La nefropatía tubulointersticial aguda es un tipo de lesión renal caracterizada por la presencia de infiltrados inflamatorios, edema y tubulitis en el compartimento intersticial, con frecuencia acompañado de un deterioro agudo de la función renal1. Representa la tercera causa más frecuente de deterioro agudo de función renal en pacientes hospitalizados2, objetivándose una incidencia en las biopsias renales realizadas por insuficiencia renal aguda del 5-27%3,4. Su curso puede ser subclínico o presentar deterioro progresivo evolucionando a insuficiencia renal crónica. Su etiología es diversa, siendo la reacción inmunoalérgica a fármacos la causa más frecuente, con una prevalencia de aproximadamente un 60-70%5.
A continuación, presentamos el caso clínico de una paciente con diagnóstico anatomopatológico de nefritis tubulointersticial aguda con arteriopatía hialina secundaria al tratamiento con estatinas.
Se trata de una mujer de 69 años con antecedentes personales a destacar principalmente factores de riesgo vascular: hipertensión arterial, dislipemia mixta en tratamiento con pravastatina y cardiopatía isquémica portadora de stent. Acude a Urgencias por un cuadro de astenia, vómitos y disminución de tensión arterial. Acompañando esta clínica, aparecía orina espumosa con diuresis conservada, sin coluria ni hematuria, de aproximadamente dos meses de evolución. Analíticamente destaca deterioro agudo de función renal con creatinina 6,82mg/dl (función renal preservada previamente), acidosis metabólica (pH 7,28 con HCO3 15,5 mmol/l), hemoglobina en 9,1g/dl y eosinofilia del 7,2%. Finalmente, se decide ingreso a cargo de Nefrología para estudio por insuficiencia renal aguda no oligúrica refractaria a tratamiento médico tras observación y tratamiento inicial.
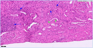
Ante la sospecha de posible enfermedad sistémica con afectación renal se realizó estudio de causas secundarias, destacando un perfil de autoinmunidad normal salvo la presencia de valores ANA positivos (ANA 1/320, patrón homogéneo). Con respecto al resto de pruebas complementarias, presentaba proteinograma, inmunoglobulinas y complemento en rango, así como serologías víricas negativas. Se realizó ecografía renal que informaba de riñones de tamaño normal con grosor cortical conservado sin dilatación de vía urinaria. Se decide administrar 3 bolos de metilprednisolona 250mg para tratamiento de una probable nefropatía intersticial aguda, con adecuada respuesta renal en las primeras 48 h tras inicio de tratamiento corticoideo (creatinina 4,42mg/dl). Finalmente, se realizó una biopsia renal percutánea ecoguiada con resultado anatomopatológico (fig. 1) de nefritis tubulointersticial en evolución (acidofilia citoplásmica, picnosis nuclear, pérdida del ribete en cepillo, aplanamiento y desprendimiento del epitelio tubular) con arteriopatía hialina moderada. Posteriormente, la paciente fue dada de alta con seguimiento por Nefrología, presentando función renal estable con creatinina de 3mg/dl.
Se advierten focos de infiltrado inflamatorio en cortical, formando parches y también dispuesto de manera dispersa. Está constituido principalmente por linfocitos (flechas azules). Focalmente el infiltrado afecta a los túbulos (tubulitis) (flechas verdes). Hematoxilina-eosina ×20. El color de las figuras solo puede apreciarse en la versión electrónica del artículo.
Sin embargo, al año siguiente del ingreso hospitalario, la paciente volvió a presentar dos cuadros clínicos similares a los del primer ingreso (fig. 2). Como novedad, en el segundo ingreso inició únicamente tratamiento con simvastatina/ezetimibe y en el tercer ingreso en relación con inicio de tratamiento con atorvastatina, presentando juntamente con el deterioro de función renal un rash cutáneo generalizado. Destacó deterioro progresivo de función renal (creatinina pico de 8,06mg/dl). Finalmente, respondió favorablemente en todas las ocasiones a corticoterapia, asociándose de este modo la causa de la insuficiencia renal aguda en los dos últimos ingresos a la toma de estatinas, completando estudio alergológico actualmente en tratamiento con alirocumab, manteniendo unos niveles en rango de lípidos (colesterol total 145mg/dl, HDL 49mg/dl y LDL 38mg/dl) y función renal conservada (creatinina 1,29mg/dl).
A día de hoy, las estatinas son uno de los medicamentos más prescritos como tratamiento de la dislipemia. Uno de los efectos secundarios descritos en relación con el uso de las estatinas es la rabdomiólisis por miotoxicidad en el 2-11% de los pacientes6,7, atribuyéndose la presencia de mioglobinuria al desarrollo de nefritis intersticial aguda8. Sin embargo, la nefropatía intersticial aguda secundaria al uso de estatinas es una causa muy rara de insuficiencia renal aguda.
La importancia de este caso clínico radica en que es fundamental interrogar al paciente sobre la medicación reciente recibida, los cambios de la misma o la introducción de nuevos fármacos, ya que en muchas ocasiones es difícil establecer el agente causal de la patología, teniendo en cuenta que el daño renal no siempre se correlaciona directamente con el inicio de la toma del fármaco y las manifestaciones clínicas pueden ser variables.
Aspectos éticosLos autores declaran que se han seguido los protocolos establecidos en su centro de trabajo para acceder a los datos de la historia clínica del paciente con fin de poder realizar esta publicación con finalidad de divulgación para la comunidad científica.
FinanciaciónLa presente investigación no ha recibido ayudas específicas provenientes de agencias del sector público, sector comercial o entidades sin ánimo de lucro.
Conflicto de interesesLos autores declaran no tener ningún conflicto de intereses.






