Se presentan 4 pacientes con enfermedad renal crónica en terapia hemodialítica en quienes se habían agotado los accesos venosos clásicos (yugular interno, subclavio) y no clásicos (axilar e innominado) en el hemitórax superior para hemodiálisis, debido principalmente a trombosis de los mismos por cateterismos anteriores, y que no eran candidatos a diálisis peritoneal. En ellos, con la técnica recomendada por Archundia et al., se implantaron 4 catéteres permanentes directamente en la vena cava superior, con posterior tunelización subcutánea. Los catéteres funcionaron adecuadamente y están permeables actualmente después de un período de utilización promedio de 19 meses.
We report four patients with chronic kidney disease undergoing haemodialysis therapy, which had exhausted conventional venous access (internal jugular, subclavian) and non-conventional access (axillary, innominate) in the upper hemithorax for haemodialysis. This was primarily due to thrombosis of these veins caused by previous catheterisation. These patients did not qualify for peritoneal dialysis. Using the technique recommended by Archundia et al., four indwelling catheters were implanted directly in the superior vena cava in each of the patients with subsequent subcutaneous tunneling. The catheters operated correctly and are currently permeable after being used for an average of 19 months.
INTRODUCCIÓN
En pacientes con enfermedad renal crónica (ERC) en terapia hemodialítica, los accesos vasculares para poder practicar el procedimiento constituyen uno de los problemas mayores con los que se enfrentan a diario los nefrólogos. Las fístulas arteriovenosas (A-V) con vasos nativos o injertos son el acceso ideal, debido a su larga vida y baja tasa de complicaciones durante su utilización. En pacientes en los que no es posible practicar una fístula A-V, se requiere la implantación de catéteres venosos centrales, los cuales generan con mucha frecuencia trombosis de los vasos en los que se ubican, agotando los vasos clásicos (yugular interno, subclavio) y no clásicos (axilar e innominado) en el hemitórax superior.
Antes de proceder a utilizar los vasos infradiafragmáticos o en aquellos pacientes en los que no es posible su utilización, se cuenta con dos alternativas finales para implantar catéteres centrales: el acceso intracardíaco (aurícula derecha) y la punción directa de la vena cava superior. En este artículo presentamos la implantación de 4 catéteres para hemodiálisis en la vena cava superior utilizando un acceso paraesternal.
CASOS CLÍNICOS
Cuatro pacientes en quienes previamente se habían implantado catéteres en diversas venas supradiafragmáticas y en quienes se documentó, por medio de ecografía, trombosis de las venas yugular interna, subclavia, axilar e innominada, y que no eran candidatos para diálisis peritoneal o no la aceptaron, fueron seleccionados para la implantación de catéter en vena cava superior. Todos los pacientes dieron su consentimiento por escrito de aceptar la práctica del procedimiento. Fueron criterios de exclusión ser menor de 18 años, las alteraciones en las pruebas de coagulación (TTP y TP), la trombocitopenia (recuento plaquetario menor a 50.000 plaquetas) y la negativa a aceptar el procedimiento. Las características de los pacientes seleccionados y su evolución se exponen en la tabla 1.
La técnica quirúrgica utilizada fue: 1) preparación convencional para cirugía bajo anestesia general; 2) mediastinotomía anterior derecha, practicando incisión por el tercer espacio intercostal (en forma horizontal) hasta resecar la unión condroesternal; 3) ligadura de vasos mamarios; 4) aproximación a la vena cava superior en forma extrapleural; 5) construcción del túnel subcutáneo y tunelización del catéter en la pared torácica anterior, con orificio de salida del catéter hacia la línea media clavicular del quinto espacio intercostal; 6) bajo visión directa y previo punto en jareta con prolene 3-0, se punciona la vena cava superior y se introduce el catéter para hemodiálisis (tipo permanente), direccionando la punta del catéter hacia abajo y cerrándose la jareta; 7) se comprueba la permeabilidad de las luces y se heparinizan, y 8) cierre de mediastinotomía por planos.
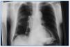
Este procedimiento se llevó a cabo con éxito en 4 pacientes, y se presentaron las siguientes complicaciones atribuibles al mismo: tres hemotórax, uno de ellos masivo, por lo que fue necesario practicar en cada uno de los pacientes toracotomía y tubo a tórax durante un promedio de 5 días; el paciente con hemotórax masivo requirió transfusión de 5 U de glóbulos rojos, mediastinostomía, ligadura de vasos sangrantes y toracotomía con tubo a tórax durante 7 días (figura 1 y figura 2).
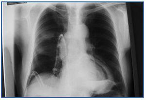
Posteriormente, los pacientes fueron llevados a hemodiálisis crónica por sus catéteres y evolucionaron satisfactoriamente, sin complicaciones atribuibles al mismo. Su último Kt/V promedio fue de 1,45 y un paciente completó 36 meses de utilizar su catéter (figura 3).
DISCUSIÓN
A medida que la población de pacientes con ERC en terapia hemodialítica envejece, se hace cada vez más difícil obtener un acceso de características satisfactorias para poder practicarles su terapia. Las fístulas A-V tienen la enorme ventaja de permitir múltiples punciones durante un período de largo tiempo, pero en un grupo de pacientes, principalmente diabéticos, resulta imposible practicarlas, al igual que la implantación de prótesis A-V. En este último grupo de pacientes, se hace necesaria la utilización de catéteres venosos centrales transitorios o permanentes, insertados a través de diversos sitios.
El abordaje de la vena yugular interna es el más comúnmente utilizado, debido a su fácil punción y la baja tasa de complicaciones1. La ruta subclavia no se recomienda, puesto que genera una alta tasa de estenosis y trombosis, las cuales impiden posteriormente la utilización de la extremidad superior correspondiente para la práctica de fístulas AV2. Las venas axilares e innominadas también pueden ser utilizadas para la implantación de catéteres centrales, pero se requiere personal médico familiarizado con su punción para poder acceder a ellas3,4. El abordaje infradiafragmático ofrece varias rutas: la femoral, de fácil acceso, pero con el inconveniente de una alta tasa de trombosis e infecciones5; por otro lado, las rutas transhepática y translumbar6,7 son técnicamente más difíciles. A nivel supradiafragmático, finalmente dos accesos permiten la implantación de catéteres: el intracardíaco y el paraesternal derecho; en cada uno de ellos se requiere la utilización de anestesia general y toracotomía anterior para acceder al área de punción. En el acceso intracardíaco se punciona la aurícula derecha, para posteriormente implantar el catéter permanente y ser tunelizado8.
El acceso paraesternal derecho fue descrito por primera vez en el año 2002 por Archundia et al.9, quienes lo practicaron en un paciente en el que se habían agotado todos sus accesos tanto supra como infradiafragmáticos. En esta notificación técnica se informó de 3 pacientes más, sin que se estableciera su evolución a largo plazo.
Resulta particularmente curiosa la ausencia de publicaciones que indiquen la utilización de esta ruta posterior a su primera parte.
En nuestro medio, cerca del 25% de los pacientes en terapia hemodialítica requieren la utilización de catéteres permanentes para hemodiálisis, lo cual nos ha obligado a emplear la gran mayoría de las rutas conocidas para su implantación tanto supra como infradiafragmática, incluyéndose catéteres femorales, ilíacos y translumbares. Los procedimientos percutáneos nombrados son practicados por nefrólogos, la mayoría con guía ecográfica; sólo para los translumbares utilizamos guía fluoroscópica o tomografía axial computarizada. Cuando se trata de catéteres como los que presentamos en el actual artículo, es necesario requerir la participación de cirujanos vasculares o de tórax, sin los que sería imposible su implantación, puesto que se requiere el conocimiento de la anatomía intratorácica y la habilidad propia de este grupo médico.
En nuestra experiencia, durante 36 meses ha sido posible lograr la implantación de 4 catéteres en la vena cava superior satisfactoriamente. Es importante resaltar que las complicaciones quirúrgicas son comunes, a pesar de la experiencia del grupo quirúrgico en cirugías de tórax. Nuestra recomendación al respecto es recurrir siempre a cirujanos experimentados y estar atentos a la aparición de complicaciones, para resolverlas rápidamente y evitar consecuencias funestas.
Figura 1. Paciente D en segundo día postquirurgico.
Figura 2. Radiografía PA de tórax paciente D.
Figura 3. Paciente con 36 meses postimplantacion del catéter.
Tabla 1. Características de los pacientes y su evolución








