Sr. Director:
Presentamos una paciente de 76 años sometida a nefrectomía por la aparición de imágenes sugestivas de malignidad sobre una Enfermedad Quística Adquirida (EQA), con el diagnóstico de Oncocitoma y Microcarcinoma Papilar asociados.
Se había diagnosticado en 1982 de HTA sin afectación renal, con un episodio cerebrovascular sin secuelas. En 1999, tras clínica nefrótica, se biopsió con resultado de Glomerulonefritis Membranosa (GM), resistente a esteroides y Azatioprina, manteniéndose en filtrados en torno a 50 ml/min y proteinurias nefróticas. En 2002 comenzó tratamiento con Micofenolato Mofetilo con excelente respuesta, bajando de 12,9 a 1,03 g en 6 meses y negativizando finalmente la proteinuria en 3 años con Cr 1,6 mg/dl.
En diciembre de 2005 ingresó por anuria, edemas y dolor infraabdominal, mostrando deterioro agudo de Creatinina (3,5 mg/dl), proteinuria de 4,2 g/24 h y hematuria de 100 h/c, precisando de hemodiálisis temprana. Se obtuvo una nueva biopsia informada como esclerosis sobre el 50% de los glomérulos presentando la mayoría de los restantes una GN extracapilar con semilunas epiteliales, asociada a GM, con moderada fibrosis intersticial. En los estudios de imagen se encontraron imágenes sugestivas de EQA, destacando un nódulo sólido de 2,5 cm en polo superior del riñón derecho, con sospecha de malignidad, por el que sufrió nefrectomía.
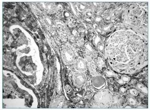
La pieza mostraba múltiples quistes y el nódulo, de 3 cm, era de coloración verde grisácea. Microscópicamente, el parénquima renal estaba muy desestructurado, con esclerosis, semilunas y afectación tubulointersticial intensa, mostrando adenomas papilares y tubulopapilares, constituyendo ocasionalmente un Microcarcinoma Papilar y abundantes cambios oncocíticos, formando agregados nodulares intersticiales. El nódulo mayor correspondía a un Oncocitoma convencional.
La coexistencia de GM y GN extracapilar se da en el 3-5% de biopsias con diagnóstico principal de GM, en el momento del diagnóstico o como transformación de una GM primitiva en casos de enfermedad linfoproliferativa, vasculitis, colagenosis...1,2. En este caso, la degeneración tumoral de una EQA aporta el mecanismo adicional de una GN extracapilar ligada a neoplasia.
La EQA se ha considerado prácticamente exclusiva de pacientes en diálisis, aunque la edad, el grado de ERC y sobre todo el tiempo de evolución cobran importancia, en nuestra paciente incluso con una función renal solo levemente deteriorada3-5.
Es a su vez determinante de la aparición de cáncer renal, siendo el Microcarcinoma Papilar el más frecuente, a diferencia de lo que ocurre en población general, donde predomina el Carcinoma de Células Claras5,6. En asociación con EQA hemos encontrado 5 casos descritos de Oncocitomas, 4 de ellos sobre pacientes en diálisis y uno en el riñón nativo de un paciente trasplantado, siendo el nuestro el primero descrito sin que medie la terapia sustitutiva7-9.
La asociación de GN extracapilar con neoplasias renales6,10 es muy conocida, siendo dudosa su relación con Oncocitoma11, tumor raro que suele asociarse a otras extirpes tumorales. Aquí guardaría más probable relación con el Microcarcinoma Papilar.
Como enseñanza práctica, recomendamos que en pacientes con enfermedad glomerular crónica bajo fármacos inmunosupresores, el despistaje de tumores renales debiera ser el mismo que el realizado sobre pacientes trasplantados.
Figura 1.





