Paciente de 49 años con antecedentes de diabetes mellitus tipo 2, hipertensión arterial, dislipemia, obesidad severa. Pie diabético. SCASEST y ACVA isquémico silviano derecho embolígeno en el año 2009. Fumador activo de 40 cigarros/día y exbebedor, con función renal previa normal. Es derivado por evolución tórpida de pie diabético, y además refiere disminución de la diuresis desde hace unos 4-5 días y aumento de sus edemas habituales en las piernas. En la analítica urgente destacaba una acidosis metabólica severa, hiperpotasemia e hiponatremia severa junto al fracaso renal agudo, por lo que se decide la realización de hemodiálisis urgente el mismo día del ingreso. Dada la sospecha de osteomielitis, se solicita radiografía del pie izquierdo que confirma la destrucción ósea del casquete falángico del primer dedo. Durante su estancia hospitalaria presenta pico febril, con extracción de hemocultivos con crecimiento de S. epidermidis x2, con un cultivo del exudado primer dedo del pie izquierdo con crecimiento de un S. epidermidis (con un antibiograma similar al del hemocultivo). La ecografía mostraba unos riñones normales. Fondo de ojo normal. Dado el rápido deterioro de la función renal y la no recuperación de esta, permaneciendo el paciente en oligoanuria, se planteó la realización de biopsia renal, dadas las dudas de una posible nefropatía diabética e incluso de una glomerulonefritis extracapilar. Finalmente con el resultado de la biopsia llegamos al diagnóstico de fracaso renal agudo en el contexto de glomerulonefritis aguda infecciosa secundaria a osteomielitis por Staphylococcus epidermidis. Finalmente la severidad del cuadro, que precisó diálisis y tuvo una recuperación posterior casi completa (con uso de esteroides incluido), nos lleva a llamar la atención sobre este caso clínico con un inusual germen, lugar de presentación y evolución clínica.
CASO CLÍNICO
Paciente de 49 años con antecedentes personales de diabetes mellitus tipo 2 de al menos cinco años de evolución, con mal control metabólico, dislipemia, obesidad severa e hipertensión arterial de al menos cuatro años de evolución. Isquemia arterial crónica de miembros inferiores secundaria a arteriopatía periférica de origen diabético (pie diabético) en seguimiento por cirugía vascular. SCASEST en 2009 por enfermedad de tres vasos revascularizada con tres stent. ACV isquémico silviano derecho embolígeno en 2009, con hemiparesia izquierda de predominio braquial e incontinencia urinaria residual. En analíticas previas (2008-2012) presentaba albuminuria positiva (70 mg/l) y función renal normal (Cr 0,9 mg/dl). Fumador activo de 40 cigarrillos/día y exbebedor desde hacía cuatro años. Estaba en tratamiento con: metformina, insulina lantus, furosemida, enalapril, bisoprolol, ácido acetilsalicílico 100 mg, fenofibrato y atorvastatina.
Enfermedad actual: el paciente acude a Urgencias en agosto de 2013 por dolor e inflamación del primer dedo del pie izquierdo, en el contexto de un pie diabético con evolución tórpida. Había estado en tratamiento con penicilina. Refiere igualmente disminución de la diuresis desde hacía 4-5 días, aumento de edemas y dolores intensos en los miembros inferiores de unas semanas de evolución. En los últimos días refería náuseas y vómitos frecuentes.
A la exploración física destacaba: tensión arterial 154/90 mmHg, peso 115 kg; índice de masa corporal 37 kg/m2; bradipsiquia con tendencia al sueño; edemas con fóvea hasta la raíz de muslos +++/+++; alteración de la sensibilidad en ambos miembros inferiores con aumento de la temperatura local; úlcera y maceración en el primer dedo del pie izquierdo.
La analítica al ingreso muestra una insuficiencia renal severa (Cr 13,5 mg/dl), junto con acidosis metabólica con pH 7,10, hiperkaliemia (K 7 mEq/l) e hiponatremia (120 mEq/l).
Además en la analítica destacaba: proteínas totales 5,5 g/ dl, albúmina 2,4 g/dl, hemoglobina glucosilada 9,4 %; VSG 99 mm; IgG 1240 mg/dl, IgA 283 mg/dl, IgM 45 mg/dl; C3 70,5 mg/dl inicialmente con ascenso a 75 y 92 mg/dl al cabo de 60 días; C4 18,3 con ascenso a 25 y 30 mg/dl a los 60 días; proteína C reactiva 130,3 mg/l con descenso gradual hasta 70 mg/l y 9 mg/l a los 60 días; ANA, anti-DNAds, anti-MBG y anticoagulante lúpico negativos; ANCA positivo débil con patrón perinuclear atípico; beta2-microglobulina 9 mg/l; cadenas ligeras en sangre kappa 260 mg/l (normal 1-19) y lambda 118 mg/l (normal 1-26), inmunocomplejos circulantes 0,5 μg/l (normal 0-4), ASLO 9 UI/ml (normal 0-200); inmunoelectroforesis con débil componente monoclonal IgG lambda. Las serologías para virus de la inmunodeficiencia humana, virus de la hepatitis B y virus de la hepatitis C fueron negativas. En la analítica de orina presentaba proteinuria 7 g/día y en sedimento 150 hematíes/campo. Se realizó punción medular, encontrando 2 % plasmáticas, por lo que se orientó como gammapatía monoclonal de significado incierto.
Exploraciones complementarias
 - Ecografía renal que muestra riñones de tamaño conservado.
 - Ecografía Doppler de los miembros inferiores que descarta presencia de trombosis venosa profunda e isquemia arterial aguda. 
 - Angiotomografía axial computarizada de abdomen que muestra ateromas calcificados en aorta, arterias ilíacas comunes, ilíaca externa e interna y arterias femorales, con perfusión arterial y venosa renal conservadas.
 - En la radiografía del pie izquierdo se encontró imagen de destrucción ósea del casquete falángico del primer dedo, siendo compatible con osteomielitis.
 - Fondo de ojo: se descarta retinopatía diabética e hipertensiva.
 - Estudio electrofisiólogico de miembros inferiores: neuropatía periférica mixta sensitivo-motora simétrica, de intensidad severa, compatible con neuropatía diabética.
Evolución
Ante la situación metábólica, se coloca catéter venoso central y se inicia hemodiálisis, quedando el paciente hospitalizado. Durante el ingreso presentó un pico febril, demostrándose en los hemocultivos crecimiento de Staphylococcus epidermidis. Asimismo, se cultivó el exudado de la úlcera del primer dedo del pie con crecimiento igualmente de Staphylococcus epidermidis (con igual perfil de sensibilidad antibiótica que el de los hemocultivos). Con antibioterapia específica la evolución fue favorable, desapareciendo la fiebre, aunque persiste la lesión del pie. Al consultar con Traumatología, esta confirma la presencia de osteomielitis del primer dedo, manteniendo el tratamiento antibiótico de forma prolongada. Desde el punto de vista renal, persiste oligoanuria con necesidad de diálisis. Ante la no recuperación de la función renal, a los 12 días del ingreso se realiza biopsia renal percutánea, encontrando en la muestra: 10 glomérulos, 1 con esclerosis global (10 %) y el resto presentaban de forma global y difusa una proliferación endocapilar con patrón lobular, asociada a un componente agudo exudativo formado principalmente por neutrófilos y eosinófilos; en las membranas se observaban áreas de fragmentación, de engrosamiento y muy escasas imágenes de duplicación (figura 1); había engrosamiento fibroso periglomerular de la cápsula de Bowman y componente extracapilar epitelial focal (1 glomérulo que ocupaba < 25 % del volumen glomerular); no se veían imágenes de necrosis glomerular; en el intersticio había parches de infiltrado inflamatorio mixto agudo (neutrófilos y eosinófilos) y crónico, junto a áreas de fibrosis y de atrofia tubular leve; imágenes de tubulitis aguda, escasos cilindros hialinos, cristales y hematíes intratubulares; había una arteriola con hialinosis intimal y una arteria con fibrosis laminal miointimal (figura 2); la IF presentaba depósitos granulares mesangiales intensos (3+) y moderados (2+) lineales capilares para C´3 de distribución global y difusa (figura 3); depósitos focales y segmentarios mesangiales granulares de intensidad leve (1+) para C1q e IgG; negatividad para fibrinógeno, IgA, IgM. El cuadro histológico es compatible con una glomerulonefritis proliferativa aguda difusa posinfecciosa con componente extracapilar mínimo, que se consideró relacionada etiopatogénicamente con la osteomielitis por Staphylococcus epidermidis, dada la coincidencia temporal de ambos cuadros.
Figura 1.HxE. Glomérulo con patrón lobular, congestivo, con exudado agudo en el espacio endocapilar, con abundantes polimorfosnucleares, con algunos eosinófilos. Engrosamiento difuso mesangial sin dobles contornos.
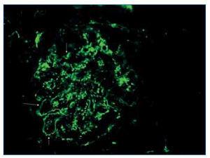
Figura 2.Inmunofluorescencia con típico patrón en guirnalda de C3.
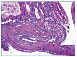
Figura 3.HxE. Arteria con fibrosis miointimal en zona lateral.
El paciente permaneció en oligoanuria, con necesidad de terapia sustitutiva renal. A la vista de los resultados histológicos, se inició tratamiento con esteroides (3 bolus de 500 mg de metilprednisolona), seguido de prednisona oral (60 mg/día), en pauta descendente. Se observó un incremento progresivo de la diuresis con lenta mejoría de la función renal, aunque con irregular manejo del volumen pese al tratamiento diurético, pudiendo suspender la terapia sustitutiva a los 80 días del inicio del cuadro. En la actualidad (tres meses después del inicio) presenta una función renal prácticamente normal (Cr sérica 1,1 mg/dl y filtrado glomerular de 70 ml/min), aunque persiste proteinuria en rango nefrótico (8-10 g/día) que podría ser atribuida a su diabetes de evolución tórpida. Finalmente (tres semanas después de suspender la diálisis), dada la evolución tórpida del pie, Cirugía Vascular realiza la amputación del primer dedo del pie izquierdo y, tras estudio arteriográfico, realiza revascularización de los miembros inferiores, con buen resultado clínico.
DISCUSIÓN
La glomerulonefritis posinfecciosa es común en los niños, se refiere principalmente a la forma posestreptocócica porque suele estar originada por el estreptococo y la enfermedad renal comienza típicamente después de la infección, ya sea faríngea o cutánea. Por el contrario, la glomerulonefritis posinfecciosa en adultos puede tener un origen más variado, tras infecciones respiratorias, endocarditis, infecciones urinarias, osteomielitis o abscesos, y con frecuencia (hasta 42 %) no se identifica el germen causal, siendo el estreptococo (28 %) y el estafilococo (24 %) los implicados de manera más frecuente. En estos casos la glomerulonefritis suele acompañar a un proceso infeccioso activo, a diferencia de la forma clásica posestreptocócica1,2.
La patogenia de la glomerulonefritis asociada a estafilococo no ha sido estudiada en profundidad, pero se postula que se trata de una enfermedad mediada por complejos inmunes. El componente de antígeno del complejo inmune se deriva del agente infeccioso, de forma similar a la glomerulonefritis posestreptocócica, aunque se piensa que en la glomerulonefritis asociada a estafilococo se requiere continuar la producción antigénica y, por tanto, de una infección activa, para perpetuar la inflamación renal. Si la infección se trata con eficacia, la actividad de la glomerulonefritis finalmente debe disminuir, como ocurrió en nuestro caso. En él los inmunocomplejos fueron normales, pero se analizaron un mes más tarde de realizada la biopsia renal, cuando ya llevaba en tratamiento antibiótico desde hacía al menos cuatro semanas3.
La glomerulonefritis asociada a estafilococo es poco común y se presenta principalmente en pacientes de mediana edad o de edad avanzada1,2,4,5. Son factores predisponentes para la infección por estafilococos la diabetes, el alcoholismo, las neoplasias y la presencia de inmunosupresión. Constituyen, según la serie analizada, en torno al 0,6 % de las glomerulonefritis. En las glomerulonefritis asociadas a infección bacteriana en adultos el Staphylococcus aureus es el agente más comúnmente aislado (en torno al 45 %), seguido del Staphylococcus epidermidis.
El foco de la infección es muy variado, en piel, tejido blando, prótesis vasculares y valvulares, abscesos, empiemas, siendo el hueso (osteomielitis) un lugar poco frecuente y escasamente publicado en la literatura6. Clínicamente cursan con edema periférico, presente en aproximadamente el 50 % de los pacientes, y la hipertensión de nueva aparición en el 15-30 %. El sedimento revela hematuria y leucocituria en casi todos los pacientes con o sin cilindros hemáticos. El grado de proteinuria puede ser variable, con un promedio de 3 g/día, pero con síndrome nefrótico hasta en el 29 %2, a diferencia de la forma infantil. El grado de disfunción renal es variable, aunque más de dos tercios tienen una creatinina superior a 2 mg/dl, siendo el grado de insuficiencia renal mayor en casos con diabetes de base2. Hasta un 64 % cursan con hipocomplementemia C3 y en 48,3 % para C42, como sucedió en nuestro caso, con normalización de sus niveles acompañando a la resolución de la infección y de la glomerulonefritis1,6. Pueden presentar crioglobulinas circulantes de tipo mixto, factor reumatoide positivo y positividad para ANCA en un 8 % de los casos7,8. En nuestro caso observamos un ANCA positivo con patrón atípico en la IF, con negatividad en el ELISA para PR3 y MPO, cuyo significado patogénico es difícil de adscribir, dado que en la biopsia solamente presentaba una semiluna y con carácter muy leve.
A diferencia de la glomerulonefritis posestreptocócica, no existen pruebas serológicas para la detección de infección por estafilococo. Por tanto, solo podrá ser identificada si se logra aislar con un cultivo del foco de la infección activa. En nuestro caso se aisló el mismo germen, con espectro anti-bacteriano similar, en hemocultivos y en cultivo del exudado del pie.
El pronóstico es habitualmente bueno en niños, mientras que en adultos y en diabéticos se ha descrito que hasta un tercio de los pacientes pueden desarrollar insuficiencia renal severa, asociada a proteinuria y hematuria persistente, en casos con infección mantenida y especialmente si se relaciona con importante inflamación intersticial9. En nuestro caso el paciente desarrolló un fracaso renal agudo severo que requirió hemodiálisis durante diez semanas, con recuperación progresiva de la función renal.
El tratamiento se basa en la curación con antibióticos del foco de infección. Mientras no cese la actividad de la infección no se logrará frenar la producción de inmunocomplejos y el daño seguirá desarrollándose en el riñón6. En casos con fallo renal más severo con incluso necesidad de diálisis se ha administrado tratamiento con esteroides y/o inmunosupresores para intentar acortar la evolución del fracaso renal, aunque su eficacia no se ha demostrado1,2. En nuestro caso el paciente llevaba 25 días en fracaso renal cuando se administraron los bolus de metilprednisolona, observando recuperación de la función renal unas seis semanas después10.
En conclusión, la glomerulonefritis posinfecciosa en adultos se asocia con mucha frecuencia a gérmenes no estreptocócicos, siendo los estafilococos los patógenos más dominantes, incluido el Staphylococcus epidermidis, como en nuestro caso. La diabetes se muestra como un factor predisponente importante y con frecuencia cursa con fallo renal severo, requiriendo incluso diálisis para su manejo, como aquí. Solo la erradicación del foco infeccioso favorecerá la mejoría de la función renal, aunque en adultos su recuperación puede no ser tan completa como ocurre con las formas estreptocócicas, dejando un daño renal permanente, especialmente cuando exista una diabetes mellitus de base.
Conflictos de interés
Los autores declaran que no tienen conflictos de interés potenciales relacionados con los contenidos de este artículo.
doi:10.3265/NefroPlus.pre2015.Feb.12344
Correspondencia:
 Manuel Polaina Rusillo 
 Servicio de Nefrología. Complejo Hospitalario de Jaén. 
nefropolaina@yahoo.es
										
				






