In the last few years, rituximab has been used as a safe drug to treat ANCA positive vasculitis; however, its long-term effect is not well-known. We report the case of a 70-year-old man with Churg-Strauss syndrome with renal involvement undergoing haemodialysis. There was no response to prednisone and cyclophosphamide and as such, we administered rituximab. In the 5 year follow-up, we observed an excellent response. The patient recovered renal function without side effects.
To the Editor:
Churg-Strauss syndrome (CSS) is a necrotising vasculitis of medium and small vessels that affects the respiratory tract with asthma and eosinophilia.1 Renal involvement is rare, occurring in the form of pauci-immune necrotising glomerulonephritis.2 Prognosis without treatment is poor, but with immunosuppressants, the survival reaches 80%. In recent years the use of rituximab has spread to ANCA positive vasculitis resistant to conventional treatment, with encouraging results.3
CLINICAL OBSERVATION
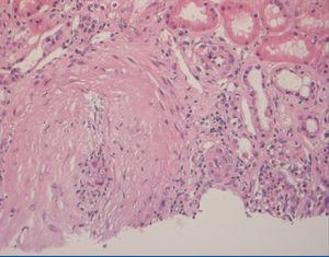
A 70-year-old male with a history of bronchial asthma was admitted due to pulmonary infiltrates, eosinophilia, and MPO-p-ANCA 1:160. The patient was diagnosed with CSS and he was started on 1mg/kg/day prednisone. After 20 days he showed deterioration in renal function, microhaematuria without proteinuria, high blood pressure and elevated p-ANCA 1:1320. A percutaneous renal biopsy was performed, and we observed glomeruli without significant abnormalities and a medium-sized artery with fibrinoid necrosis and transmural infiltration of neutrophils along with intense interstitial lymphoplasmacytic inflammatory infiltrate with abundant eosinophils (Figure 1). Using direct immunofluorescence (DIF) we detected IgG, IgM, C3, C4 and C1q vascular deposits.
In view of the active vasculitis data, treatment was started with three intravenous boluses of 1g of 6-methylprednisolone followed by 1mg/kg/day of oral prednisone and 2mg/kg/day of oral cyclophosphamide and began haemodialysis. After 15 days, we conducted a second renal biopsy, which displayed new vasculitic lesions (Figure 2). We carried out plasmapheresis, with four sessions being performed due to coagulation abnormalities. Cyclophosphamide was suspended due to thrombocytopoenia and leukopoenia. After the failure of previous therapeutic procedures, we decided to administer rituximab with an intravenous dose of 375mg/m2 per week for four weeks and a tapering steroid dosage. In the following three months, renal function improved, the p-ANCA became negative and eosinophils decreased, and dialysis was discontinued. Due to pulmonary involvement, 5mg/day of prednisone was maintained, and no further doses of rituximab were administered (Figure 3). After five years, there was remission of the disease. No infectious complications were present.
DISCUSSION
CSS is a rare disease included in the group of positive ANCA vasculitis characterised by peripheral eosinophilia, asthma, migratory pulmonary infiltrates, mono-polyneuropathy and necrotising vasculitis of small and medium-sized vessels.4 Renal involvement is rare and it is an unfavourable prognosis factor, and as such, immunosuppression should be assessed carefully.5 Before the use of steroids and cyclophosphamide, the mortality rate was 50%, with infections being the main cause of death.6 In vasculitis, we observed B lymphocytes involvement in the immune response, multiplying the expression of antigen-presenting and cytokine-producing cells.7 Rituximab is a chimeric murine monoclonal antibody that binds specifically to the CD20 membrane antigen expressed by B lymphocytes and its use results in their sustained depletion. For some years now, it has been used in non-lymphoma diseases with B lymphocytes abnormalities; it seems safe in the long term in positive ANCA vasculitis8-10 as a treatment for relapses with or without other immunosuppressants and has been shown to be as effective as cyclophosphamide and with far fewer side effects.11,12 The B lymphocytes depletion period is not well established and the doses used are 375mg/m2/week intravenously for four weeks, although some authors recommend an additional two doses per month. Prednisone is started at a dose of 1mg/kg/day (maximum 80mg daily) for a month with a progressive decrease in the next six months.13
CONCLUSIONS
We present this case due to the excellent response and because rituximab had no adverse effects in treatment-resistant CSS with renal involvement. There are increasingly more publications that indicate rituximab in cases of treatment-resistant ANCA-associated vasculitis, but more studies will be needed in order to find drugs with safer profiles and with less risk to the patient.
Conflicts of interest
The authors declare that they have no conflicts of interest related to the contents of this article.
Figure 1. First renal biopsy (H-E).
Figure 2. Second renal biopsy (H-E).
Figure 3. Treatment and progression.








