Tumour necrosis factor-alpha (TNF-alpha) is a cytokine involved in kidney damage, which mediates glomerular inflammation and T cell-mediated tissue damage.1 Inhibition of TNF-alpha is an effective therapy for the treatment of autoimmune diseases, with a positive effect on antineutrophil cytoplasmic antibodies (ANCA)-associated vasculitis.
We present the case of a 54-year-old male, with Crohn's disease (CD) diagnosed in 2003, and undergoing chronic treatment with 40mg of subcutaneous adalimumab every 15 days since 2014. He subsequently developed inflammatory arthropathy, motor-sensory polyneuropathy and optic neuritis. The patient came to the Emergency Room because of fever which had lasted for more than one month, general malaise, asthenia and mild oedema in the lower limbs. By physical examination, he appeared to be in a good general condition, blood pressure of 135/60mmHg, a heart rate of 65 beats per minute, pitting oedema and signs of chronic venous insufficiency in the lower limbs. The rest of the physical examination was not relevant. The blood test obtained at the emergency room showed haemoglobin 9g/dl, haematocrit 27.1%, creatinine 3.6mg/dl (the previous measurement was 0.8mg/dl), C-reactive protein 7.9mg/dl, pH 7.40, bicarbonate 19.2mmol/l and pCO2 31mmHg. Positive ANCA (positive anti-PR3, negative anti-MPO) was detected in the delayed immunological study. The rest was normal. The urine test showed: sodium 74mmol/l, potassium 36mmol/l, osmolality 437mOsm/kg; systematic: proteins ++, blood +++ and sediment with more than 50 red blood cells per field, 10–15 leukocytes per field and granular casts. The quantification of proteins in 24-h urine was 1.2g/day. The chest X-ray showed parenchymal consolidation in the right hemithorax and left-sided pleural effusion. Hyperechogenic kidneys were found on the abdominal ultrasound, with no signs of pyelocalyceal dilation.
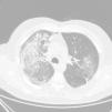
On the first day of admission, the patient presented with isolated bloody sputum, which, along with anaemia and parenchymal condensation, led to a suspected pulmonary haemorrhage, confirmed in a high-resolution chest CT scan (Fig. 1). In light of suspected pulmonary-renal syndrome, treatment was started for the pulmonary haemorrhage with 500-mg pulses of 6-methylprednisolone for two days and a kidney biopsy was performed which demonstrated the suspected pauci-immune extracapillary glomerulonephritis. Being positive for ANCAs, the dose of 6-methylprednisolone was increased to 1g, in two additional pulses, followed by 1mg/kg/day of oral prednisone. An intravenous pulse of 1.2g of cyclophosphamide was also administered. With these measures the patient had clinical improvement.. The bloody sputum remitted and he was discharged with a creatinine level of 3.2mg/dl. In our outpatient clinic, a regimen of 1mg/kg of oral prednisone, with another two pulses of 1.2g of cyclophosphamide per month was maintained. The patient presented with a creatinine level of 1.7mg/dl and negative ANCAs (anti-PR3) in the last blood test. To assess whether vasculitis was a side effect of adalimumab, levels were requested. These values were negative (the patient had already received a pulse of cyclophosphamide); the antibodies versus adalimumab were also negative.
We report the case of a patient with CD, undergoing chronic active treatment with an anti-TNF agent, whose condition became complicated years later with ANCA-positive vasculitis with pulmonary and renal involvement, which could be a de novo process or a side effect of the treatment with adalimumab.
Anti-TNF alpha agents have been studied extensively in recent years, and their positive effect in the treatment of ANCA-associated systemic vasculitis (infliximab and etanercept), based on the blocking of the TNF involved in kidney damage, has been demonstrated.2–4 The usefulness of adalimumab for the treatment of these vasculitides has recently been reported.5 However, these drugs are not devoid of side effects. In fact, cutaneous vasculitis6,7 and autoimmune diseases related to anti-TNF agents8,9 are frequently reported in the literature. Regarding adalimumab, Simms et al. reported the first case of ANCA-associated necrotising glomerulonephritis in a woman with rheumatoid arthritis treated with this drug.10 We report a case of vasculitis that developed in a patient with CD undergoing chronic treatment with adalimumab. It was difficult to discern if the vasculitis of our patient was de novo or, a side effect of the anti-TNF agent, thus a complication of treatment with adalimumab. Therefore it was decided to administer steroids and cyclophosphamide – the standard treatment for vasculitis. There was good clinical response, the ANCAs became negative and there was no data of activity on his CD.
In conclusion, the standard treatment with steroids and cyclophosphamide may be favourable to treat those cases of ANCA-positive vasculitis that may arise within autoimmune diseases treated with anti-TNF agents, in which there are reasonable doubts as to whether it is a de novo process or a side effect of the anti-TNF therapy.
Please cite this article as: Martín Varas C, Heras M, Saiz A, Coloma R, Calle L, Callejas R, et al. Vasculitis asociada a anticuerpo anticitoplasma de neutrófilo en paciente con enfermedad de Crohn en tratamiento con adalimumab. Nefrologia. 2017;37:560–561.






