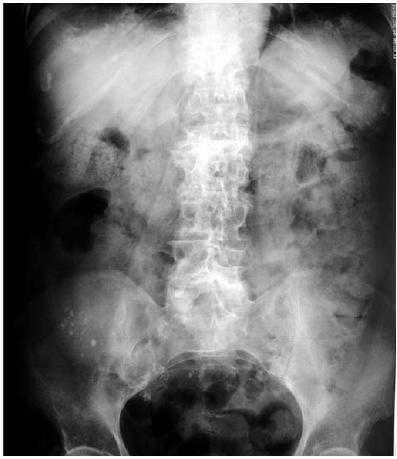
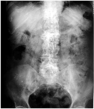
Mujer de 62 años en hemodiálsis crónica desde hace 6 años, con Diabetes Mellitus, hiperparatiroidismo secundario e hipertensión arterial como antecedentes personales más importantes. Consulta por sensación de plenitud abdominal, estreñimiento y nauseas. La exploración física y resultados analíticos fueron irrelevantes, destacando en la radiografía simple de abdomen material radio-opaco, disperso por todo el recorrido del colon, recordando una imagen de cielo estrellado. Revisando el tratamiento, se observó que desde hacía cuatro meses estaba tomando Carbonato de Lantano. Inicialmente asociado a otros quelantes del fósforo. La paciente no había recibido ningún tipo de contraste en los últimos 6 meses. Tras la retirada del Carbonato de Lantano y tratamiento con laxantes, la sintomatología desapareció y en la radiografía de abdomen realizada 3 semanas después apenas se apreciaba material radio-opaco.
El Carbonato de Lantano es un quelante del fósforo de reciente aparición. Su uso es cada vez más frecuente por no aportar calcio, relativa buena tolerabilidad y eficacia demostrada, aunque se han descrito síntomas digestivos similares a los que presenta esta paciente. Por ello será conveniente obtener una placa de abdomen en pacientes con este tratamiento y con sintomatologia abdominal inespecífica.
Figura 1. Radiografía de abdomen en vacío inicial
Figura 2. Radiografía de abdomen en vacío a continuación del tratamiento






