Varón de 51 años con diabetes mellitus dependiente de insulina y enfermedad renal crónica en tratamiento con diálisis peritoneal (DP) desde hace cinco años, que acudió a urgencias por presentar: efluente de características hemáticas en dos recambios, deterioro del estado general, astenia, náuseas y vómitos. Se realizó un tomografía computarizada (TC) abdominopélvica (figuras 1-4), en la que se observó abundante ascitis, y engrosamiento del peritoneo parietal y visceral con calcificaciones lineales en su superficie. Estos hallazgos se interpretaron, teniendo en cuenta los antecedentes de DP, como correspondientes a una peritonitis esclerosante (PE).
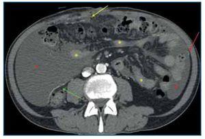
Figura 1.Tomografía computarizada abdominopélvica tras administración de contraste intravenoso, corte axial a nivel de mesogastrio. Se observa un engrosamiento difuso del peritoneo parietal y visceral (flecha amarilla), calcificaciones en forma de pequeñas placas del peritoneo parietal (flecha roja), calcificaciones «en sábana» del peritoneo visceral (flecha verde), asas de intestino delgado de localización central y de diámetro intraluminal disminuido (asteriscos amarillos) y ascitis loculada en ambas gotieras paracólicas (asteriscos rojos) de predominio derecho. Nótese cómo la ascitis loculada desplaza medialmente a las asas de intestino delgado y grueso.
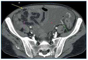
Figura 2.Tomografía computarizada abdominopélvica tras administración de contraste intravenoso, corte axial a nivel de hipogastrio. Se observan calcificaciones lineales «en sábana» del peritoneo parietal (flecha amarilla) y del peritoneo visceral (flecha verde), engrosamiento del mesenterio de las asas intestinales (flecha rosa) por el desarrollo de membranas fibróticas que retraen las asas de intestino delgado adyacentes, así como ascitis loculada (asterisco rojo) en hipogastrio.
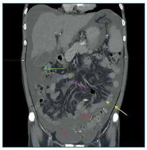
Figura 3.Tomografía computarizada abdominopélvica tras administración de contraste intravenoso, reconstrucción coronal. Se observa engrosamiento y realce aumentado del peritoneo parietal (flecha amarilla) y del peritoneo visceral (flecha verde), calcificaciones «en sábana» del peritoneo visceral, engrosamiento del mesenterio de las asas intestinales (flecha rosa) por el desarrollo de membranas fibróticas que retraen las asas de intestino delgado adyacentes, asas de intestino delgado de diámetro intraluminal disminuido (asterisco amarillo) y ascitis loculada perihepática, periesplénica, en ambas gotieras paracólicas y en pelvis (asterisco rojo).
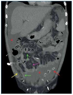
Figura 4.Tomografía computarizada abdominopélvica tras administración de contraste intravenoso, reconstrucción coronal, corte más anterior que el de la figura 3. Se observan calcificaciones «en sábana» del peritoneo parietal (flecha amarilla) y del peritoneo visceral (flechas verdes), conglomerados de calcificaciones del peritoneo visceral (flecha roja), engrosamiento del mesenterio de las asas intestinales (flecha rosa) por el desarrollo de membranas fibróticas que retraen las asas de intestino delgado adyacentes, y ascitis loculada (asteriscos rojos).
La PE es una complicación grave de la DP, con una morbimortalidad alta. El diagnóstico frecuentemente se retrasa porque los hallazgos clínicos son insidiosos e inespecíficos, siendo los más frecuentes los derivados del fallo en la ultrafiltración, anorexia, pérdida de peso, o los relacionados con la obstrucción intestinal secundaria que desarrollan estos pacientes1,2.
Los signos radiológicos de la PE se pueden dividir en tres categorías: anomalías del peritoneo, anomalías en las asas de intestino delgado y la presencia de colecciones líquidas o ascitis loculada3.
La afectación del peritoneo se caracteriza por un engrosamiento de este primero en forma de placas aisladas y más tarde difuso, afectando tanto a la capa de peritoneo visceral como a la parietal3 (figuras 1 y 3). En los estudios de TC realizados tras la administración de contraste intravenoso se puede observar el realce aumentado del peritoneo engrosado2 (figura 3). Las calcificaciones que se producen en el peritoneo comienzan siendo lineales, como pequeñas placas, y evolucionan a calcificaciones «en sábana» (figuras 1-4) y en forma de conglomerados2,3 (figura 4).
Las asas de intestino delgado aparecen engrosadas, con una disminución de su diámetro intraluminal (figuras 1, 3 y 4) y de localización central. También se pueden observar calcificaciones de sus paredes. Como resultado de las membranas fibróticas que se desarrollan envolviéndolas (figuras 2, 3 y 4), la raíz del mesenterio se retrae y se origina un conjunto de adherencias internas, que pueden causar una obstrucción de intestino delgado. En este último caso, las asas se mostrarán dilatadas y como complicación se puede producir necrosis y perforación de estas2,3.
Los pacientes con DP inevitablemente tendrán ascitis3 y, debido al engrosamiento y la fibrosis de las membranas peritoneales, será una ascitis loculada (figuras 1, 2, 3 y 4), que contribuye a la distribución central de las asas de intestino delgado3.
El diagnóstico radiológico diferencial se realiza con enfermedades que causan calcificaciones peritoneales como el pseudomixoma peritoneal, la tuberculosis, el mesotelioma peritoneal y la carcinomatosis peritoneal con calcificaciones, siendo muy importante el contexto clínico3.
Por tanto, los hallazgos en las pruebas de imagen pueden facilitar el diagnóstico precoz de esta enfermedad y contribuir a modificar el tratamiento del paciente de manera temprana: suspender la DP, administrar fármacos inmunosupresores y soporte nutricional, con el objetivo de disminuir la inflamación y acelerar en la medida de lo posible la posibilidad de llevar a cabo cirugía en las fases más avanzadas que así lo requieran1.
Conflictos de interés
Los autores declaran que no tienen conflictos de interés potenciales relacionados con los contenidos de este artículo.
doi:10.3265/NefroPlus.pre2015.Feb.12374
Correspondencia:
Raquel Sánchez Oro
Servicio de Radiodiagnóstico. Hospital Clínico Universitario de Valencia.
46019 Valencia.
raquel_sanchez_oro@hotmail.com
raquelsanchezoro27@gmail.com








