Sr director:
Presentamos un caso de enfermedad por Ac anti-MBG, que al tratarse con plamaféresis presenta un hematoma masivo de los rectos, complicación grave, no descrita previamente.
Se trata de una mujer de 57 años que ingresa por dolor lumbar, hematuria, febrícula y síndrome gripal de dos semanas de evolución. Destaca creatinina de 3,5 mg/d, con previa normal y sedimento con hematuria y proteinuria .La ecografía es normal. Los Ac anti-MBG urgentes son positivos a títulos de 1200 UI/ml con ANCA negativos. La biopsia renal demuestra una glomerulonefritis extracapilar por Ac anti-MBG con 85% de semilunas epiteliales en fase celular.
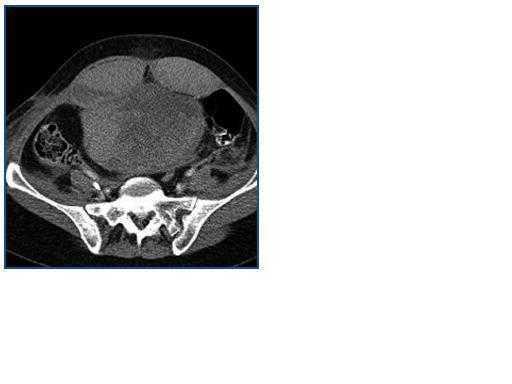
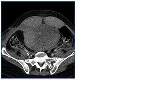
Tratada con metilprednisolona, ciclofosfamida y plasmaféresis (anticoagulación con citrato y reposición inicialmente con albúmina y posteriormente combinada con plasma) persiste deterioro de función renal con creatinina de 8,4 mg/dl y oliguria iniciándose hemodiálisis sin heparina. A los 13 días presenta dolor en higastrio y fosa iliaca izquierda tras un episodio de tos. Aparece una masa abdominal y anemización de 4 puntos. El TAC abdominal objetiva un hematoma de la vaina del recto anterior izquierdo (Figura 1). Se trasfunden 3 concentrados . El estudio de coagulación incluyendo factores es normal excepto Yvy de 10 minutos. Tres días después nuevo dolor en fosa iliaca derecha, con íleo paralítico y anemización de 3 puntos. El TAC objetiva un hematoma en ambos músculos rectos anteriores que se extiende hacia el espacio de Retzius y pelvis (Figura 2). Precisa 4 concentrados de hematíes. Se consulta con el servicio de cirugía y radiología intervencionista decidiendo tratamiento conservador expectante y asociar antibióticos (amoxicilina clavulánico) así como nutrición parental.
Una semana después, se resuelve el íleo, pero comienza con disnea súbita con Rx normal. La gammagrafía confirma un tromboembolismo pulmonar múltiple, iniciándose anticoagulación con bomba de heparina con estrecha vigilancia. El hematoma y el tromboembolismo se resolvieron sin secuelas pero continuo dependiente de hemodiálisis, con títulos de Ac anti-MBG negativos desde la cuarta plasmaféresis.
La enfermedad por Ac anti-MBG es una urgencia médica a descartar en insuficiencia renal rápidamente progresiva mediante test de Ac anti-MBG. El tratamiento precoz, basado en corticoides, ciclofosfamida y plasmaféresis parece tener un papel importante en la recuperación de la función renal1,2,3. Sus posibles complicaciones2,3 son múltiples, una de ellas , las alteraciones de la coagulación que se producen por pérdida de factores y/o uso de anticoagulantes en el procedimiento. Sin embargo, el hematoma masivo de rectos no esta descrito previamente asociado a plasmaféresis ni a la enfermedad por Ac anti-MBG2,3. La plasmaféresis es una técnica delicada que debe ser utilizada por profesionales con experiencia y que progresivamente se esta incluyendo dentro de las actividades de los nefrólogos4. El hematoma de la vaina de los rectos es un proceso infrecuente que puede simular una enfermedad intraabdominal. El principal factor predisponente es la anticoagulación y la tos el factor precipitante5,6. El diagnóstico se basa en la sospecha clínica y se confirma con TAC5,6. Nuestra paciente, aunque con estudio de coagulación normal, había recibido 6 plasmaféresis y nos planteamos como posibles causas la coagulopatía por citrato, déficits de factores de la coagulación y la trombopatía urémica secundaria a la insuficiencia renal.
El tratamiento del hematoma de los rectos inicialmente es conservador5,6, reservándose la cirugía para cuando existe progresión, infección del hematoma o inestabilidad hemodinámica. Puede considerarse la arteriografía con embolización selectiva. En nuestro caso el hematoma de los rectos se resolvió totalmente en cuarenta días, a pesar de precisar anticoagulación por el tromboembolismo pulmonar masivo y la paciente sobrevivió sin secuelas, estando en la actualidad trasplantada con éxito.
Figura 1.
Figura 2.






