Sr. Director:
La incidencia de hemoperitoneo en diálisis varia del 6% hasta el 57% en mujeres premenopáusicas1. El sangrado peritoneal puede ser el resultado de un proceso relacionado con a diálisis o no estar relacionado con la enfermedad renal.
La endocarditis de Libman-Sacks se describió por primera vez en 1924, se caracteriza por lesiones de tipo verrugoso implantadas en las superficies valvulares y está íntimamente ligada a la presencia de anticuerpos antifosfolípido2,3. Enviamos el caso de una paciente en programa de Diálisis peritoneal que presentó una endocarditis de Libman-Sacks, y cursó con hemoperitoneo.
Se trata de una paciente de 51 años con ERC secundaria a Nefropatía mesangial IgA. La cual inició tratamiento sustitutivo con Diálisis Peritoneal en mayo de 2006. La paciente tenía antecedentes de un aborto en el sexto mes de gestación en 1981 y de trombosis de FAVI en 1989.
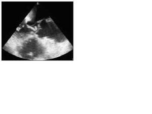
Había ingresado en agosto de 2006 por clínica compatible con ACV (paresia facial y disartria). Durante dicho ingreso, en el estudio del cuadro presentado y mediante ecocardiografía se diagnosticó de endocarditis sobre válvula nativa aórtica. Se considera que la ecocardiografía doppler es la técnica de elección para efectuar el diagnóstico de endocarditis, con incidencias de afectación valvular entre el 18 y 50%4. Su incidencia es a mayor si se utiliza la ecocardiografía transesofágica5. En nuestra paciente la ecocardiografía transtorácica mostraba una imagen de vegetación alargada, dependiente de velo coronario aórtico condicionando cierta insuficiencia aórtica ligera (fig. 1).
La paciente en ningún momento presentó fiebre. En la exploración física no había soplos cardíacos. Los hemocultivos, las serologías víricas y las determinaciones inmunológicas ANAs, antiDNA fueron negativos, siendo positivo el anticoagulante lúpico en 2 determinaciones seriadas. Además mediante resonancia nuclear magnética se vieron imágenes de infartos cerebrales en lóbulo frontal, occipital izquierdo y en hemisferio cerebeloso derecho probablemente secundarios a embolia endocárdica. Asimismo el electrocardiograma mostró isquemia subendocárdica en probable relación con microembolia. La endocarditis de Libman-Sacks suele ser asintomática. Aunque las verrugas pueden fragmentarse y producir embolismos sistémicos6, como en nuestro caso. También presentó episodio aislado de hemoperitoneo leve, con estudio ecográfico anodino en el mismo contexto de proceso embolígeno. Las causas más comunes de hemoperitoneo suelen ser ginecológicas, post-trasplantectomía, recolocación de catéter, incremento de la actividad física¿ Sangrados menores como en nuestro caso pueden aparecer en pancreatitis, esclerosis peritoneal y post-colonoscopia.
Se decidió iniciar tratamiento anticoagulante con Warfarina, previamente la paciente había recibido antibioterapia de amplio espectro, sin datos ecocardiográficos de mejoría. El hemoperitoneo por tratarse de episodio muy leve, no contraindicó la anticoagulación.
El tratamiento de estos pacientes con valvulopatía incluye profilaxis de endocarditis, tratamiento antiagregante o anticoagulante y en casos seleccionados sustitución valvular si la afectación valvular es severa. El papel del tratamiento con corticoides en la evolución de la valvulopatía está aún sin determinar7.
Con el tratamiento anticoagulante asistimos a la desaparición de la verruga en la ecocardiografía de control.
En nuestro caso, los antecedentes de aborto, una trombosis, la presencia de anticoagulante lúpico positivo y la excelente evolución con el tratamiento anticoagulante confirmarían el infrecuente diagnóstico.
Figura 1.





