El infarto renal es una patología poco frecuente que pasa inadvertida en muchas ocasiones por la inespecificidad de sus síntomas y sus datos analíticos1. Las causas más frecuentes son los fenómenos embólicos (por fibrilación auricular, tromboembolismo tras infarto agudo de miocardio o desprendimiento de una placa de ateroma)2, aunque también puede ser secundario a trombosis3 o disección de la arteria renal4. La clínica típica se caracteriza por cuadro de náuseas, vómitos y dolor abdominal incoercible, aunque puede transcurrir de manera asintomática5. Los aneurismas ventriculares son una complicación en el 30% de los infartos anteriores de miocardio y conllevan numerosas complicaciones, como taquicardias sostenidas ventriculares, embolismos arteriales o fallo cardíaco6,7.
Presentamos el caso de un paciente con un infarto renal secundario a un aneurisma ventricular por un infarto de miocardio antiguo.
Se trata de un paciente de 61 años que acude a Urgencias por dolor intenso en fosa renal derecha de 5 horas de evolución. Entre sus antecedentes personales destacan hipertensión arterial esencial, dislipemia e infarto agudo de miocardio en 1997 tratado con stent en coronaria derecha. Se encontraba en tratamiento con ácido acetilsalicílico, nitroglicerina, simvastatina y diltiazem. En la exploración física presentaba presión arterial de 143/94 mmHg, frecuencia cardíaca de 84 latidos por minuto y estaba afebril. Refería dolor en fosa renal derecha intenso, sin otras alteraciones.
En la analítica obtenida en Urgencias destacan los siguientes parámetros: hemoglobina, 13,5 g/dl; leucocitos, 14.300/μl; plaquetas, 201.000/μl; creatinina, 1,17 mg/dl (basal 1 mg/dl); urea, 42 mg/dl; sodio, 136 mmol/l; potasio, 3,8 mmol/l, alanina-aminotranferasa, 66 UI/l; aspartato-transaminasa, 97 UI/l; bilirrubina, 0,9 mg/dl, gammaglutamil-transferasa, 28 UI/l; fosfatasa alcalina, 43 UI/l; lactato-deshidrogenasa (LDH), 2124 UI/l; creatina-cinasa, 1210 UI/l: proteína C reactiva, 1,1 mg/dl. El sistemático de orina presentaba únicamente 5-10 leucocitos por campo.
En electrocardiograma realizado presenta ritmo sinusal con numerosas extrasístoles ventriculares y auriculares. Se realiza en Urgencias una ecografía abdominal en la que se concluye que presenta riñones sin alteraciones significativas y en la que no se evidencian alteraciones inflamatorias en fosa ilíaca derecha.
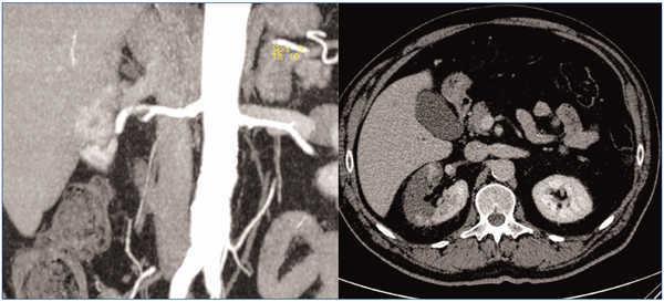
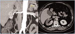
Ante el intenso dolor y la elevación de LDH, se decide solicitar una tomografía computarizada que evidencia un extenso infarto renal derecho con un defecto de repleción en la arteria renal principal, justo proximal a su trifurcación (figura 1).
Se decide ingresar al paciente e iniciar anticoagulación sistémica con heparina sódica.
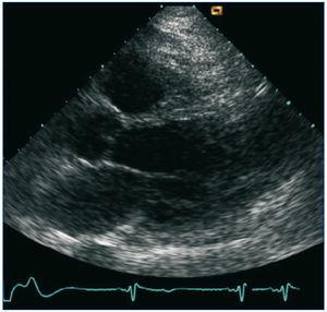
En el ecocardiograma realizado al día siguiente al ingreso se objetiva aquinesia de septoinferior, cara inferior y del tercio distal de todas las caras, con aneurisma de los tercios distales de caras anterior y lateral; fracción de eyección del ventrículo izquierdo 35%; insuficiencia mitral ligera-moderada; insuficiencia tricúspide ligera (figura 2). En el Holter se confirma la existencia de numerosas extrasístoles ventriculares.
Durante los días sucesivos, el paciente sufre un deterioro de la función renal hasta alcanzar 1,6 mg/dl, cifra en la que se estabiliza.
El interés del caso reside en que los efectos tromboembólicos tras un infarto cardíaco por un trombo ventricular izquierdo suele ser una complicación precoz (primeros cuatro meses)8, a diferencia del de nuestro paciente, que ocurrió 15 años después. Asimismo, en el 80% de los casos, los aneurismas ventriculares izquierdos obedecen a un infarto en la arteria coronaria descendente anterior9, situación diferente de la de nuestro paciente, quien tenía obstruida la coronaria derecha. En el momento actual se está valorando la implantación de un desfibrilador al paciente.
Conflictos de interés
Los autores declaran que no tienen conflictos de interés potenciales relacionados con los contenidos de este artículo.
Figura 1. Diferentes proyecciones del infarto renal derecho en la tomografía computarizada
Figura 2. Ecocardiograma en el que se observa aneurisma ventricular






