INTRODUCCIÓN
Es poco frecuente encontrar una afectación renal que sea clínicamente evidente en pacientes con sarcoidosis; sin embargo, se han descrito una gran variedad de lesiones renales. Las más frecuentes son las derivadas del trastorno del metabolismo del calcio, incluyendo hipercalcemia o hipercalciuria, que predisponen a nefrocalcinosis, nefrolitiasis y alteraciones tubulares renales1,2. La infiltración granulomatosa del intersticio normalmente es clínicamente silente y rara vez se presenta como fracaso renal agudo2. Excepcionalmente, distintas enfermedades glomerulares se han descrito asociadas a sarcoidosis; la glomerulonefritis membranosa es la más prevalente3.
Presentamos un caso de sarcoidosis diagnosticado tras debutar con hipercalcemia y fracaso renal agudo (FRA).
CASO CLÍNICO
Mujer de 32 años, de raza blanca y origen ucraniano, que como único antecedente refería el diagnóstico reciente de hidrosalpinge bilateral. No seguía ningún tipo de tratamiento. Consulta por astenia, anorexia, pérdida de peso y amenorrea de dos meses de evolución. En la exploración física presentaba signos de deshidratación de piel y mucosas, hipertensión arterial (180/115 mmHg), febrícula vespertina y pequeñas adenopatías inguinales bilaterales.
En la analítica destacaba: creatinina 4 mg/dl, urea 128 mg/dl, aclaramiento de creatinina 13,3 ml/min/1,73 m2, calcio total 14,4 mg/dl, albúmina 3,8 g/dl, hipergammaglobulinemia policlonal, hormona paratiroidea (PTH) 3 pg/ml, vitamina D 336 pmol/l (normal 28-110). El perfil hepático, lipídico y los complementos fueron normales. El estudio inmunológico y la serología para el virus de la inmunodeficiencia humana (VIH) y virus hepáticos resultaron negativos. En la orina se detectó proteinuria de 900 mg/24 h, hipercalciuria de 500 mg/24 h y 25 leucocitos por campo en el sedimento (tabla 1). La ecografía mostró unos riñones de tamaño normal, con mayor ecogenicidad cortical y hepatoesplenomegalia. En la radiografía torácica se observó infiltrado pulmonar micronodular difuso bilateral, de predominio en campos superiores y medios. Mediante tomografía axial computarizada (TAC) se objetivaron adenopatías mediastínicas de tamaño significativo, además de una gran profusión de nódulos pulmonares.
Un test de tuberculina fue positivo. La espirometría reveló un defecto ventilatorio restrictivo moderado y la capacidad de difusión alvéolo-capilar del monóxido de carbono se encontró disminuida.
Hubo captación difusa de galio-67 en ambos parénquimas pulmonares de moderada intensidad. El examen de la vía aérea por fibrobroncoscopia puso de manifiesto una mucosa bronquial con signos inflamatorios, las carinas estaban engrosadas, y las luces bronquiales, reducidas. En el líquido del lavado broncoalveolar se observó linfocitosis (20%, siendo normal 7 ± 2%), con predominio de CD4 sobre CD8 con un ratio de 3,2. Los cultivos repetidos de sangre, orina, esputo inducido y broncoaspirado empleando medios de cultivo estándar para hongos, lowenstein y tinción con auramina resultaron negativos.
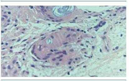
El estudio de la muestra obtenida por biopsia bronquial reveló la presencia de granulomas epitelioides no necrotizantes, con células gigantes multinucleadas que contenían frecuentes cuerpos de Schaumann (figura 1).
La biopsia de una de las adenopatías inguinales mostró igualmente inflamación granulomatosa no necrotizante de tipo sarcoideo. En ambas muestras histológicas, la tinción con Zhiel, PAS (del inglés, periodic acid-Schiff) y plata metenamina, así como el análisis por PCR (reacción en cadena de la polimerasa) para micobacterias, fueron negativos. Los niveles de la enzima convertidora de angiotensina (ECA) estaban ligeramente elevados: 56,7 U/l (normal 8-55).
La paciente recibió sueroterapia intravenosa abundante, y después, tras mejorar el estado de hidratación, se asoció furosemida, con lo que la calcemia descendió y quedó estabilizada en 10 mg/dl a las dos semanas de ingreso. De forma paralela, mejoró también la función renal, la creatinina sérica alcanzó los 2 mg/dl y se mantuvo estable.
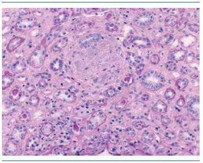
Dada la persistencia de la insuficiencia renal tras la corrección de los niveles de calcio, se realizó biopsia renal. El cilindro contenía 11 glomérulos que no mostraban alteraciones ópticas, el intersticio presentaba un leve infiltrado inflamatorio y granulomas epitelioides aislados, en los que tampoco se detectaron microorganismos con técnicas especiales (figura 2). Escasos focos de atrofia tubular. No se evidenciaron depósitos cálcicos. Von Kosa fue negativo. El estudio de inmunofluorescencia para IgG, IgA, IgM, C3 y fibrinógeno fue negativo tanto en glomérulos como en túbulos. Se hizo el diagnóstico anatomopatológico de nefritis intersticial granulomatosa (NIG), compatible con sarcoidosis.
Con la demostración histológica de granulomas sarcoideos en distintos tejidos, junto a manifestaciones clínicas y exploraciones complementarias concordantes, y tras haber excluido otras enfermedades granulomatosas, se hizo el diagnóstico de sarcoidosis con afectación pulmonar, linfática, hepatoesplénica, renal y complicada, además con hipercalcemia. La paciente inició tratamiento con prednisona a 1 mg/kg/día, que se redujo progresivamente al cabo de tres meses hasta completar un año.
Teniendo en cuenta que el test de la tuberculina fue positivo en una paciente que precisaba tratamiento esteroideo, se realizó quimioprofilaxis secundaria de enfermedad tuberculosa con isoniacida a 5 mg/kg/día durante seis meses. La función renal mejoró lentamente y a los 4 meses la creatinina era de 1 mg/dl, con aclaramiento de 50 ml/min/1,73 m2 (figura 3). También se observó mejoría del infiltrado pulmonar, del patrón ventilatorio y de la difusión del monóxido de carbono.
A los 19 meses del diagnóstico, la paciente permanece asintomática y con función renal estable.
DISCUSIÓN
La sarcoidosis es una enfermedad multisistémica de causa desconocida, caracterizada por la formación de granulomas epitelioides no caseificantes en múltiples órganos. Aunque se asocia con una gran variabilidad clínica, la afectación pulmonar y adenopática es muy frecuente; se presentan alteraciones en la radiografía torácica hasta en el 90% de los pacientes.
La afectación renal, en cambio, es poco frecuente. El trastorno del metabolismo del calcio es la principal causa de fracaso renal, y se ha relacionado con la síntesis extrarrenal de calcitriol. Los macrófagos que constituyen los granulomas tienen actividad 1α-hidroxilasa y, con ello, capacidad para convertir la 25-hidroxivitamina D en calcitriol, lo que conlleva un aumento en la absorción intestinal de calcio4-7. El exceso de calcio se eliminará por la orina, dando lugar a hipercalciuria, presente en el 60% de los pacientes con sarcoidosis, y en algunos casos a hipercalcemia (20%). Aunque son muchos los pacientes que permanecen asintomáticos, tanto la hipercalcemia como la hipercalciuria predisponen a nefrolitiasis, nefrocalcinosis, diabetes insípida nefrogénica, acidosis tubular y FRA por vasoconstricción renal4. El trastorno del metabolismo del calcio no es exclusivo de la sarcoidosis. Se observa a menudo en otras enfermedades granulomatosas y en procesos infecciosos crónicos, incluyendo tuberculosis, candidiasis e histoplasmosis5.
La presencia de granulomas epitelioides en el intersticio renal no suele tener repercusión clínica. Sin embargo, en ocasiones se manifiesta con fracaso renal y alteraciones urinarias inespecíficas, generalmente proteinuria leve y leucocituria, casi siempre en el contexto de enfermedad multiorgánica2.
Es necesario señalar que la NIG no es patognomónica de sarcoidosis; puede observarse en reacciones a drogas, infecciones por micobacterias y hongos, y en la granulomatosis de Wegener. En nuestra paciente, dado el infiltrado pulmonar micronodular sugestivo de tuberculosis miliar o de infección fúngica, junto a la presencia de febrícula y otros síntomas sistémicos y test de tuberculina positivo, una de las principales sospechas clínicas fue la enfermedad tuberculosa o bien micótica, que quedaron adecuadamente descartadas con el estudio microbiológico repetido de diversas muestras biológicas, incluyendo los tejidos biopsiados.
En nuestro caso, coinciden distintas formas de afectación renal. Por una parte, la mejoría del filtrado glomerular, junto con los niveles de calcio, sugieren la existencia de vasoconstricción renal por hipercalcemia como causa, al menos en parte, del FRA. Mientras que la NIG explicaría el deterioro de la función renal que permanece tras lograr la normocalcemia.
El tratamiento de elección, tanto para la hipercalcemia como para la NIG asociada a sarcoidosis, son los esteroides, que actúan inhibiendo la 1α-hidroxilasa y, con ello, la síntesis de calcitriol con reducción de la absorción intestinal de calcio. La hipercalcemia suele corregirse en pocos días con la administración de prednisona en dosis de 10 a 30 mg/día2,4,6,7. Sin embargo, para la NIG se requieren dosis más altas, de 0,5 -1,5 mg/kg/día, con descenso progresivo a partir del segundo mes y un periodo más prolongado de tratamiento, que no debe ser inferior a nueve meses, dado el riesgo de recidivas2. Para optimizar el tratamiento, es de gran utilidad la realización de una biopsia renal en aquellos pacientes con sarcoidosis que presenten datos de afectación renal, dada la gran variedad de lesiones que pueden hallarse.
Tabla 1. Estudio analítico inicial
Figura 1. Sarcoidosis. Biopsia bronquial. Granulomas epitelioides no necrotizantes y células gigantes multinucleadas, con cuerpos de Schaumann.
Figura 2. Sarcoidosis. Nefritis intersticial granulomatosa. Presencia en medular de granuloma epiteliode no necrotizante
Figura 3.








