Sr. Director:
La cocaína ha sido utilizada por el 2,6 % de la población española de entre 15-64 años de edad en algún momento de su vida, lo que la sitúa entre una de las drogas ilícitas más consumida después del cannabis1. El consumo de cocaína se asocia a múltiples complicaciones: neurológicas, cardiovasculares, psiquiátricas, pulmonares, gastrointestinales y nefrológicas.
Las complicaciones renales relacionadas con el consumo de cocaína han recibido poca atención, a pesar de la existencia de varios mecanismos, además de hipertensión arterial secundaria, a través de los cuales se puede explicar una insuficiencia renal aguda (IRA) o empeorar un caso preexistente de insuficiencia renal crónica2.
La nefritis intersticial aguda inducida por fármacos (DIAIN) representa un alto porcentaje de fracaso renal agudo en la práctica clínica. Algunos estudios indican que alrededor del 15 % de las biopsias con IRA presentan la DIAIN como la lesión responsable de la insuficiencia renal. Además, hay que añadir que en muchos casos de DIAIN no se realiza una biopsia y el diagnóstico se basa en datos clínicos e historia reciente de administración de un fármaco nuevo que, como se describe a continuación, a veces no es tan fácil de identificar3-5.
REPORTE DEL CASO
Varón de 28 años de edad, ingresado con dolor en fosas lumbares, fatiga y náuseas, con diuresis conservada.
El paciente presentaba el antecedente de consumo de cocaína intranasal (1 g) cinco días antes de la admisión. Negó en todo momento ingesta de antiinflamatorios no esteroideos u otros medicamentos. En el examen físico se observó un buen estado general, con presión arterial ligeramente elevada de 147/97 mmHg, sin fiebre, erupción cutánea o artralgias.
Las exploraciones cardiovascular y respiratoria fueron normales. El abdomen era blando, depresible e indoloro, el hígado era palpable a 1 cm por debajo del reborde costal y presentaba discreto dolor a la palpación lumbar bilateral.
La analítica inicial mostraba un hemograma anodino (sin eosinofilia), pruebas de función hepática normales y albúmina dentro del rango de la normalidad; creatinina sérica: 160 μmol/l; urea: 7,5 mmol/l; potasio: 3,9 mmol/l; sodio: 139 mmol/l; cloruro: 101 mmol/l. La creatina cinasa total fue normal (3,3 μkat/l), con una fracción MB normal. El sedimento de orina mostró 2 leucocitos y 3 hematíes por campo y no se observaron hematíes dismórficos ni eosinófilos. Bioquímica orina: sodio: 46 mmol/l, potasio: 33 mmol/l y cloruro: 63 mmol/l, cociente proteína:creatinina en 5 g/mol; urocultivo negativo.
Proteinograma electroforético, inmunoglobulinas, complemento, niveles de enzima convertidora de angiotensina y títulos de anticuerpos antinucleares fueron normales. La serología para virus de la inmunodeficiencia humana, virus de Epstein-Barr, citomegalovirus, hepatitis A, B, y C y micoplasma no detectó infección activa. La ecografía demostró unos riñones de tamaño normal, difusamente ecogénicos con flujo arterial y venoso apropiado.
El electrocardiograma fue normal. La radiografía de tórax mostró un índice cardiotorácico < 0,5 y unos campos pulmonares sin infiltrados.
Después de su admisión, el débito urinario se mantuvo en 50 a 75 ml/h y la creatinina se mantuvo sin cambios. El paciente se sometió a una biopsia renal.
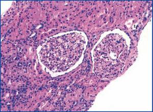
Los hallazgos histológicos son los siguientes: la microscopía óptica mostró un total de 13 glomérulos, todos ellos normales, sin esclerosis, proliferación o lesiones necróticas (figura 1). Las membranas basales y el mesangio glomerular fueron normales. El intersticio mostraba moderado infiltrado inflamatorio mononuclear con abundantes eosinófilos (figura 2), con presencia de tubulitis focal y atrofia (figura 2). Las arteriolas no presentaban lesiones destacables y no existían depósitos inmunes a la inmunofluorescencia.
Los hallazgos fueron compatibles con el diagnóstico patológico de nefritis tubulointersticial aguda (NIA).
Este hecho, junto con las características clínicas y el consumo reciente de cocaína, nos llevó a definir este caso como NIA inducida por cocaína.
El paciente obviamente interrumpió el consumo de la droga y se trató con prednisona oral (1 mg/kg/día dosis inicial), que se disminuyó progresivamente y se interrumpió después de 12 semanas.
En el seguimiento posterior ha presentado una buena evolución con mejoría progresiva de la función renal hasta la recuperación completa ya al mes del inicio del tratamiento.
DISCUSIÓN
Comunicamos el caso de un paciente con IRA, con lesión tubulointersticial aguda asociada a DIAIN, en el cual ningún agente relacionado fue identificado, a excepción de la cocaína. Actualmente se comienza a tomar conciencia de la IRA inducida por cocaína en adultos; de hecho, las dos causas más comunes son rabdomiólisis e hipertensión maligna arterial inducida por vasoconstricción intensa.
Existen pocos casos comunicados de DIAIN relacionados con cocaína2,6. El mecanismo permanece confuso, y aún queda por dilucidar si esta entidad está relacionada con la cocaína per se o con impurezas naturales, sustancias adulterantes o diluyentes7. De hecho, en el caso del crack, la contaminación es altamente probable.
En este caso puede haber existido sensibilización a la cocaína o sus aditivos por consumo previo. La hipersensibilidad a la droga es la causa más probable en nuestro enfermo7,8.
Nuestro paciente no presentó ninguno de los síntomas «clásicos» de NIA, como fiebre, erupción o eosinofilia, pero estudios recientes sugieren que la NIA es un desorden heterogéneo y, por ello, este cuadro «clásico» solo se ve en menos del 30 % de los casos8. La eosinofiluria normalmente se interpreta como un rasgo característico de DIAIN; sin embargo, tiene muy baja sensibilidad (67 %). La especificidad de la eosinofiluria para el diagnóstico de NIA es el 87 %, pero puede estar presente en otras enfermedades que también pueden presentarse con fracaso renal agudo6.
La patogénesis de la NIA incluye una respuesta alérgica idiosincrásica frente a la exposición a la droga. A menudo se implica una respuesta de célula T de hipersensibilidad tipo IV. El mimetismo molecular o la unión directa de la droga con la membrana basal tubular son los principales mecanismos involucrados9, y tal vez este sea el proceso subyacente en nuestro caso.
El reconocimiento precoz de la DIAIN es crucial porque los pacientes pueden, en última instancia, desarrollar enfermedad renal crónica.
El pilar del tratamiento es la interrupción del agente causal. Sin embargo, como la DIAIN es un proceso alérgico inflamatorio, es necesario considerar el empleo de agentes inmunosupresores, entre ellos los corticoesteroides10.
En la NIA corticorresistente, existen informes de casos que sugieren el beneficio de ciclofosfamida y ciclosporina, así como también posibles efectos beneficiosos de micofenolato mofetilo11.
Evidencia creciente basada en diferentes estudios sugiere que los esteroides conducen a una recuperación más rápida y completa de la función renal4.
Como consecuencia de la infiltración intersticial típica de NIA, un rápido desarrollo hacia la fibrosis intersticial puede ocurrir en pocas semanas. Basándonos en estos datos, utilizamos corticosteroides en el momento del diagnóstico para evitar la posible progresión a la fibrosis intersticial irreversible. El resultado fue favorable, observándose la rápida normalización de la función renal.
La DIAIN debe ser reconocida como causa potencial de fracaso renal agudo en consumidores de cocaína y la historia del posible consumo de esta debe ser cuidadosamente investigada en los pacientes con NIA sin causa evidente.
Conflictos de interés
Los autores declaran que no tienen conflictos de interés potenciales relacionados con los contenidos de este artículo.
Figura 1. Biopsia renal.
Figura 2. Biopsia renal.






