematosa (PE) es una infección aguda y necrosante del riñón, que se caracteriza por la presencia de gas en el parénquima renal y sus estructuras adyacentes. Típicamente, se produce en pacientes diabéticos (90-95% de los casos)1-3, ya que la hiperglucemia tisular favorece el crecimiento de bacterias gramnegativas anaerobias facultativas, que son los principales agentes etiológicos. El microorganismo aislado con más frecuencia es Escherichia coli (50-70% de los casos)2-4, seguido en frecuencia por Klebsiella pneumoniae (10-20% de los casos)2. Se han descrito casos causados por Streptococcus, Staphylococcus plasmocoagulasa negativos, Clostridium septicum, Salmonella spp., Pneumocystis jirovencii e incluso Candida albicans5. Se trata de una entidad clínica grave, con rápida progresión a sepsis y shock séptico, siendo necesario el diagnóstico radiológico y el inicio de antibioterapia empírica y terapéutica invasiva (drenaje percutáneo) sin demora a fin de evitar la nefrectomía. La mortalidad global es del 14-21%2,3.
La presencia de PE sobre injerto renal es poco frecuente, y se han publicado menos de 30 casos hasta el momento en la bibliografía de habla inglesa. Se trata, sin embargo, de una infección altamente lesiva para el injerto, que, de no ser tratada precozmente, implica la realización de trasplantectomía y el consiguiente inicio de diálisis. Los agentes etiológicos son similares a los de la PE sobre riñón nativo.
CASO CLÍNICO
Mujer de 74 años, con antecedentes de hipertensión arterial, diabetes mellitus tipo 2 de larga evolución y con mal control metabólico crónico en tratamiento con insulina, hipercolesterolemia y enfermedad renal crónica secundaria a nefropatía diabética Mogensen V, por lo que requiere inicio de hemodiálisis en 2010 a través de una fístula arteriovenosa. En marzo de 2012, la paciente recibe un injerto renal de donante cadáver, con el que comparte 3 identidades HLA (A, B y DR), realizándose tratamiento inmunosupresor con tacrolimus, micofenolato y corticoides. La función renal mejora progresivamente hasta mantenerse con creatinina basal en torno a 1,3-1,4 mg/dl. Desde el postrasplante inmediato no requiere ingreso hospitalario por ningún motivo.
En febrero de 2013, 11 meses después del trasplante, la paciente acude a urgencias de su hospital de referencia por fiebre termometrada (hasta 39 ºC) de 3 días de evolución, con clínica de bacteriemia acompañante. Niega otra clínica respiratoria, urinaria o abdominal intercurrente. Refiere hiperglucemia (high en glucómetro domiciliario) mantenida los 4 días previos a su consulta en urgencias.
A su llegada a urgencias se objetiva presión arterial de 90/60 mmHg, 110 lpm, 37,9 ºC y saturación de oxígeno del 98% aire ambiente. Destaca mal estado general, con desorientación temporoespacial y deshidratación mucocutánea. Los tonos cardíacos son rítmicos, no se auscultan soplos ni extratonos y la paciente se encuentra eupneica en reposo, con el murmullo vesicular conservado y se auscultan discretos crepitantes bibasales. El abdomen es anodino, no hay signos de irritación peritoneal y no es doloroso, salvo por la presencia de discreta molestia a la palpación de injerto renal en fosa ilíaca derecha. No presenta focalidad neurológica.
Se realiza analítica general, que muestra: hemoglobina, 10,5 mg/dl; hematocrito, 32%, leucocitos, 16.940/l con desviación izquierda (95% neutrófilos), plaquetas, 179.000/l; sin alteraciones de la coagulación; glucemia, 715 mg/dl; creatinina, 5,34 mg/dl; urea, 151 mg/dl; GOT, 60 U/l; GPT, 40 U/l; amilasa, 13 U/l; sodio, 121 mmol/l; potasio, 5,04 mmol/l; cloro, 89 mmol/l; PCR, 418 mg/l. En el sedimento de orina se objetiva leucocituria (20 leucocitos/campo) y la gasometría venosa muestra acidosis metabólica con anión gap elevado. Se realiza también radiografía de tórax, sin alteraciones relevantes, y electrocardiograma, que muestra taquicardia sinusal con bloqueo de rama derecha del haz de Hiss ya conocido previamente. Se extraen hemo- y urocultivos.
Ante la sospecha de sepsis de origen urinario se inicia antibioterapia con ceftriaxona, hidratación intensiva y corrección de la glucemia y de la acidosis. Sin embargo, la evolución de la paciente es tórpida, y persisten cifras de presión arterial en el límite inferior de la normalidad, mal estado general, desorientación y oligoanuria mantenida. De esta manera, a las 24 h del ingreso se realiza ecografía abdominal urgente, en la que no se logra visualizar el injerto renal. Ante este hallazgo, asociando empeoramiento progresivo de la función renal y progresión a la anuria, con requerimiento de hemodiálisis, se realiza tomografía computarizada (TC) abdominal sin contraste. En ella se objetiva destrucción del parénquima del injerto renal que se manifiesta por la presencia de acúmulos moteados y lineales de gas, tanto a nivel intrarrenal como en el espacio perirrenal, sin condensaciones líquidas (fig. 1). Los hallazgos son compatibles con PE de injerto con destrucción y distorsión prácticamente completa de este (tipo I de la clasificación de Wang). A las 48 h del ingreso se obtiene el resultado de los aislamientos microbiológicos: en el urocultivo y en el hemocultivo se aisla E. coli resistente a amoxicilina, cefalotina y ácido nalidíxico, sensible al resto de antibióticos testados.
Figura 1. TC abdominal sin contraste, observándose la destrucción del parénquima del injerto renal con acúmulos de gas intrarrenal y en el espacio perirrenal.
Con el diagnóstico de sepsis secundaria a PE masiva del injerto por E. coli, se cambia tratamiento antibiótico a cefotaxima y se traslada a la paciente a nuestro centro (hospital de tercer nivel de referencia, en el cual se realizó el trasplante) para continuar el manejo.
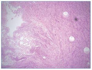
A su llegada a nuestro centro, la paciente es valorada conjuntamente por urología y nefrología, y se decide la realización de trasplantectomía urgente ante la escasa viabilidad del injerto y el estado hemodinámico de la paciente. Se realiza disección extraperitoneal hasta identificar cápsula renal, que se incide, obteniendo abundante aire y exudado purulento. Se procede a exéresis de parénquima renal, totalmente desestructurado, de aspecto gelatinoso y crepitante (fig. 2), ligando posteriormente el pedículo en bloque. La pieza quirúrgica es enviada a anatomía patológica en formol (fig. 3), donde se fija y se realizan cortes para su estudio histológico. En el estudio anatomopatológico se objetiva una pérdida total de la arquitectura renal habitual a expensas de necrosis masiva licuefactiva (fig. 4). Se realiza técnica de Gram, que muestra estructuras bacilares gramnegativas (fig. 5).
Figura 2. Explante renal que se observa completamente desestructurado con aspecto gelatinoso.
Figura 3. Secciones en formol de la pieza de transplantectomía.
Figura 4. Histología renal en la que se objetiva necrosis masiva licuefactiva.
Figura 5. Presencia de estructuras bacilares gramnegativas con la técnica de Gram.
La evolución de la paciente bajo tratamiento antibiótico con cefotaxima es correcta, y únicamente requiere soporte vasoactivo en el postoperatorio inmediato, que se puede retirar de manera precoz. Inicialmente permanece afebril, con recuperación progresiva del estado general, y se reinicia tratamiento sustitutivo renal mediante hemodiálisis, con buena tolerancia y adaptación. A los 11 días tras la cirugía presenta nuevamente fiebre, sin inestabilidad hemodinámica ni foco claro. Se realiza nueva TC abdominal, en la que se objetiva la presencia de una colección en el lecho quirúrgico, y se coloca un drenaje ecoguiado. En el cultivo del exudado se aisla E. coli con el mismo antibiograma que en uro- y hemocultivo. De esta manera se prolonga antibioterapia durante 1 mes y la paciente es dada de alta sin complicaciones posteriores.
DISCUSIÓN
La PE es una entidad poco frecuente en el trasplante renal. Es necesario, sin embargo, que sea conocida y sospechada por el clínico ante un paciente trasplantado renal con sepsis de origen urinario, especialmente cuando el paciente se halla afectado también de diabetes mellitus, dada la estrecha relación existente entre las 2 patologías. El diagnóstico exclusivamente radiológico, el gold standard es la TC1,2, permite el inicio de tratamiento intervencionista (drenaje percutáneo del gas y colecciones) precoz que, probablemente, sea la única herramienta disponible de cara a evitar la trasplantectomía. En ocasiones, como se demuestra en nuestro caso, la destrucción del parénquima es tal que el explante es la única opción viable.
De cara al tratamiento antibiótico a realizar previamente a la obtención de aislamientos microbiológicos, ha de ser dirigido fundamentalmente a bacterias gramnegativas, ajustado a las resistencias locales y a la política de cada centro hospitalario. Las opciones terapéuticas correctas son los aminoglucósidos, las penicilinas de amplio espectro y las quinolonas3.
La mortalidad global del proceso en pacientes portadores de injerto renal es de aproximadamente el 15%, según una recopilación de 20 casos clínicos publicados2. Entre estos 20 pacientes, se encuentran 3 (15%) con más de 2 factores de riesgo de mal pronóstico conocidos (trombocitopenia, deterioro de la función renal, shock y alteración del estado de conciencia), que son manejados de manera conservadora, médicamente y mediante drenaje percutáneo, presentando recuperación final. Por el contrario, a 9 (45%) de los 20 pacientes se les practica nefrectomía, estando dentro de este grupo los 3 (15%) que mueren en la fase aguda. Cuatro pacientes (20%) son tratados únicamente con antibioterapia, presentando todos únicamente 1 o ningún factor de mal pronóstico y recuperándose todos ellos. Todos los pacientes a los que se practica drenaje percutáneo del gas (7, 35%) sin necesidad de nefrectomía posterior presentan buena evolución, sin requerimiento de hemodiálisis crónica a posteriori.
En conclusión, la PE es una causa rara de sepsis en el paciente trasplantado renal que, sin embargo, pone en riesgo tanto la vida del paciente como la supervivencia del injerto. Son necesarios el inicio de antibioterapia empírica precoz y la realización de pruebas de imagen de manera urgente ante su sospecha, de cara a establecer una estrategia terapéutica que evite la trasplantectomía. La demora en el diagnóstico y la enfermedad avanzada condenan al paciente a la exéresis del injerto y al inicio de diálisis, como queda demostrado en nuestro caso clínico.
Conflictos de interés
Los autores declaran que no tienen conflictos de interés potenciales relacionados con los contenidos de este artículo.
Correspondencia:
Clara García Carro
Servicio de Nefrología. Hospital Vall d’Hebron.
Passeig Vall d’Hebron, 119-129.
08035 Barcelona.
clara.garcia@vhebron.net









