La alogliptina forma parte de los inhibidores de la dipeptidil-peptidasa 4 (DPP4), usada en el tratamiento de la diabetes mellitus tipo 2. Como efectos secundarios se ha descrito pancreatitis aguda, así como reacciones de hipersensibilidad y reacciones alérgicas como rash o prurito. Sin embargo, apenas hay casos descritos de efectos adversos renales. Entre las reacciones adversas renales existen casos aislados de nefritis intersticial aguda asociada a inhibidores del DPP41,2.
Presentamos el caso de una paciente mujer de 57 años con antecedentes de diabetes mellitus tipo 2, en estudio en consulta externa de medicina interna por síndrome constitucional de mes y medio de evolución. Ingresa de forma urgente en nefrología tras detectar en una analítica realizada, previa a dicha consulta, cifras de creatinina de 5,1mg/dl. La paciente se encontraba asintomática en la esfera cardiovascular, hemodinámicamente estable con tendencia a la hipertensión arterial 160/80mmHg, frecuencia cardíaca 96lpm y normovolémica. En urgencias se confirma el deterioro de la función renal, con potasio 4,6mmol/l, sodio 138,6mmol/l, pH 7,27, bicarbonato 18,4mmol/l, pCO2 40mmHg y lactato 0,9mmol/l. Presentaba un sistemático y sedimento de orina normales, con proteinuria inferior a 0,3g/24h, lo que hacía pensar que la paciente presentaba daño tubulointersticial.
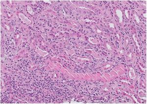
Se amplía el estudio de deterioro de la función renal (autoinmunidad, serología, complemento e inmunoglobulinas) resultando todo negativo, por lo que se programa biopsia renal, donde se confirman datos morfológicos compatibles con una nefropatía tubulointersticial aguda y necrosis tubular aguda (fig. 1). Con estos hallazgos se inician pulsos de 250mg de metilprednisolona durante 3 días y posteriormente prednisona oral a dosis de 1 mg/kg a dosis descendente. Tras descartar otras causas posibles de nefritis tubulointesticial, y revisando de forma exhaustiva su medicación habitual, se relaciona el comienzo de síntomas y el deterioro de la función renal a raíz de comenzar el tratamiento con alogliptina. Tras el inicio del tratamiento con corticoides y de suspender dicho fármaco la función renal mejora progresivamente, con cifras al alta hospitalaria de Cr 2,5mg/dl. Actualmente sigue controles ambulatorios en nuestra consulta; la función renal se mantiene a valores previos, con último control de creatinina de 1,2mg/dl (tabla 1). Este efecto adverso medicamentoso, según los criterios de causalidad de la OMS, lo catalogamos como probable, ya que tiene una razonable correlación temporal entre la clínica y la administración del fármaco, no se puede atribuir a otras causas o medicaciones y respondió de manera favorable a la suspensión del fármaco.
En el intersticio se identifica prominente infiltrado inflamatorio polimorfo, constituido por abundantes leucocitos polimorfonucleares, linfocitos, células plasmáticas y ocasionales eosinófilos con imágenes de tubulitis. Parénquima renal con datos morfológicos compatibles con una nefropatía intersticial aguda y necrosis tubular aguda con cambios regenerativos. Tinción PAS (ácido peryódico de Schiff), ×400.
Evolución de la función renal
| Mes | Creatinina (mg/dl) | Tratamiento |
| Diciembre 2022 | 0,60 | |
| Febrero 2023 | 1,2 | Alogliptina |
| Marzo 2023 | 1,8 | |
| Mayo 2023 | 5,1 | Se suspende alogliptinaMetilprednisolona 250mg IV |
| Junio 2023 | 1,9 | Prednisona 1 mg/kg VO |
| Julio 2023 | 1,5 | |
| Octubre 2023 | 1,2 |
La tabla muestra la evolución de la función renal del paciente y el tratamiento recibido cronológicamente.
En el caso de nuestra paciente la presentación clínica de la nefritis tubulointersticial no fue la clásica, ya que no presentó rash cutáneo, eosinofilia ni artralgias3–5. Por el contrario, nuestra paciente comenzó con un cuadro de insuficiencia renal rápidamente progresiva que se acompañó de pérdida de peso y astenia, siendo descartadas otras enfermedades y medicación reciente que podría haber desencadenado el cuadro, siendo lo más posible el inicio de la alogliptina como antidiabético oral el responsable de la nefritis tubulointersticial5,6.
Revisando la literatura hay muy pocos casos asociados a reacciones adversas con alogliptina descritos en relación con otros inhibidores de la DPP4, como la sitagliptina, entre otros. La evidencia respalda el inicio de tratamiento con corticoides cuando la función renal no mejora, a pesar de la retirada de la medicación y mientras se espera el resultado de la biopsia renal5–7. En nuestro caso, dada la severidad del fracaso renal, se decidió iniciar el tratamiento con corticoides de forma precoz8,9 tras la retirada de la alogliptina hasta confirmar el resultado con el informe de la biopsia renal. Gracias a ello la paciente experimentó franca mejoría clínica, así como de la función renal que volvió a sus valores previos.
Dado que es una reacción adversa apenas descrita, y son fármacos de uso común, consideramos que es importante resaltar la importancia de pensar en la implicación de estos fármacos en pacientes que presenten fracaso renal agudo en relación con nefritis tubulointersticial10.







