Sr. Director:
La disponibilidad de un acceso vascular es imprescindible para una adecuada hemodiálisis. Por ello, el acceso vascular constituye el talón de Aquiles de dicho tratamiento. Cuando los pacientes presentan agotamiento venoso, ya sea para la confección de una fístula arteriovenosa, una prótesis vascular o la colocación de un catéter tunelizado, se debe recurrir al cambio de la modalidad dialítica, si es posible, o en caso contrario han de considerarse vías de acceso venoso no convencionales1,2.
Comunicamos el caso de una paciente con enfermedad renal crónica (ERC) estadio VD con agotamiento de accesos en la cual se colocó un catéter tunelizado por vía transovárica.
CASO CLÍNICO
Paciente de 27 años de edad, sexo femenino, con ERC secundaria a hipoplasia renal diagnosticada a los 2 años de vida. A los 9 años de edad, con ERC en estadio VD, recibe un trasplante renal con donante vivo relacionado; presentó pérdida de la función del trasplante por rechazo crónico ocho años después, requiriendo entonces ingresar en un plan de hemodiálisis trisemanal. Presentó múltiples complicaciones por obstrucciones e infecciones de los accesos vasculares para hemodiálisis. Es derivada a nuestra institución diez años después por agotamiento de los accesos vasculares. Se realizó angiografía de los miembros superiores, inferiores y de la vena cava, y se evidenciaron trombosis de ambas venas yugulares, subclavias, tronco innominado, así como también de ambas venas femorales e ilíacas. Sin la posibilidad de un trasplante vivo relacionado, se decide ingresarla en plan de diálisis peritoneal e inscribirla en plan de urgencia para recibir un trasplante renal de donante cadavérico. Se coloca catéter para diálisis peritoneal, iniciando dicho tratamiento inmediatamente después con el uso de cicladora, y se logra una dosis de diálisis adecuada y con buena tolerancia.
Debido al estado vascular de la paciente, el riñón trasplantado requeriría una anastomosis vascular aorto-cava, llevando esto al abordaje peritoneal y perdiendo la posibilidad de continuar con la diálisis peritoneal en el período de posoperatorio del trasplante hasta la recuperación de la función. Se plantea entonces la necesidad de una vía de acceso convencional en el momento del trasplante.
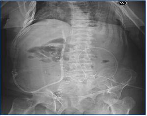
Cuando se dispuso del riñón cadavérico, en el acto quirúrgico, luego de realizado el trasplante, se colocó un catéter en la vena ovárica para realizar hemodiálisis. Se disecó la vena ovárica derecha (dilatada por la obstrucción de la vena ilíaca), se colocó un catéter tunelizado Quinton Permcath® Dual Lumen de 40 cm de longitud y 14,5 French de diámetro, se realizó una sutura de contención en ella y se lo hizo progresar hasta la vena cava inferior. Se constató por radioscopia la colocación y se realizó la tunelización subcutánea en pared abdominal (figura 1 y figura 2). El procedimiento fue bien tolerado. Se comenzó a anticoagular con heparina sódica 6 horas después de la cirugía. Cuarenta y ocho horas después del trasplante renal requirió su primer tratamiento dialítico, que se realizó por el catéter colocado con flujo de bomba de sangre óptimo sin presentar complicaciones, permitiendo realizar el tratamiento dialítico hasta la recuperación de la función del trasplante.
DISCUSIÓN Y CONCLUSIONES
No encontramos en la literatura informes del uso de esta vía de acceso para la colocación de catéteres para hemodiálisis. El uso de otras vías no convencionales1,2 para el abordaje de la vena cava tales como la vía transhepática3,4 o la vía traslumbar5 hubiera exigido en esta paciente un procedimiento previo al trasplante bajo control angiográfico y ecográfico para la punción y el abordaje vascular precisos. Esta paciente estaba realizando diálisis peritoneal sin complicaciones hasta el momento del trasplante. El uso de la vía por vena ovárica ofrecía la posibilidad de un abordaje rápido y accesible.
La vía transovárica puede ser considerada otra alternativa no convencional para el uso de catéteres en mujeres con agotamiento de accesos vasculares para hemodiálisis.
Conflictos de interés
Los autores declaran que no tienen conflictos de interés potenciales relacionados con los contenidos de este artículo.
Figura 2. Catéter tunelizado que emerge a nivel de la fosa ilíaca derecha.
Figura 1. Imagen radiológica que muestra el trayecto del catéter tunelizado, el cual ingresa en vena cava inferior a través de la vena ovárica.







