Hombre de 35 años, en hemodiálisis desde 2001 por nefritis lúpica y síndrome antifosfolípido por los que recibió elevadas dosis de inmunosupresión y anticoagulación. En 2006 se introduce mofetil micofenolato por lupus permanentemente activo y efectos secundarios esteroideos (erupción acneiforme monomorfa desde 2003 y fracturas osteoporóticas múltiples). Se indica suspensión de prednisona a pesar de lo cual el paciente mantiene ingesta subrepticia. Dos años después presenta lesiones abdominales, ulcerosas abscesificadas, sanguinolentas y dolorosas, que evolucionan favorablemente con ácido fucsídico y drenaje. A los pocos meses reaparecen dichas lesiones en el miembro inferior derecho con la misma evolución. En diciembre de 2009 presenta nuevas lesiones violáceas, fluctuantes y con esfacelos en glúteos y miembros inferiores, muy dolorosas, a la vez que es diagnosticado de carcinoma escamoso renal con metástasis retroperitoneales. Se realiza biopsia de las mismas, informando de una dermatitis abscesificada con foliculitis activa, ulceración cutánea e hipodermitis, compatible todo ello con pioderma gangrenoso (PG).
El PG es una rara entidad caracterizada por pústulas eritematosas únicas o múltiples que progresan rápidamente a úlceras necróticas, pudiendo alcanzar los 30 cm de diámetro. Su tratamiento es el de la enfermedad de base y terapia inmunosupresora. Se ha asociado con enfermedades autoinmunes-vasculíticas, neoplásicas e infecciosas. Nuestro paciente reunía varias condiciones a las que atribuirse. Lo curioso es que se presentó inicialmente en el contexto de lupus-SAF, evolucionando bien con inmunosupresión, y reapareció posteriormente aun con terapia inmunosupresora reforzada, como síndrome paraneoplásico. El servicio de oncología desestimó terapia curativa, por lo que se replanteó el tratamiento inmunosupresor. Se optó por la calidad de vida del paciente, actitud consensuada con la familia, por lo que se mantuvo la inmnosupresión con micofenolato a bajas dosis, aun a riesgo de acelerar el proceso neoplásico y se reforzó localmente con tacrolimus, corticoides y ácido fucsídico. El PG evolucionó favorablemente, pero el paciente falleció 8 meses después por su patología tumoral.
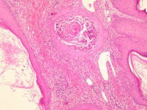
Figura 1. Proceso inflamatorio abscesificado de predominio neutrofílico centrado en el folículo pilosebáceo, con destrucción parcelar de éste y extensión a la dermis anexa.
Figura 2. A. Ampolla hemorrágica. B. Úlcera, tejido de granulación y zonas grises de reepitelización.






