Sr. Director:
La asociación entre la nefropatía membranosa y la neoplasia de órgano sólido es bien conocida. En el caso del linfoma de Hodgkin (LH), el tipo histológico de afectación renal más frecuente es la glomerulonefritis de cambios mínimos seguida de la glomeruloesclerosis focal y segmentaria1. Describimos el caso de un paciente con glomerulonefritis membranosa (GM) que había sido diagnosticado cinco años antes de LH y que se encontraba en remisión completa.
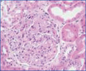
Se trata de un varón de 50 años sin antecedentes personales de interés, diagnosticado en octubre de 2005, mediante biopsia de conglomerado adenopático retroperitoneal, de LH de predominio linfocítico estadio IV con afectación de médula ósea. Recibió tratamiento con poliquimioterapia, ocho ciclos ABVD con respuesta parcial mayor, y radioterapia de consolidación sobre la masa retroperitoneal. En octubre de 2006 se constató mediante tomografía por emisión de positrones (PET)-tomografía axial computarizada (TAC) respuesta completa. El paciente permaneció asintomático hasta marzo de 2010, cuando presenta síndrome nefrótico clínico y bioquímico completo con proteinuria de 12 g/día y función renal normal. El perfil inmunológico fue negativo (anticuerpos antinucleares [ANA], anti-DNA, anticuerpos anticitoplasma de neutrófilos [ANCA] c y ANCA p, Ac anti-MBG, C3-C4, serologías virus hepatotrofos y virus de la inmunodeficiencia humana negativas, crioglobulinas negativas, inmunoglobulinas, EEF sangre y orina). La biopsia renal mostró 13 glomérulos con discreto aumento de matriz mesangial (Figura 1), sin alteración intersticial ni vascular, con inmunofluorescencia positiva para IgG con patrón granular y débilmente positiva para C3; el estudio con microscopía electrónica evidenció depósitos electrodensos subepiteliales, concordantes con GM estadio 1. Ante este diagnóstico, se descartaron causas secundarias de GM y recidiva de LH mediante estudios complementarios (TAC toraco-abdómino-pélvica, PET-TAC, biopsia de médula ósea). Tras iniciar tratamiento con clorambucil oral y esteroides durante 18 semanas, se alcanzó una remisión parcial (proteinuria 3,5 g/día en noviembre de 2010). Durante los tres meses siguientes recibió tratamiento con tacrolimus (4 mg/día) y prednisona en dosis bajas, alcanzando la remisión completa en febrero de 2011, que se mantiene tras la suspensión del tratamiento inmunosupresor. En la actualidad persiste la remisión completa del síndrome nefrótico, con función renal normal y sin datos de recidiva del LH 22 meses después.
Revisando la literatura encontramos más de 150 casos de glomerulonefritis asociadas a LH, si bien solo el 5 % de estas son GM2. En la mayoría de los pacientes la GM se manifiesta simultáneamente al LH o sus recidivas, aunque puede hacerlo incluso un año antes de que esta sea detectable3. En el caso que nos ocupa, el LH estaba inactivo en el momento del diagnóstico, a pesar de lo cual asumimos la existencia de una relación etiopatogénica entre el síndrome nefrótico GM y LH. Cervera et al. y Gómez-Campderá et al. describieron casos similares en los que la GM aparece 30 y 18 meses después de que el LH esté en remisión completa y sin evidencia de recidiva4.
La etiopatogenia de la asociación LH-GM no está bien definida, la alteración en el funcionamiento de los linfocitos T y la sobreexpresión de protooncogenes en el LH parecen jugar un papel importante en la formación de los inmunocomplejos. Estas alteraciones del sistema inmunitario persisten durante largo tiempo a pesar de la curación del LH1,5, lo que puede predisponer a estos pacientes a enfermedades mediadas por la alteración de los linfocitos T.
El tratamiento de la GM cuando se asocia a LH activo o recidiva de este se basa en poliquimioterapia de la enfermedad de base (ABVD o ABVD combinada con COPP), con una alta tasa de curación de ambos procesos, como afirman Lien et al. en su revisión sobre las glomerulopatías paraneoplásicas1. En nuestro caso, al tratarse de un LH en remisión completa, se trató con terapia convencional empleada en GM primaria, con buena respuesta y remisión completa del cuadro.
En resumen, la GM no solo se asocia a neoplasias de órgano sólido, también a enfermedades hematológicas, aunque no sea la forma de afectación renal más frecuente. La inmunidad de los pacientes que han padecido LH persiste alterada tiempo después de su curación. En todo paciente con antecedentes de LH y aparición de síndrome nefrótico debemos descartar una recidiva del LH. Esta situación va a condicionar el tratamiento y la evolución de la patología renal.
Agradecimiento
Expresamos nuestro agradecimiento al Prof. J. Forteza (Jefe del Departamento de Anatomía Patológica del Hospital Clínico Universitario de Santiago de Compostela) por el estudio de microscopía electrónica.
Conflictos de interés
Los autores declaran que no tienen conflictos de interés potenciales relacionados con los contenidos de este artículo.
Figura 1. Glomérulo con aumento de matriz mesangial.





