La criptococosis cutánea es una entidad muy poco habitual. Fue descrita inicialmente en 1928 por Buschke1, aunque el primero en hablar de la afectación a nivel del sistema nervioso central (SNC) fue Zenker2, en 1861. Frecuentemente la enfermedad se presenta en pacientes inmunocomprometidos, en los cuales es considerada como una infección oportunista3, siendo la afectación cutánea primaria sin afectación sistémica una forma de presentación muy rara4.
El criptococo en su variedad Neoformans es el hongo encapsulado más frecuente en humanos. Puede causar infección pulmonar, meníngea o cutánea5. Se conocen 3 especies: C. neoformansgatti, C. neoformans grubii, C. neoformans neoformans y 5 serotipos6. La variedad gatti es la que más se relaciona con individuos inmunocompetentes, y la neoformans, con inmunodeprimidos7. Su hábitat natural son las heces de palomas y otras aves, y el suelo contaminado por ellas8.
La infección se adquiere habitualmente por inhalación, inoculación directa o por lesión/herida cutánea9.
Describimos las lesiones cutáneas producidas por el criptococo neoformans en un paciente inmunocomprometido, con enfermedad renal crónica y en hemodiálisis periódica.
Caso clínico
Varón de 53 años, jubilado, que vive en área rural. Fue diagnosticado hace 10 años de enfermedad inflamatoria intestinal, que se controla únicamente con dosis altas de esteroides. Dos años antes había ingresado en Unidad de Vigilancia Intensiva por sepsis de origen intestinal con fracaso multiorgánico; desde entonces está en hemodiálisis periódica al no haber recuperación funcional. La biopsia renal mostraba nefropatía tubulointersticial.
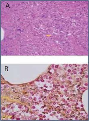
Desde un mes antes del ingreso presenta lesiones cutáneas, eritematosas, sobre zonas induradas, pruriginosas y dolorosas, en dorso del pie derecho y cara interna de los muslos, con mala respuesta al tratamiento antibiótico (iniciado de forma empírica por sospecha de celulitis), que fueron evolucionando hacia la descamación y posterior ulceración (figura 1). Se realizó biopsia cutánea que es informada como criptococosis (figura 2). Al examen directo con tinta china y tinción de Gram se observan abundantes levaduras esféricas, de gran tamaño, con gemación marcada y encapsuladas. El cultivo da hongo levaduriforme, ureasa positivo, compatible con criptococo neoformans, variedad neoformans. Criptolátex en suero positivo 1/2048. Se descartó afectación pulmonar y neurológica por tomografía axial computarizada y punción lumbar.
Iniciamos tratamiento con voriconazol 200 mg/12 horas, presentando al cabo de 10 días una llamativa alteración de los test hepáticos (bilirrubina total: 9,59 mg/dl; directa: 9,41 mg/dl; transaminasa glutámico-oxalacética [TGO] 176 U/l; transaminasa glutámico-pirúvica [TGP]: 226 U/l) que obligó a su sustitución por anfotericina B a dosis de 100 mg/día. Además de esto, se disminuyó la dosis de prednisona. Con ello, al cabo de 2 semanas presentaba una notable mejoría de las lesiones con casi total desaparición de las ulceraciones (figura 1) y normalización de los test hepáticos.
Discusión
Desde la descripción inicial de Buschke, se han publicado muy pocos casos de criptococosis cutánea3. Predomina en varones y en la edad avanzada. Se asocia frecuentemente con trasplante de órganos, tumores, virus de inmunodeficiencia humana y uso prolongado de esteroides10-12. Vogelaers, en 1997, describe un caso de lesión primaria en Bélgica, en un varón criador de palomas, que recibe terapia crónica con esteroides por una enfermedad pulmonar obstructiva crónica13. Se trata de un caso similar al de nuestro paciente, quien tiene una enfermedad inflamatoria intestinal que precisa de altas dosis de prednisona para su control, y vive en área rural, donde mantiene contacto próximo con diversa variedad de aves (gallinas).
El espectro clínico es muy variable; pueden encontrarse pápulas, nódulos, úlceras, abscesos y pústulas14, lo que puede hacer que se confunda con diferentes entidades, como en nuestro caso con una celulitis. Incluimos entre los diagnósticos diferenciales el pénfigo y el pioderma gangrenoso3 por su relación con la enfermedad inflamatoria intestinal. El diagnóstico se realiza mediante la identificación del hongo en el examen directo al microscopio, estudio histológico y cultivo microbiológico14.
Los azoles son el tratamiento de elección para pacientes con afectación pulmonar y pacientes inmunocompetentes sin afectación del SNC. La anfotericina B más flucitosina se utiliza para las formas más severas con afectación meníngea como terapia de inducción primaria, seguida de fluconazol como terapia de consolidación, según las guías IDSA15. A los pocos días de iniciar el tratamiento con voriconazol, presentó toxicidad hepática, motivo por el que cambiamos a anfotericina B, con lo que el paciente mejoró llamativamente en 2-3 semanas.
En conclusión, nuestro paciente presenta varios factores de riesgo de criptococosis: insuficiencia renal crónica, enfermedad inflamatoria intestinal, dosis altas de esteroides, además del riesgo epidemiológico de vivir en un área rural. Las lesiones remedaban una celulitis bacteriana, por lo que se precisó del estudio histológico y microbiológico del tejido para confirmar el diagnóstico.
El tratamiento específico deberá mantenerse por un período prolongado, no inferior a 6 meses15.
Conflictos de interés
Los autores declaran que no tienen conflictos de interés potenciales relacionados con los contenidos de este artículo.
Figura 1. Evolución de las lesiones
Figura 2. Biopsia cutánea






