Sr. Director:
La enfermedad de Bechcet es un raro desorden inflamatorio de causa desconocida definido por la presencia de úlceras orales recidivantes junto con al menos dos de los siguientes: úlceras genitales, lesiones oculares, cutáneas, prueba de patergia positiva1. La afectación vascular en forma de trombosis venosas, arteriales y aneurismas (vasculo-Bechet) puede ser predominante y determinante de morbi-mortalidad2. En cuanto a la afectación renal está descrita en un tercio de los casos. En una serie de 159 pacientes, 69 era secundaria amiloidosis, 51 glomerulonefritis, 35 causa vascular y 4 nefritis intersticial3.
Los glucocorticoides son los fármacos empleados con mayor frecuencia en pacientes con afectación moderada-severa4,5, si bien hay evidencias sobre la utilidad de ciclosporina6,7, azatioprina8, ciclofosfamida5 y en los últimos años infliximab9.
Presentamos el caso de un paciente visto por primera vez en consulta de Nefrología en el año 2000, contaba con 47 años y estaba diagnosticado de enfermedad de Bechet en base a criterios clínicos con la presencia de úlceras orales y genitales y uveítis de repitición. Había presentado un episodio de trombosis venosa profunda. Era portador del VHC sin datos de replicación viral y con normalidad de pruebas de función hepática. Presentaba en ese momento una insuficiencia renal crónica con una creatinina plasmática de 2,3 mg/dl y un aclaramiento de creatinina de 37 ml/min con sedimento de orina normal y proteinuria negativa. Se puso en relación con un síndrome de nefritis-uveítis asociado a la enfermedad de Bechet. Recibió tratamiento con esteroides primero y posteriormente con ciclosporina ajustando la dosis para mantener niveles valle de 50-100 ng/ml. La función renal fue deteriorándose progresivamente y en mayo del 2007 fue preciso iniciar programa de hemodiálisis.
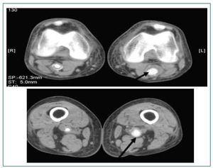
En ausencia de manifestaciones secundarias a la enfermedad de Bechet en los últimos años se optó por suspender la ciclosporina. En los meses siguientes presento lesiones cutáneas compatibles con eccema seborreico en cuero cabelludo y cara, disminución de agudeza visual en probable relación con nuevo brote de uveítis. Se había solicitado angioTAC de miembros inferiores previo a inclusión en lista de espera de trasplante renal en el que se apreciaba en la porción distal de la arteria femoral superficial una dilatación aneurismática hasta la arteria poplitea (fig. 1).
Tras inicio de hemodiálisis y suspensión del tratamiento inmunosupresor, el paciente desarrolló manifestaciones oculares, cutáneas y vasculares que condujeron a una cirugía y a plantearnos la reintroducción de tratamiento inmunosupresor optándose por la ciclosporina por no ser preocupante en estos momentos la nefrotoxicidad y permitirnos obviar los esteroides que podrían favorecer la replicación del VHC.
Es por tanto la enfermedad de Bechet un proceso multisistémico que requiere un equipo multidisciplinar en su manejo. Si bien no está claramente definido la duración del tratamiento dada la posibilidad de recurrencias que conllevan una alta morbilidad deberíamos de plantearnos una terapéutica indefinida con un período de inducción con fármacos más agresivos y un período de mantenimiento con cambio a fármacos con menos efectos secundarios.
Otro aspecto por definir es la evaluación pretrasplante, puesto que las manifestaciones vasculares tal y como ocurrió con el caso que presentamos pueden ser un hallazgo casual y afectar prácticamente a cualquier territorio vascular debería de hacerse una evaluación sistémica vascular incluso en pacientes asintomáticos.
Figura 1.






