La encefalopatía posterior reversible es un síndrome clínico que se presenta como complicación neurológica de varios procesos médicos; se asocia frecuentemente a fallo renal. Se evaluaron siete casos clínicos que presentaron síndrome de encefalopatía posterior reversible (SEPR) como diagnóstico, y cuyo seguimiento realizó el Servicio de Nefrología. Se obtuvieron los datos de síntomas clínicos, como cefalea, hipertensión arterial, convulsiones, función renal y datos de neuroimagen, entre otros, del sistema informático SAP, y se valoraron la evolución y la reversibilidad de las lesiones en 7 pacientes con SEPR que presentaron deterioro de la función renal. Como prueba diagnóstica de imagen inicial se realizó una resonancia magnética nuclear cerebral (RMNC) en cuatro pacientes y una tomografía computarizada craneal en tres. En todos los casos se realizó una RMNC de control que mostró resolución significativa de las lesiones. El promedio de tiempo de recuperación fue de 14 a 21 días. Esta serie de casos reporta que un reconocimiento temprano y una sospecha clínica acertada de esta rara entidad llevan a una buena evolución si se realiza una intervención oportuna y precoz.
INTRODUCCIÓN
La encefalopatía posterior reversible (SEPR) es un síndrome clínico y radiológico descrito por primera vez en 19961, y hasta el momento se han publicado pocas series de casos.
El SEPR es una variante de la encefalopatía hipertensiva2, con la diferencia de que el primero puede ir acompañado de presión arterial (PA) dentro del rango de la normalidad. Se han asociado a su desarrollo3-5 algunas alteraciones clínico-biológicas como hipertensión arterial (HTA), enfermedades renales y autoinmunes, así como medicamentos inmunosupresores
La fisiopatología exacta del SEPR sigue siendo especulativa. Algunos investigadores postulan que la disfunción de la autorregulación del flujo sanguíneo cerebral a partir de la hipertensión causa una lesión endotelial con posterior edema vasogénico6, mientras que otros hablan de la vasoconstricción secundaria a la evolución de la hipertensión y la compensación de autorregulación que conduce a la reducción de la perfusión cerebral, isquemia y posterior edema vasogénico. Se han reportado casos de SEPR en pacientes normotensos2,7. La disfunción renal también puede predisponer al edema vasogénico debido a la uremia crónica o por sobrecarga de líquidos por estados clínicos de hiperhidratación, que se considera que contribuyen a la aparición de edema subcortical7-9.
La sospecha clínica, las pruebas de laboratorio y el uso de una adecuada prueba de imagen ayudan a establecer un diagnóstico de certeza.
El diagnóstico se realiza generalmente con los siguientes síntomas: cefalea, alteraciones visuales y convulsiones junto con la presencia de una imagen radiológica compatible habitualmente con edema a nivel de la sustancia blanca detectado en la resonancia magnética nuclear cerebral (RMNC). Este edema generalmente se localiza a nivel parietooccipital posterior y bilateral en los hemisferios cerebrales. En las series descritas en la bibliografía no se ha encontrado una correlación entre la clínica y los hallazgos radiológicos10.
El SEPR tiene algunas incongruencias, como que a pesar de denominarse posterior, las lesiones radiográficas no solo se limitan a la sustancia blanca parietooccipital, ya que a menudo afectan a la corteza, los lóbulos frontales, los ganglios basales y el tronco cerebral11,12. Además, aunque se considera una entidad reversible, se han descrito casos de irreversibilidad, por lo que es importante el diagnóstico y el inicio de tratamiento precoz, dado que puede presentar complicaciones como hemorragia intracraneal y/o accidente vascular isquémico13,14.
Presentamos siete casos de SEPR recopilados entre los años 2001 y 2012 en el Servicio de Nefrología de nuestro centro con el objetivo de sensibilizar y favorecer el reconocimiento de esta entidad clínica, así como su tratamiento.
CASO 1
Paciente mujer de 28 años de edad, con antecedentes de enfermedad renal crónica secundaria a glomerulonefritis membranoproliferativa tipo I en programa de diálisis peritoneal, HTA controlada con betabloqueantes y mieloma múltiple, por lo que se inició tratamiento con bortezomib y dexametasona.
La paciente, a los 9 días de haber iniciado el tratamiento con bortezomib, presentó una crisis tónico-clónica generalizada acompañada de cifras tensionales de 180/120 mmHg, sin cefalea previa ni fiebre. No se pudo realizar RMNC inicial por problemas logísticos, si bien en la tomografía computarizada (TC) craneal se objetivaron lesiones de bajo coeficiente de atenuación en la sustancia blanca parietooccipital izquierda de morfología digitiforme, compatibles con SEPR.
Inicialmente fue tratada con urapidil e hidralazina, sin haber conseguido con ello control de la PA, por lo que fue necesario iniciar tratamiento con bomba de infusión continua (BIC) de labetalol, asociada a hidralazina, amlodipino y doxazosina por vía oral. El control de las convulsiones se consiguió con BIC de clonazepam y fenitoína.
La RMNC realizada dos meses después de este evento informó de hiperintensidad periventricular leve difundida y mal definida, de predominio en el entorno de los cuernos occipitales de los ventrículos laterales, en probable relación con cambios residuales de SEPR.
CASO 2
Paciente mujer de 23 años de edad, sin historia de HTA, con antecedentes de lupus eritematoso sistémico y nefritis lúpica clase IV, que había presentado varios brotes durante su seguimiento clínico, por lo que recibió tratamiento con micofenolato mofetilo y rituximab, precisando de inicio de ciclos de ciclofosfamida intravenosa por un nuevo brote de la nefritis lúpica.
A las 24 horas de administración de la tercera dosis de ciclofosfamida intravenosa, presentó náuseas, vómitos, disminución del nivel de consciencia y una crisis tónico-clónica generalizada. Al examen físico destacaba nistagmo horizontal e hiperreflexia de las cuatro extremidades, PA de 150/102 mmHg y fiebre de 38 ºC. En la analítica destacaba leucocitosis de 16.800 con 85 % de neutrófilos, creatinina de 4,1 mg/dl y urea de 172 mg/dl. El examen del líquido cefalorraquídeo no mostró alteraciones. El electroencefalograma resultó normal. Se realizó una TC craneal, sin evidencia de lesiones agudas.
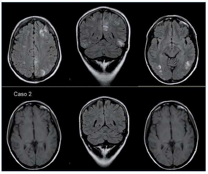
La RMNC mostró una extensa afectación de la sustancia blanca subcortical de la convexidad cerebral, temporal y occipital posterior, sugestiva de SEPR (figura 1 superior).
Figura 1. Superior: En las secuencias T2 y FLAIR se identifica una hiperintensidad cortical y subcortical periférica, de predominio en la convexidad frontal y parietal bilateral, pero también en los lóbulos frontales (de predominio izquierdo), temporal posterior izquierdo, polo occipital posterior derecho, así como en la sustancia blanca profunda (esplenio de cuerpo calloso). Ninguna de las lesiones presenta restricción de la difusión. Inferior: Resolución completa de las múltiples lesiones hiperintensas en FLAIR y secuencia potenciada en T2. No se observan lesiones en el parénquima cerebral, cerebeloso ni en el tronco encefálico. En la secuencia de difusión no se aprecian alteraciones de restricción de difusión.
Se inició tratamiento con amlodipino, betabloqueantes y doxazosina por vía oral para conseguir controlar la PA. Para las crisis epilépticas se inició la administración de fenitoína. Además, precisó del inicio de sesiones de hemodiálisis por hiperhidratación y deterioro de la función renal.
La RMNC de control a los dos meses mostró resolución completa de las lesiones de la sustancia blanca supratentoriales bihemisféricas visualizadas en el estudio previo, confirmando la sospecha clínica de SEPR (figura 1 inferior).
CASO 3
Paciente varón de 64 años, con antecedentes de neoplasia de vejiga tratada a los 59 años y mielodisplasia de bajo grado. Sin antecedentes de enfermedad renal previa ni HTA conocida. Sin tratamiento médico en el momento de la consulta.
Debutó con un cuadro clínico de cefalea, desorientación progresiva con desconexión del medio, crisis tónico-clónica generalizada acompañada de fiebre de hasta 39 ºC y crisis hipertensiva con PA de 200/120 mmHg. En la analítica presentaba deterioro de la función renal, con valores de creatinina de 3,6 mg/dl. En el estudio inmunológico solo destacaban anticuerpos antinucleares positivos (1/320) y biopsia renal compatible con microangiopatía trombótica.
Se realizó una RMNC, con visualización de alteración de señal en FLAIR en los territorios frontal, de la arteria cerebral media bilateral, en el área capsuloganglionar izquierda, ambos lóbulos occipitales, cuerpo calloso, protuberancia y ambos hemisferios cerebelosos, alteración de la difusión en la porción superior del cerebelo y ambos pedúnculos cerebelosos, compatible con SEPR.
Fue necesaria, para el control de la tensión, la administración de BIC de nitroglicerina y labetalol, además de amlodipino e hidralazina vía oral.
La RMNC de control realizada dos semanas después informó de la resolución significativa de las alteraciones en la sustancia blanca cerebral, cerebelosa y tronco compatibles con SEPR en vías de resolución.
CASO 4
Paciente varón de 16 años con antecedentes de lupus erite matoso sistémico y enfermedad renal crónica secundaria a nefritis lúpica clase IV, en tratamiento habitual con hidroxicloroquina sulfato y prednisona, con función renal con creatinina de 1,9 mg/dl (MDRD-4S 47 ml/min/1,73 m2), sin antecedentes de HTA.
Ingresó por síndrome nefrótico clínico y deterioro progresivo de la función renal, por lo que se inició tratamiento con bolos de ciclofosfamida; dos semanas después, coincidiendo con una transfusión de hematíes por anemización, presentó una crisis tónico-clónica generalizada de 2 minutos de duración, sin relajación de esfínteres, con cefalea acompañante y febrícula, con cifras de PA de 160/100 mmHg. En la analítica destacaba deterioro de la función renal, con creatinina de 5,1 mg/dl y acidosis metabólica. Se realizó una TC craneal, que informó de la presencia de múltiples pequeñas hipoatenuaciones córtico-subcorticales temporales posteriores bilaterales, frontal derecha córtico-subcortical y frontal izquierda parasagital sin efecto masa significativo. El fondo de ojo no presentaba evidencia de edema papilar y la punción lumbar mostraba evidencia de líquido cefalorraquídeo claro con bioquímica no compatible con infección y cultivo negativo. El electroencefalograma fue normal.
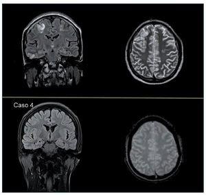
Se realizó una RMNC, que evidenció la presencia de múltiples lesiones, predominantemente de la sustancia blanca subcortical, yuxtacortical y algunas con afectación cortical de localización globalmente simétrica en ambos hemisferios cerebrales y cerebelosas sin restricción de la difusión, compatibles con fenómenos de desmielinización tipo SEPR (figura 2 superior).
Figura 2. Superior: Presencia de múltiples lesiones que afectan a la sustancia blanca subcortical y yuxtacortical y cierta afectación cortical. Se localizan en ambos hemisferios cerebrales, de forma globalmente simétrica, aunque hay áreas de mayor afectación unilateral. Hay lesiones bilaterales y simétricas en ambos hemisferios cerebelosos y a nivel temporobasal, aunque de predominio derecho; también hay afectación parietooccipital bilateral y frontal de predominio derecho, y hay lesiones bilaterales y simétricas en ambas caras mediales de los lóbulos parietales. Se observa una pequeña alteración focal de la señal a nivel profundo localizada en el margen posterior protuberancial a la altura del pedúnculo cerebeloso superior. Inferior: Práctica resolución de las sutiles lesiones hiperintensas córtico-subcorticales bihemisféricas bilaterales supratentoriales.
Se suspendió el tratamiento con los bolos de ciclofosfamida y el paciente inició sesiones de hemodiálisis. Para el control de las crisis tónico-clónicas precisó de BIC de ácido valproico, levetiracetam oral y midazolam de rescate. El control de la PA se consiguió con BIC de labetalol.
La RMNC de control a los 2 meses denotó la práctica resolución de las lesiones cerebrales (figura 2 inferior).
CASO 5
Mujer de 64 años con antecedentes de hepatopatía crónica con virus de hepatitis C (VHC) positivo en tratamiento con ribavirina e interferón hasta enero de 2013, y posteriormente con carga vírica indetectable y sin antecedentes de alteración de la función renal.
A los pocos días de finalizar el tratamiento del VHC consultó por cefalea intensa y cuadro confusional agudo con PA de 213/100 mmHg, con frecuencia cardíaca dentro del rango de la normalidad y sin fiebre. En la exploración física llamaba la atención la presencia de lesiones purpúricas en las extremidades inferiores e hiporreflexia generalizada. En la analítica destacaba pancitopenia, creatinina de 1,95 mg/dl, cociente proteína/creatinina en orina (Cro) de 1.160 mg/g, > 100 hematíes por campo en el sedimento (80-90 % de hematíes dismórficos) y crioglobulinas positivas e hipocomplementemia (C3 y C4).
Se realizó una biopsia renal, que evidenció glomerulonefritis crioglobulinémica asociada al VHC.
Por el cuadro neurológico de la paciente se realizaron una punción lumbar, que resultó no patológica, y una TC que informó de hipoatenuaciones parietooccipitales bilaterales y focales. Una semana después se completó el estudio con una RMNC, en la que destacaba un área hiperintensa en la región subcortical frontal izquierda, que no presentó restricción de la difusión compatible con SEPR.
Para el control de la PA se precisó urapidil intravenoso y posteriormente se pudo pasar a amlodipino, doxazosina, hidralazina, furosemida, espironolactona y bisoprolol. No precisó de técnica renal sustitutiva.
La RMNC de control tras 2 meses mostró marcada disminución de las áreas de hiperintensidad FLAIR/T2 en la sustancia blanca bilateral, reforzando el diagnóstico de SEPR.
CASO 6
Paciente varón de 66 años, VHC positivo que recibió tratamiento con interferón pegilado, HTA en tratamiento con alfa-bloqueantes y bloqueantes de los canales del calcio y enfermedad renal crónica por nefropatía IgA en programa de hemodiálisis.
Acudió a urgencias por un cuadro de dolor abdominal que se inició durante la sesión de hemodiálisis habitual asociado a náuseas, sin otra sintomatología acompañante.
A su llegada se encontraba hipertenso, con PA sistólica superior a 200 mmHg. En la analítica destacaban 15.000 leucocitos con neutrofilia, elevación de amilasas y lipasas, alanina-aminotransferasa de 796 UI/l, bilirrubina de 1,6 mg/dl e ionograma correcto. Se realizó una TC abdominal, que resultó compatible con pancreatitis aguda grado D sin signos radiológicos de necrosis parenquimatosa. Se pautó tratamiento analgésico.
Durante su estancia en urgencias presentó dos episodios de crisis tónico-clónica generalizada sin signos de focalidad clara, pero con agitación posterior importante, que requirió la administración de benzodiacepinas y posteriormente de fenitoína intravenosa.
Se realizó una TC craneal urgente, que informó de un área de hipodensidad occipital bilateral con disminución de los surcos a ese nivel, orientada como probable SEPR, que se confirmó mediante RMNC realizada 15 días después de este evento. Dicha resonancia magnética informó de afectación a nivel de la sustancia blanca yuxtasubcortical biparietooccipital, sin restricción de la difusión ni efecto masa, compatible con SEPR en fase de resolución.
Se realizó un electroencefalograma, que resultó normal.
Asimismo, se continuó con las sesiones de hemodiálisis para ajuste del peso seco. Por otra parte, fue necesario mantener tratamiento antihipertensivo con antagonistas del calcio, doxazosina y betabloqueantes para controlar la PA.
CASO 7
Mujer de 52 años, con antecedentes de asma, enfermedad renal crónica de etiología no filiada, con cifras de creatinina habituales de 2,5 mg/dl y cuadro de infecciones urinarias de repetición.
Presentó convulsiones tónico-clónicas generalizadas y disminución del nivel de consciencia. Asimismo, presentó cefalea y mutismo en los días previos al ingreso.
A su llegada a nuestro centro la paciente estaba con PA de 110/60 mmHg, sin fiebre y con una exploración física sin nada que destacar. La analítica denotó deterioro de la función renal con creatinina de 17 mg/dl, urea 251 mg/dl e hiperpotasemia de 7,3 mmol/l. La ecografía renovesical mostró signos de pielonefritis obstructiva.
Se realizó una TC craneal, que no demostró imágenes patológicas. Tras una semana, se realizó una RMNC que informó de afectación de la sustancia blanca de ambos hemisferios, que podría corresponder a edema vasogénico secundario a SEPR.
Para el control de las convulsiones se requirió inicio de valproato, y se precisó de intubación orotraqueal. Además, fue necesario comenzar sesiones de hemodiálisis por anuria y deterioro de la función renal. La RMNC realizada al cabo de un mes mostró la resolución casi completa de las lesiones.
DISCUSIÓN Y CONCLUSIÓN
Hemos identificado siete episodios de SEPR, tres varones y cuatro mujeres, con edades de entre 16 y 64 años. Entre los antecedentes patológicos se describieron lupus eritematoso sistémico (2/7), HTA (2/7), glomerulonefritis membranoproliferativa (1/7), mieloma múltiple (1/7), hepatitis crónica por VHC (2/7) y enfermedad renal previa (5/7), uno de ellos en diálisis peritoneal y otro en hemodiálisis. Con respecto a los tratamientos inmunosupresores, dos estaban en tratamiento con ciclofosfamida, uno con bortezomib, dos con interferón y uno de ellos con ribavirina.
Los signos presentes en todos los pacientes de nuestro estudio fueron: deterioro de la función renal en todos, elevación de la PA en seis de ellos, crisis tónico-clónicas en seis, cefalea en cuatro casos y fiebre en tres pacientes (tabla 1).
Como prueba diagnóstica de imagen inicial se realizó una RMNC en cuatro pacientes y TC craneal en tres. En estos últimos tres no se pudo realizar RMNC inicial, a pesar de la sospecha clínica, por problemas logísticos. Como prueba complementaria se realizó punción lumbar en cuatro casos y electroencefalograma en tres, resultando todos ellos no patológicos.
Seis de los pacientes recibieron inicialmente al menos cuatro fármacos para el control de la TA, entre ellos betabloqueantes, antagonistas de los canales del calcio, alfabloqueantes y nitratos. Cinco pacientes precisaron de técnica renal sustitutiva y tres de ellos, inicio de hemodiálisis. Para las crisis convulsivas se utilizó fenitoína, clonazepam, valproato y levetiracetam. Ninguno de los pacientes ha presentado recurrencia de las crisis convulsivas.
En todos los casos, posteriormente al episodio, se realizó una RMNC que mostró la resolución significativa de las lesiones, incluso en aquellos en los que solo se contaba inicialmente con imágenes de TC compatibles con SEPR.
Todos los pacientes mostraron una mejoría clínica y radiológica documentada. La sospecha clínica favoreció el diagnóstico precoz de los casos presentados.
El SEPR es un síndrome diagnosticado cada vez con más frecuencia debido a las técnicas de neuroimagen.
En las series de SEPR presentadas en la literatura desde 1996 a 2013 los artículos de MEDLINE más relevantes, en cuanto al número de pacientes reclutados, han sido realizados mayoritariamente por los servicios de neurología y radiología. En estos, las manifestaciones clínicas presentadas con más frecuencia son cefalea, alteraciones del nivel de consciencia, trastornos visuales y convulsiones. En la mayor parte de las series se ven afectadas más mujeres que varones. Se presenta en todas las edades. Las comorbilidades son variadas. Se relaciona con varias condiciones médicas como encefalopatía hipertensiva, enfermedad renal aguda o crónica, púrpura trombótica trombocitopénica, síndrome hemolítico urémico, eclampsia, vasculitis, lupus eritematoso sistémico, crioglobulinemia, terapia inmunosupresora e inmunomoduladora, fármacos quimioterápicos, porfiria, trastornos electrolíticos, transfusiones de sangre y exposición a contraste, entre otras3-5,16-18 (tabla 2).
La mayoría de los pacientes tenían hipertensión previa, si bien en los casos presentados uno era normotenso. También en la literatura médica se han descrito casos de SEPR en pacientes con cifras de PA dentro del rango de la normalidad. En todos los casos fue necesaria una prueba de imagen adecuada para el diagnóstico, además de clínica compatible. El promedio de tiempo de recuperación de la clínica fue bastante variable, entre 14 y 21 días.
Los trastornos hipertensivos, la enfermedad renal y las terapias inmunosupresoras son factores de riesgo para presentar SEPR. Además, son situaciones frecuentes para un nefrólogo, por lo que consideramos esencial tener en cuenta esta entidad y establecer un alto grado de sospecha clínica, de cara a evitar casos de irreversibilidad, instaurando un tratamiento oportuno y precoz.
Conflictos de interés
Los autores declaran que no tienen conflictos de interés potenciales relacionados con los contenidos de este ar tículo.
Correspondencia: Lourdes Carolina Vázquez Jiménez
Servicio de Nefrología.
Hospital Universitari Germans Trias i Pujol.
Carretera de Canyet, s/n. 08916, Badalona, Barcelona.
nefrología.py@outlook.com; carolina.vazquezj@hotmail.com








