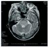
Dear Editor, The first description of myelinolysis dates from 1959. Since then, little progress has been made in determining its definitive cause, although we know the risk factors or the processes from which it arises. The most commonly reported form occurs in relation with rapid correction of hyponatraemia.1 It has also been described in alcoholism, liver transplant, and more rarely, following haemodialysis sessions not always related with changes in natraemia.2-4 In the latter, imbalance syndrome is much more common. However, there are circumstances that may cover both processes, especially during infancy.3 The clinical profile is characterised by an unexplained drop in level of consciousness, inability to look up, motor deficit in all four limbs, pseudobulbar syndrome, etc. In the proper clinical context, an MRI showing several indicative findings, especially at the protuberance,5,6 is an aid to diagnosis. The definitive diagnosis is by anatomical pathology. The course of the syndrome may be fatal even when it spares sensitivity and level of consciousness (locked-in syndrome), and treatment is purely conservative. Our 82-year old female patient, on haemodialysis throughout the past six months due to chronic renal failure (CRF) secondary to amyloidosis, was admitted for heart failure. She underwent an emergency dialysis session with 2500 ultrafiltration, and 24 hours later, a second ultrafiltration of 2000 given the scarce clinical and radiological signs of improvement. The patient, who initially presented a stable neurological state, began to show a strange clinical profile when finishing the second session of acute dialysis. It consisted of a low, fluctuating level of consciousness, absence of language ability, fixed gaze looking forward and loss of strength in the right arm and both legs. Specialised examination pointed to a dialysis imbalance process. Pre- and post-haemodialysis Na levels did not show significant abnormalities (136 to 132mEq/l), and neither were the changes in other parameters (urea, etc) outside of the normal range. We performed a cranial TC which detected an old thalamic lacunar infarct and cortico subcortical atrophy. The MRI showed significant hyperintensity throughout the protuberance and in the pontinemesencephalic union without diffusion restriction, which was therefore unrelated to ischaemia. Central pontine myelinolysis was then diagnosed. In the supratentorial area, she presented a significant hyperintensity in the periventricular white substance and an old lacunar infarct (Figure 1). Clinical progress was satisfactory after considering a regime of repeated short, daily haemodialysis sessions, and the condition resolved in six days. Obviously, considering the patient’s age and underlying condition, a sure diagnosis would be difficult to determine. However, we must underscore how unusual this acute neurological process was, following a year on dialysis, with no obvious changes in osmolarity, etc. However, it would seem that it could be related to aggressive dialysis sessions in a senile patient who may have been subjected to excessive ultrafiltration. The recovery time for the process, as well as the MR image, mean that we must consider a process of myelinosis.
Figure 1. Craneal magnetic resonance image.






