La púrpura de Schönlein-Henoch (PSH) es una vasculitis leucocitoclástica de pequeño vaso poco frecuente en adultos. La afectación pulmonar es extremadamente rara, con evolución clínica impredecible y altas tasas de mortalidad1,2.
Describimos el caso de un varón de 69 años con nefropatía IgA y hemorragia alveolar bilateral en contexto de PSH. Como antecedentes personales: hipertensión, fibrilación auricular, portador de prótesis mecánica en tratamiento con anticoagulación oral. El paciente ingresa por cuadro de fiebre, disnea, edemas, tos y expectoración. A su ingreso se observa deterioro de la función renal (Cr 1,67mg/dl; FG 41ml/min) y leucocitosis con desviación izquierda. Tras tratamiento diurético y antibiótico se produce una mejoría de la función renal (Cr 0,9mg/dl, FG 82ml/min) y descenso de la leucocitosis. Pocos días después, presenta nuevo deterioro de función renal (Cr 2,1mg/dl), anemia (Hb 7,5 g/dl) y lesiones purpúricas en extremidades inferiores. Las pruebas realizadas mostraron: albúmina, colesterol y lactato deshidrogenasa en rango normal, VSG 52mm, elemental y sedimento con proteínas+++, Hb++++, >100 hematíes/campo, proteinuria de 24 h 1.870mg; IgA de 437,00mg/dl, resto de inmunoglobulinas y complemento normales, anticuerpos antinucleares, anticitoplasma de neutrófilos, antimembrana basal glomerular y serologías virales negativas. Haptoglobinas< 25, frotis sin esquistocitos, coombs directo positivo. Ecografía urológica sin hallazgos patológicos.
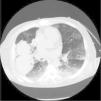
Ante sospecha de vasculitis, se inició tratamiento con 3 bolos de metilprednisolona de 500mg en días consecutivos y, posteriorment,e prednisona a 1mg/kg cada 24h. A las 72 h se produjo un cuadro de hemoptisis y anemización: se realizó radiografía de tórax y TAC torácica que mostraron hallazgos sugestivos de hemorragia alveolar bilateral y presencia de hematoma pulmonar intraparenquimatoso (figs. 1 y 2). Se inició tratamiento con bolos de 500mg/m2 de ciclofosfamida e inmunoglobulinas a 2 g/kg repartidas en 5dosis. Cinco días después apareció hemoptisis franca, anemización y gran trabajo respiratorio con traslado a UCI, donde se procedió a intubación orotraqueal y ventilación mecánica; el paciente precisó aspiración por sangrado masivo.
Durante su estancia en UCI se realizaron 6sesiones de plasmaféresis a días alternos, y se amntuvo el tratamiento con corticoides. En días posteriores hubo mejoría clínica y analítica: se extubó 13días después, con normalización de función renal sin nuevos episodios de sangrado. Finalmente se realizó biopsia renal en la que se objetivaron 15 glomérulos, 4esclerosados y el resto con presencia de lesiones segmentarias y difusas en forma de proliferación mesangial y endocapilar y lesiones necrosantes del ovillo. Intersticio con fibrosis ligera e infiltrado inflamatorio parcheado. Inmunofluorescencia positiva frente a IgA (++) mesangial granular, IgM (++) y C3 (++). Tras 3meses de ingreso, el paciente fue dado de alta en tratamiento mensual con inmunoglobulinas y pauta descendente de corticoides. Se aplaza la asociación de otros inmunosupresores hasta resolución de hematoma pulmonar por riesgo de sobreinfección.
En la última revisión en consulta, desde el punto de vista clínico no presenta disnea, se aprecia clara mejoría radiológica pulmonar y analítica: creatinina 1,2mg/dl, FG 61ml/min, orina con mínina hematuria microscópica (15-20 hematíes/campo) con cociente proteínas/creatinina en orina 238,6mg/g, sin anemia ni leucocitosis.
La PHS es una vasculitis leucocitoclástica que afecta a pequeños vasos y raramente a vasos de tamaño mediano. Su sintomatología se caracteriza por púrpura no trombocitopénica palpable (100% de casos), artralgias en extremidades inferiores (82%), afectación gastrointestinal (50-75%) y afectación renal (20-50%). Las afecciones musculoesqueléticas, neurológicas, pulmonares, cardíacas y oculares se han descrito con menor frecuencia1,2. La incidencia en adultos es del orden de 1,3 casos por 100.0003.
Los criterios diagnósticos EULAR/PRINTO/PRES (2008) para la PSH incluyen como criterio obligatorio la existencia de púrpura palpable no trombocitopénica de predominio en extremidades inferiores y, en caso de distribución atípica, con demostración de depósitos de IgA en la biopsia. Adicionalmente se exige al menos una de las siguientes características: dolor abdominal difuso, biopsia con depósitos de IgA, artritis o artralgia y afectación renal (hematuria o proteinuria)4.
La afectación renal cursa normalmente en forma de glomerulonefritis leve, con hematuria microscópica y proteinuria, mostrando la biopsia nefropatía IgA5,6.
La afectación pulmonar en la PSH es extremadamente rara e incluye, sobre todo, hemorragia o enfermedad intersticial. La hemorragia alveolar difusa, que puede presentarse de forma inmediata tras el diagnóstico de la PSH, o incluso varios años después, tiene evolución clínica impredecible y se asocia a altas tasas de mortalidad7,8.
Las radiografías de tórax suelen ser inespecíficas: se precisa tomografía computarizada para confirmar los hallazgos. La gravedad de la situación justifica el uso del tratamiento inmunosupresor intensivo9: es habitual un tratamiento combinado con glucocorticoides y ciclofosfamida, azatioprina, metotrexato o rituximab. También se ha constatado la plasmaféresis como opción terapéutica.
Las etiologías más frecuentes de coexistencia de hemorragia alveolar y glomerulonefritis son las vasculitis primarias asociadas a anticuerpos anticitoplasma de neutrófilos y la enfermedad por anticuerpo antimembrana basal glomerular. Aunque poco frecuente, debe tenerse en cuenta la PSH entre los diagnósticos diferenciales en paciente con hemorragia pulmonar y afectación renal.






