Describimos 2 pacientes de 72 años, que debutan con un síndrome pulmónriñón con clínica compatible con vasculitis sistémica ANCA+ pero con biopsia renal inespecífica. No obstante, pocos meses después (5 y 11, respectivamente) y ante una recidiva similar a la previa, pero con mayor afectación renal, se hizo en ambos una nueva biopsia renal que demostró una vasculitis renal pauciinmune tipo crescentic. Concluimos que las vasculitis sistémicas ANCA+ pueden tener lesiones renales iniciales inespecíficas y que para su diagnóstico definitivo es necesaria una segunda biopsia para confirmar la afectación renal y programar un adecuado tratamiento.
INTRODUCCIÓN
El diagnóstico de las vasculitis renales anticuerpos anticitoplasma de neutrófilo positivos (ANCA+) se basa en los datos de la biopsia renal, cuya realización se debe hacer en una fase precoz de la enfermedad1. No obstante, el diagnóstico mediante biopsia renal en este tipo de enfermedad tiene, al menos, 3 problemas: a) la insuficiente calidad de la muestra obtenida, que impide informar acerca del tipo y extensión de las lesiones renales; b) la afectación focal de las vasculitis, dado que no todos los glomérulos o vasos se afectan por igual, y c) la modificación del patrón histológico por los tratamientos inmunosupresores previos a la biopsia renal2-4. Por estos motivos, la biopsia renal en las vasculitis ANCA+ puede ser inespecífica y dar lugar a un enfoque diagnóstico confuso, al menos en estadios iniciales. Por tanto, la realización de una nueva biopsia renal se hace necesaria, dado que el pronóstico, tratamiento y evolución se basan en gran medida en un diagnóstico histológico de certeza5.
Se presentan 2 pacientes con cuadro sistémico sugerente de vasculitis ANCA+ con afectación renal, cuya primera biopsia renal fue inespecífica. En ambos, la realización de una segunda biopsia, indicada tras una mala evolución, confirmó definitivamente el diagnóstico, lo que permitió adecuar el tratamiento inmunosupresor.
CASOS CLÍNICOS
Caso 1
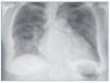
Mujer de 72 años, con antecedentes de estenosis mitral y fibrilación auricular tratada con acenocumarol. Ingresa en abril de 2012 por disnea progresiva, hemoptisis y edemas. En la exploración física se observa: presión arterial, 150/75 mmHg; auscultación cardíaca con tonos arrítmicos y soplo diastólico en foco mitral; crepitantes bibasales en la auscultación pulmonar; abdomen sin visceromegalias y edemas importantes en miembros inferiores. En la radiografía de tórax se evidencia índice cardiotorácico aumentado, con patrón alveolar bilateral y derrame pleural bilateral (fig. 1). Los datos analíticos muestran: hemoglobina, 8,7 g/dl, resto de hemograma normal; creatinina, 1,9 mg/dl; orina con cociente proteína/creatinina (pro/crea) en una muestra, 1,3 mg/mg, y sedimento con microhematuria. Los ANCA (patrón perinuclear) determinados por inmunofluorescencia indirecta fueron positivos a título 1/640, con ANA (anticuerpos antinucleares) negativos y complemento e inmunoglobulinas séricas normales. Los resultados de la broncoscopia y el lavado broncoalveolar son concluyentes de hemorragia pulmonar. A los 13 días de ingreso se hace biopsia renal percutánea, que contiene 10 glomérulos y muestra lesiones de nefroangiosclerosis, signos indirectos de isquemia glomerular y afectación tubulointersticial inespecífica de intensidad moderada, sin depósitos de material inmune en la inmunofluorescencia (fig. 2A y B). Unos días antes se había iniciado tratamiento con pulsos de esteroides (1 g × 3), prednisona oral 1 mg/kg/día, 1 pulso de ciclofosfamida 400 mg intravenosos (i.v.) y 7 sesiones de plasmaféresis, por sospecha de vasculitis con afectación pulmonar y renal. Ante los hallazgos de la biopsia renal, sin datos compatibles con ese diagnóstico de presunción, se modifica el tratamiento, manteniendo prednisona a dosis decrecientes, además de diuréticos, digoxina y enalapril. Posteriormente es controlada en consultas externas, donde se comprueba mejoría clínica y analítica con descenso de la creatinina sérica a 1,2 mg/dl, pro/crea, 0,3 mg/mg, y normalización del sedimento urinario, manteniendo títulos de ANCA positivos. Cinco meses más tarde reingresa por deterioro general y aumento de la disnea. Se comprueba aumento de creatinina a 3,4 mg/dl; pro/crea, 1,4 mg/mg; microhematuria intensa y ANCA persistentemente positivos. En la radiografía de tórax no se aprecian infiltrados pulmonares. Se hace una segunda biopsia renal, que contiene 14 glomérulos, donde se aprecian lesiones típicas de vasculitis renal tipo crescentic, con semilunas fibroepiteliales en 7 glomérulos, rotura de membranas basales en los capilares glomerulares, cilindros hemáticos en algunos túbulos y arteriolas con engrosamiento fibrointimal y oclusión de su luz por material fibrinoide organizado. En la inmunofluorescencia directa se aprecian depósitos focales de IgM y C3 en la cápsula de Bowman (fig. 2C y D). Con estos resultados se inicia tratamiento de inducción con pulsos de 6-metilprednisolona i.v. (500 mg × 3) y de ciclofosfamida (500 mg) asociados a prednisona oral (1 mg/kg/día). Tras completar pauta de inducción durante 6 meses con pulsos mensuales de ciclofosfamida y dosis decrecientes de prednisona, se comprueba mejoría de su situación clínica y analítica. A continuación inicia esquema de mantenimiento con micofenolato mofetilo a dosis medias de 1.500 mg/día, con excelente evolución, de tal manera que, 14 meses después de la segunda biopsia renal, la creatinina desciende a 2 mg/dl y el índice pro/crea, a 0,35 mg/mg, con normalización del sedimento urinario. Desgraciadamente, la paciente fallece a los 26 meses del primer ingreso, por complicaciones cardiopulmonares tras intervención de valvuloplastia, sin datos de actividad de vasculitis.
Figura 1. Caso 1. Radiografía de tórax con cardiomegalia, patrón alveolar y derrame pleural bilateral.
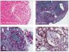
Figura 2. Caso 1. A) Primera biopsia renal. Glomérulo con ligera expansión mesangial sin semilunas. Hallazgos observados en la mayor parte de los glomérulos de la biopsia. HE ×20. B) Primera biopsia renal. Glomérulo con expansión mesangial y fibrosa de la cápsula sin proliferación extracapilar. Tricrómico de Masson ×40. C) Segunda biopsia renal. Glomérulo con semiluna epitelial circunferencial. Tricrómico de Masson ×23,2. D) Segunda biopsia renal. Glomérulo con semiluna epitelial y áreas de necrosis del penacho. Plata metenamina ×28,8.
Caso 2
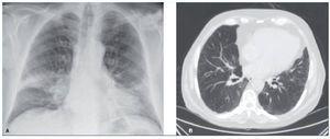
Varón de 72 años, con antecedentes de hipertensión arterial, insuficiencia mitral, fibrilación auricular tratada con acenocumarol y fibrosis pulmonar etiquetada de idiopática. Ingresa en marzo de 2012 por disnea progresiva y hemoptisis. La exploración física muestra: presión arterial, 180/90 mmHg; sin fiebre, y auscultación cardiopulmonar sin soplos y crepitantes bibasales. En la analítica se observa: hemoglobina, 12,8 g/dl, resto de hemograma normal; creatinina, 1,7 g/dl; pro/crea en una muestra de orina, 0,27 mg/mg, y sedimento con microhematuria moderada. En la radiografía de tórax y en la tomografía computarizada pulmonar se aprecian infiltrados alveolares parcheados bilaterales, sin cardiomegalia ni derrame pleural (fig. 3A y B). En los datos de estudio de autoinmunidad destaca la presencia de títulos de ANCA positivos a 1/640 (patrón citoplasmático, inmunofluorescencia indirecta) y título de anticuerpos anti-PR3 muy elevados (> 500). Los ANA, los valores de inmunoglobulinas y del complemento, negativos o normales. El estudio con lavado broncoalveolar demuestra la expulsión de secreciones hemáticas en el árbol bronquial. Inicia tratamiento con pulsos de 6-metilprednisolona (500 mg × 3) y 4 sesiones de plasmaféresis. En el sexto día de ingreso se hace biopsia renal percutánea, que contiene 12 glomérulos, cuyo estudio con microscopio óptico demuestra la presencia de varias lesiones trombóticas en venas de pequeño y mediano tamaño, nefroangiosclerosis y esclerosis segmentaria en algunos glomérulos con depósitos inespecíficos de IgM en la inmunofluorescencia (fig. 4A y B). Fue dado de alta con pauta descendente de prednisona y otras medidas conservadoras. La función renal mejoró parcialmente, con creatininas mantenidas de 1,5 mg/dl y negativización del título de los ANCA. Once meses después reingresa por nuevo episodio de hemoptisis y se comprueba aumento de creatinina sérica a 6,2 mg/dl, índice pro/crea de 0,4 mg/mg e intensa microhematuria. Se realiza nueva biopsia renal, que contiene 31 glomérulos, con lesiones compatibles con vasculitis renal pauciinmune tipo crescentic, con necrosis fibrinoide y rotura de capilares glomerulares, así como semilunas en 12 glomérulos. En la inmunofluorescencia solo tiene depósitos de IgM en las áreas de necrosis glomerular (fig. 4C y D). Tras ser tratado con pulsos de 6-metilprednisolona, prednisona oral y pulsos de ciclofosfamida se comprueban descenso de creatinina y mejoría de la analítica urinaria. Posteriormente se programa mantenimiento con micofenolato, con estabilización prolongada de la función renal, de tal manera que en la ultima revisión, 7 meses después de la segunda biopsia renal, la creatinina es 2,8 mg/dl, la proteinuria por cociente pro/crea, 0,1 mg/mg; sedimento normal, y negativización del título de ANCA.
Figura 3. Caso 2. A) Infiltrados alveolares parcheados con índice cardiotorácico, mediastino y ambos hilios normales. B) Patrón reticular alveolar con imagen en vidrio deslustrado con patrón centrolobulillar, sugerente de hemorragia alveolar.
Figura 4. Caso 2. A) Primera biopsia renal. Glomérulos con expansión mesangial, sin semilunas. HE ×20. B) Primera biopsia renal. Trombo organizado en la luz de la vena (zona inferior izquierda) y vaso arterial sin signos de vasculitis (zona superior derecha). Tricrómico de Masson ×12,8. C) Segunda biopsia renal. Semiluna epitelial circunferencial que ahoga el penacho con esclerosis casi completa del glomérulo. Tricrómico de Masson ×26,9. D) Segunda biopsia renal. Semiluna epitelial con áreas de solución de la continuidad de la membrana basal glomerular. Plata metenamina ×21,6.
Las 4 biopsias fueron realizadas mediante punción percutánea de forma ecodirigida en tiempo real con pistola automática (Bard® Monopty®) y tamaño de aguja de 16G.
DISCUSIÓN
La biopsia renal es el procedimiento gold standard para el diagnóstico de las enfermedades glomerulares y de cierto tipo de vasculitis asociadas a la presencia de ANCA1,4. Sin embargo, este procedimiento tiene varias limitaciones, tanto por su capacidad para demostrar lesiones renales como por las características de algunas enfermedades.
En primer lugar, las biopsias renales deben contener un número adecuado de glomérulos para poder emitir un diagnóstico fiable, ya que una muestra de tejido renal pequeña puede dar lugar a diagnósticos inadecuados o equivocados6. En general, se considera que se necesitan como mínimo 10 glomérulos para que la muestra sea representativa, aunque algunos autores recomiendan 20 o incluso un número mayor7. Para ello se recomienda usar agujas de punción con un diámetro de 14-16G, para evitar obtener cilindros delgados difíciles de manipular y procesar de cara a un diagnóstico fiable. Las agujas de menor diámetro (18G) suelen tener menos glomérulos y hacen difícil emitir un diagnóstico de certeza8,9. Todas estas consideraciones son igualmente válidas para las vasculitis renales ANCA+, dado que, según la clasificación de Berden et al10, las muestras deben contener al menos 10 ovillos glomerulares de cara a predecir la evolución a largo plazo. Los 2 pacientes de nuestro estudio reunían todos estos criterios, pues las primeras biopsias se hicieron mediante punción ecodirigida en tiempo real, con agujas adecuadas (16G) y fueron capaces de obtener un numero adecuado de glomérulos (10 y 12, respectivamente). No obstante, los diagnósticos histológicos fueron un tanto desconcertantes, lo que nos hizo reconsiderar el diagnóstico y el tratamiento de la enfermedad que padecían. Aunque ambos presentaban datos clínicos y analíticos compatibles con vasculitis sistémicas, tanto la afectación pulmonar como la renal se podrían explicar por otros motivos, pues ambos se encontraban en fibrilación auricular con insuficiencia cardíaca asociada. Ante esta discordancia entre la clínica y la histología, adoptamos una actitud expectante con revisiones frecuentes, sin insistir en tratamientos inmunosupresores que podrían conllevar efectos secundarios graves. De esta manera observamos que en poco tiempo (5 y 11 meses, respectivamente, tras el diagnóstico inicial), ambos pacientes desarrollaron un cuadro de vasculitis sistémica más evidente y la segunda biopsia renal ya demostró las lesiones típicas de vasculitis renal ANCA+.
Por otro lado, la afectación renal en las vasculitis es inicialmente focal, por lo que algunas zonas del parénquima renal pueden estar indemnes, al menos en estadios iniciales de la enfermedad. Por este motivo, al igual que ocurre en las glomeruloesclerosis y en la nefritis lúpica, la biopsia renal, aun siendo de calidad en cuanto a material extraído, puede ser inespecífica o mostrar datos indirectos de afectación vascular2,3. Nuestros pacientes son un ejemplo de ello, puesto que la biopsia renal se hizo en el primer brote, cuando posiblemente las lesiones de vasculitis eran focales y, por tanto, la biopsia renal fue incapaz de detectar los cambios a nivel glomerular y vascular. Así, en nuestro segundo caso las lesiones de trombosis capilar se podrían deber a la tendencia procoagulante observada en algunos tipos de vasculitis11.
Por tanto, una biopsia renal negativa no excluye la presencia de vasculitis renal pauciinmune4. Aunque no se indica claramente en la bibliografía revisada, la primera biopsia renal en las vasculitis renales ANCA+ puede ser inespecífica o dar lugar a diagnósticos confusos2,3, por lo que es necesario realizar una segunda biopsia para llegar a un diagnóstico seguro.
Finalmente, los tratamientos previos empleados en las enfermedades renales autoinmunes (entre las que se encuentran las vasculitis ANCA+) pueden enmascarar las lesiones glomerulares y vasculares características y dar lugar a diagnósticos equivocados o de difícil clasificación2,3. No obstante, en nuestros pacientes, el relativamente poco tiempo transcurrido desde el inicio del tratamiento y la realización de la biopsia renal así como los tratamientos empleados hacen difícil pensar que los cambios encontrados en la primera biopsia se pudieran explicar por estos motivos.
CONCLUSIONES
Concluimos que la biopsia renal en las vasculitis ANCA+ con afectación renal puede no ser diagnóstica en estadios iniciales de la enfermedad. Los hallazgos histológicos inespecíficos o indirectos pueden dar lugar a cierta confusión en el diagnóstico y tratamiento, por lo que puede ser necesaria una nueva biopsia renal para tener un diagnóstico de certeza.
Agradecimientos
A la Dra. Julia Blanco, por la ayuda en la supervisión de las biopsias renales.
Conflictos de interés
Los autores declaran que no tienen conflictos de interés potenciales relacionados con los contenidos de este artículo.
Autor para correspondencia:
 Francisco Rivera Hernández
Sección de Nefrología. Hospital General Universitario de Ciudad Real.
 Obispo Rafael Torija, s/n.
 13005 Ciudad Real.
friverahdez@senefro.org
 
										
				










