Varón de 72 años de edad, con antecedentes personales de hipertensión arterial, diabetes mellitus tipo 2, infarto agudo de miocardio, hiperparatiroidismo secundario, insuficiencia renal crónica estadio 5, en programa de hemodiálisis periódica secundaria a nefropatía isquémica, tras la implantación de prótesis endovascular por aneurisma de aorta abdominal. Su tratamiento incluía hierro sacarosa1 100 mg/semana, darbepoetina alfa, ranitidina, clopidogrel, ácido acetilsalicílico, bisoprolol, paricalcitol y atorvastatina.
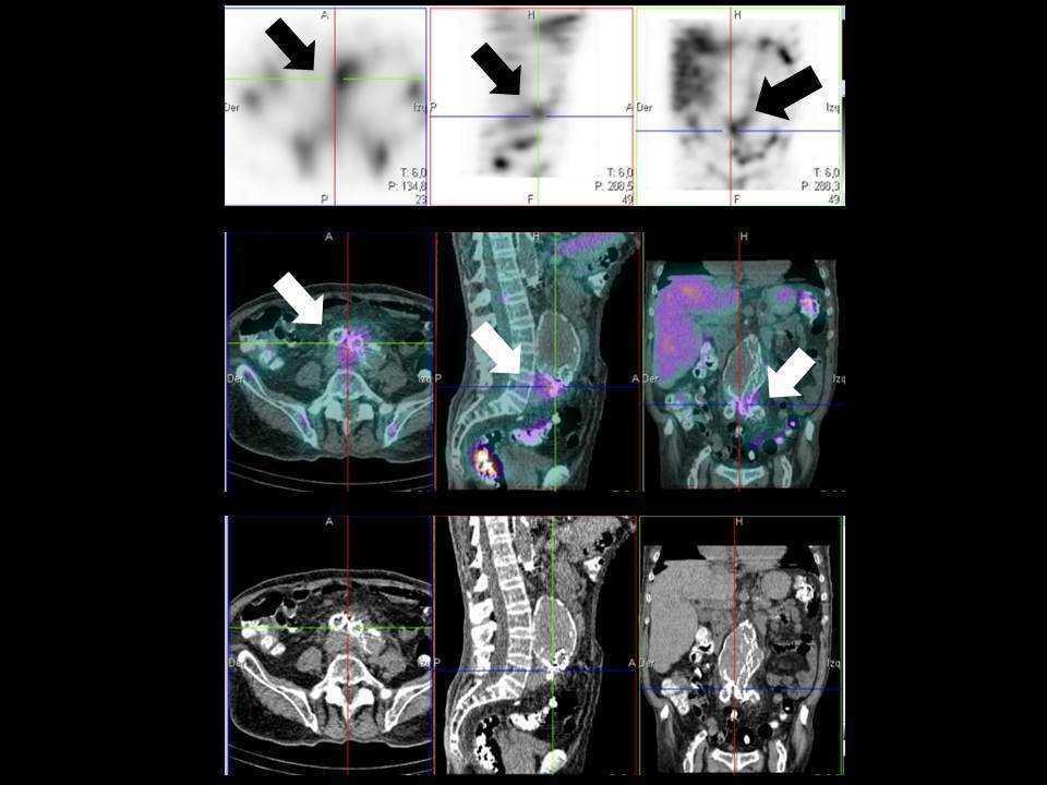
El paciente acudió a Urgencias, procediéndose a su ingreso, por fiebre de 39 °C y dolor abdominal continuo localizado en región periumbilical e hipogastrio. El control analítico mostró urea 94 mg/dl, creatinina 7,73 mg/dl, proteína C reactiva 29,60 mg/dl, procalcitonina 0,895 ng/ml; hemograma: hemoglobina 10,8 g/dl, leucocitos 14 300/uL (neutrófilos 86 %, linfocitos 18 %) y plaquetas 181 000/uL. La tomografía computarizada de emisión monofotónica (SPECT/TAC) de abdomen con Ga67-citrato (figura 1) puso de manifiesto la presencia de un proceso infeccioso localizado en la endoprótesis aorto-ilíaca2. En los hemocultivos se aisló Listeria monocytogenes. Se inició tratamiento con ampicilina, amikacina y vancomicina durante seis semanas3. El paciente mejoró, con desaparición de la fiebre y del dolor abdominal, normalización de los parámetros inflamatorios y negativización de los hemocultivos. Se repitió la SPECT/TAC de abdomen con Ga67-citrato a las tres semanas, con desaparición del depósito patológico abdominal.
Los pacientes en tratamiento renal sustitutivo son más susceptibles a las infecciones. La incidencia de infección por Listeria monocytogenes se cifra en 0,29 casos/100 000 habitantes. Las infecciones sistémicas por Listeria suelen presentarse en personas con varios factores de riesgo de infección simultáneos. En nuestro caso, el paciente era mayor de 65 años, tenía antecedentes de diabetes mellitus, enfermedad renal crónica terminal y recibía tratamiento con hierro1. Las infecciones por Listeria monocytogenes descritas en personas en hemodiálisis suelen cursar clínicamente como septicemia, endocarditis, pericarditis o infección del acceso vascular protésico2. El tratamiento de las infecciones de prótesis por Listeria incluye antibióticos o tratamiento quirúrgico, pero no existe consenso sobre la mejor actitud terapéutica que se ha de tomar. Nosotros optamos por el tratamiento antibiótico prolongado y se descartó la cirugía, dado el elevado riesgo de morbimortalidad del paciente3.
En resumen, a pesar de la baja incidencia descrita de listeriosis, es una infección muy agresiva en pacientes inmunodeprimidos. Por tanto, los nefrólogos debemos incluirla en el diagnóstico diferencial de pacientes con bacteriemia y tratamiento renal sustitutivo, especialmente si presentan varios factores de riesgo simultáneos. Dada su elevadísima morbimortalidad, es preciso un diagnóstico temprano y de certeza, que en nuestro caso nos proporcionó el SPECT/TAC de abdomen con Ga67-citrato complementado con los hemocultivos, con vistas a instaurar un tratamiento precoz.
Conflictos de interés
Los autores declaran que no tienen conflictos de interés potenciales relacionados con los contenidos de este artículo.
Figura 1.





