Dear Editor:
We present a case of disease caused by anti-GBM Ab which, on treatment with plasmapheresis, presented a massive haematoma of the recti, a serious complication not previously described.
The case concerns a 57 year old female who attended hospital with lumbar pain, haematuria, febricula and flu-like syndrome which had been developing for two weeks. Creatinine of 3.5mg/d was notable, with normal history and sediment with haematuria and proteinuria. Ultrasound normal. Urgent anti-GBM Ab positive in the capacity of 1200 UI/ml with negative ANCA. Renal biopsy showed crescentic glomerulonephritis caused by anti- GBM Ab, with 85% epithelial halfmoons in the cellular phase.
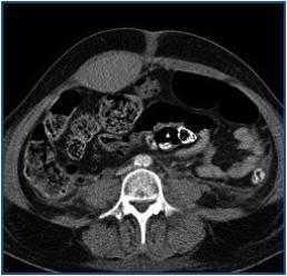
Treatment with methylprednisolone, cyclophosphamide and plasmapheresis (anticoagulation with citrate and replacement initially with albumin and later combined with plasma). Deterioration of renal function persisted with creatinine of 8.4mg/dL and oliguria. Haemodialysis without heparin was begun. After thirteen days the patient complained of pain in the hypogastrium and left iliac fossa following a coughing episode. An abdominal mass and anaemia of four points were apparent. An abdominal CT revealed a haematoma of the left anterior rectus sheath (figure 1). Three concentrates were transfused. A coagulation test including factors was normal except for an Ivy value of ten minutes. Three days later there was new pain in the right iliac fossa, with paralytic ileus and anaemia of three points. A CT revealed a haematoma in both anterior rectus muscles which extended towards the Retzius space and pelvis (figure 2). It pinpointed four concentrations of erythrocytes. The departments of surgery and interventional radiology consulted, deciding on conservative expectant treatment and associating antibiotics (clavulanic amocycillin) as well as parenteral nutrition.
After one week the ileus was resolved, but the patient began to experience sudden dyspnoea with the normal prescription. A scintigraphy confirmed a multiple pulmonary embolism. Treatment with a heparin pump was started with close monitoring. The haematoma and pulmonary embolism were resolved without consequence but the patient continued to be dependent on haemodialysis, with evidence of negative anti-GBM Ab from the fourth plasmapheresis.
Disease caused by anti-GBM Ab is a medical emergency that needs to be ruled out in rapidly progressing renal failure, using an anti-GBM Ab test. Early treatment based on corticosteroids, cyclophosphamide and plasmapheresis appears to play a significant role in the recuperation of renal function1-3. Possible complications2,3 are many. One complication is an alteration in coagulation, brought about by a loss of factors or the use of anticoagulants. However, a massive haematoma of the recti has not previously been described associated with plasmapheresis or disease caused by anti-GBM Ab.2,3 Plasmapheresis is a delicate technique which should be carried out by experienced professionals, and is gradually being included in the activities of nephrologists.4 Haematoma of the rectus sheaths is an uncommon process which can simulate intra-abdominal disease. The main predisposing factor is anticoagulation and a cough is the precipitating factor.5,6 Diagnosis is based on clinical suspicion and confirmed with a CT.5,6 Our patient, although showing normal coagulation, had received six plasmaphereses, and this raised for us the idea of citrate-induced coagulopathy, deficits in coagulation factors and uremic thrombopathy secondary to renal failure as possible causes.
Treatment for haematoma of the recti is initially conservative,5,6 surgery should be reserved for progression, infection of the haematoma or haemodynamic instability. Arteriography with selective embolisation can be considered. In the case in question, the haematoma of the recti was completely resolved in forty days, despite requiring anticoagulation for the massive pulmonary embolism, and the patient survived without consequences, now having undergone a successful transplant.
Figure 1.
Figure 2.







