Sr. Director:
Los receptores de trasplante renal tienen un mayor riesgo de desarrollar tuberculosis, con una presentación frecuentemente atípica y extrapulmonar. Presentamos el caso de dos pacientes sometidos a trasplante renal con tuberculosis extrapulmonar en localización infrecuente.
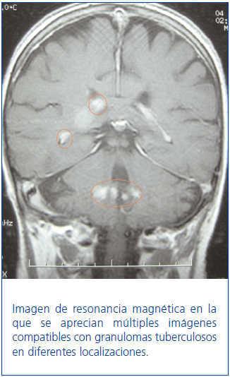
Mujer de 66 años, con insuficiencia renal crónica secundaria a poliquistosis hepatorrenal, que recibió un trasplante renal de cadáver y tratamiento con baxilisimab, esteroides, micofenolato mofetil y tacrolimus. Sufrió un rechazo agudo tipo IIb córtico-resistente que precisó tratamiento con OKT3. A los cuatro meses ingresó por fiebre, malestar general y astenia intensa. Fue diagnosticada de tuberculosis pulmonar sospechada por tomografía computarizada (TC) torácica y fibrobroncoscopia y confirmada por tinción de Ziehl-Neelsen y cultivo de Löwenstein. Se pautó tratamiento con rifampicina, isoniazida y piracinamida durante dos meses, y rifampicina e isoniazida cuatro meses más. A los 15 días reingresó por confusión, cefalea occipital y alteraciones visuales. En una resonancia cerebral se vieron múltiples nódulos hiperintensos en T2, con realce focal nodular, en áreas frontal derecha, subcortical, suprasilviana, occipital derecha y en pedúnculos cerebelosos, indicativos de infiltración granulomatosa secundaria a tuberculosis (figura 1). El tratamiento con isoniazida y rifampicina se amplió hasta nueve meses y consiguió la recuperación de la paciente.
Hombre de 41 años, diagnosticado de poliquistosis hepatorrenal, que recibió un trasplante renal de cadáver, con inmunosupresión con ciclosporina y esteroides. Sufrió un rechazo agudo intersticial grado IIb, tratado con tres bolos de 500 mg de 6-metilprednisolona. Tres y 9 años después del trasplante presentó dos episodios de disfonía, en ambos se observaron lesiones blanquecinas en los cartílagos aritenoides y la epiglotis. El diagnóstico anatomopatológico fue de laringitis crónica granulomatosa tipo tuberculoide (figura 2). La tinción de Ziehl-Neelsen y el Löwenstein fueron positivos. El enfermo recibió en ambas ocasiones tratamiento con isoniazida, rifampicina y pirazinamida durante dos meses e isoniazida y rifampicina hasta completar nueve meses.
La tuberculosis en receptores de órganos se considera una infección oportunista en la mayoría de casos, por reactivación de infección latente, con una incidencia de 20 a 70 veces mayor que en la población general. En Europa es del 0,07 al 1,7%, con una mortalidad del 20 al 30%1.
Aunque la inmunosupresión para el trasplante renal es menos intensa que para otros órganos, éste se asocia con mayor riesgo de tuberculosis, debido a que la función de las células T está particularmente alterada por la uremia y por la mayor exposición al contagio en las unidades de diálisis2.
El hecho de que en el 30% de los casos la enfermedad sea diseminada y el tratamiento antirrechazo favorecen que la infección se localice en sitios insospechados, lo que puede dificultar el diagnóstico y retrasar el tratamiento3.
El diagnóstico de la infección latente por el test de la tuberculina presenta muchos falsos negativos. La medida de la respuesta del interferón gamma a las células T estimuladas por los antígenos de M. tuberculosis (Quantiferon TB gold) puede ser más sensible que el anterior4.
Es conveniente tratar a los pacientes con tuberculosis latente antes de someterse al trasplante, con isoniazida a dosis de 300 mg/día durante nueve meses; del mismo modo, en el enfermo sometido recientemente a trasplante se recomienda profilaxis con isoniazida durante al menos seis meses ante la sospecha de infección pasada5.
El tratamiento de la infección activa no difiere del habitual, aunque hay que tener en cuenta que algunos fármacos deben ajustarse en presencia de insuficiencia renal y que otros alteran el citocromo P450, por lo que pueden interaccionar con inmunosupresores que emplean ese sistema enzimático, fundamentalmente anticalcineurínicos y anti- mTOR (mammalian target of rapamycin)5.
Nuestros pacientes presentaron una infección tuberculosa de localización poco frecuente, favorecida por la inmunosupresión propia del trasplante renal y el tratamiento del rechazo. El tratamiento fue eficaz para controlar la enfermedad.
Figura 1. Tuberculomas cerebrales.
Figura 2. Laringitis tuberculosa.






