INTRODUCCIÓN
La urato-oxidasa es una enzima que metaboliza el ácido úrico en alantoína, compuesto más soluble y eliminable por orina. La rasburicasa es una forma recombinante de dicha enzima que es empleada en la prevención de la nefropatía por ácido úrico que puede aparecer en el síndrome de lisis tumoral, tras el tratamiento de tumores sobre todo hematológicos1,2. Provoca un rápido descenso de los niveles séricos de ácido úrico, reduciendo así la carga filtrada por el riñón y pudiendo acortar la evolución del fracaso renal agudo facilitando su recuperación3.
Fuera de esta indicación también se ha empleado en la gota tofácea crónica con una experiencia inicial que parece prometedora4,5,6. Vogt4 describe una trasplantada renal con tofos gotosos en manos muy invalidantes y con gran componente inflamatorio, a la que administra rasburicasa observando buen control de los niveles séricos de ácido úrico y reducción del volumen de los tofos, sin efectos adversos. Diversos autores contemplan la rasburicasa como una posible alternativa al alopurinol o a la benzobromarona cuando estén contraindicados7,8.
El fracaso renal agudo de causa obstructiva es frecuente en el medio hospitalario, con una incidencia en torno al 3,8%9. Sin embargo, se desconoce la incidencia exacta de fracaso renal agudo obstructivo por litiasis renal, aunque en algunas series suponen un 3,2% de las causas de enfermedad renal terminal, siendo de ácido úrico en un 17,8% de las ocasiones10.
Si se probara la eficacia de la rasburicasa, para disolver las litiasis con componente úrico, podría ser un abordaje interesante que permitiera reducir el tamaño de las litiasis y así facilitar su eliminación, evitando la manipulación de la vía urinaria y permitiendo la resolución del fracaso renal.
Presentamos dos casos clínicos de fracaso renal agudo obstructivo por litiasis que requirieron hemodiálisis y que se resolvieron de forma casi inmediata tras la administración de rasburicasa.
CASO 1
Varón de 28 años con antecedentes de hiperuricemia e intolerancia al paracetamol y antiinflamatorios no esteroideos. Acude a Urgencias por cuadro compatible con cólico nefrítico izquierdo y hematuria con coágulos entrando en anuria en las últimas 36 horas, presentando en la analítica insuficiencia renal moderada (Cr 2,5 mg/dl). En la ecografía renal se observa riñón izquierdo de 17 cm con dilatación piélica, calicial y del uréter proximal, con pequeñas litiasis múltiples en grupos caliciales inferiores y ausencia de riñón derecho, datos que se confirman con una TAC abdominal que muestra además dilatación del uréter lumbar. Ante la clínica de hematuria y dolor en fosa renal se orienta como uropatía obstructiva por litiasis, por lo que se intenta cateterismo ureteral sin éxito. Ante la persistencia de la anuria con deterioro de la función renal (Cr 8 mg/dl), se coloca catéter venoso y se realiza hemodiálisis. En la analítica se descubre hiperuricemia de 17,6 mg/dl por lo que se decide administrar rasburicasa (0,20 mg/kg/día) durante dos días, presentando horas después de la primera dosis una poliuria importante (10 l en 18 horas) y manteniendo un ritmo decreciente de la misma en días posteriores (fig. 1). La función renal mejora rápidamente por lo que se suspende la hemodiálisis. Tras la resolución del cuadro se realiza TAC abdominal que muestra ausencia de dilatación de pelvis y uréter izquierdo.
CASO 2
Varón de 70 años con antecedentes de hemorragia digestiva alta por ulcus bulbar, duodenitis y hernia hiatal, hipertensión arterial y cólico nefrítico derecho hace 4 años en donde es informado de anulación funcional de riñón izquierdo.
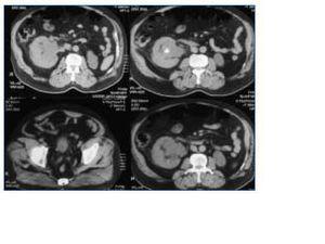
Una semana antes del ingreso sufre cólico nefrítico derecho que se trata con antiinflamatorios no esteroideos (meloxicam). Acude a urgencias por oligoanuria de 24 horas de evolución sin fiebre ni hematuria. En la analítica destaca insuficiencia renal severa (Cr 7 y urea 167 mg/dl). La ecografía muestra riñón derecho de 13,5 cm, con litiasis en polo inferior y pelvis (17 y 15 mm respectivamente) y ausencia de riñón izquierdo. La TAC abdominal confirma las litiasis y muestra además dilatación del uréter distal con litiasis en meato ureteral derecho y atrofia cortical del riñón izquierdo (fig. 2). Se inicia tratamiento con sueroterapia y diuréticos sin lograr diuresis. Tras fracasar el intento de cateterismo ureteral y desestimar la nefrostomía por insuficiente dilatación de la pelvis se coloca catéter venoso central y se realiza hemodiálisis. A pesar de la hidratación no se observa incremento de la dilatación urinaria que permita realizar una nefrostomía percutánea, por lo que se decide administrar rasburicasa (0,20 mg/kg/día) durante 2 días, observando a las 6 horas recuperación brusca de la diuresis, recogiendo esa noche 6 litros de orina, manteniendo poliuria decreciente en días posteriores y con rápida mejoría de la función renal lo que permite suspender la hemodiálisis (fig. 3). Una nueva TAC abdominal realizada días más tarde mostró desaparición de la litiasis del meato ureteral derecho.
DISCUSIÓN
La afectación renal por ácido úrico puede deberse a la obstrucción de la vía urinaria por litiasis, a la precipitación intratubular de cristales de ácido úrico en casos de sobreproducción (como en el síndrome de lisis tumoral) o a una nefropatía intersticial como en la nefropatía hiperuricémica. Además, las litiasis úricas suelen contener un núcleo de úrico sobre el que se deposita, con frecuencia, cristales de oxalato cálcico favoreciendo el aumento de tamaño de las mismas y variando sus propiedades radiográficas.
El diagnóstico diferencial entre ellas supone un ejercicio de conjunción de la patología de base del paciente, del contexto clínico en que se produce, de los hallazgos radiológicos, de parámetros analíticos y de la propia evolución clínica observada durante la recuperación del daño renal.
En ambos casos había datos que nos hicieron inclinarnos por una causa obstructiva del fallo renal: la brusquedad de la anuria, la hematuria y dolor lumbar (caso 2), la dilatación de la vía urinaria, las imágenes de litiasis y especialmente por la rapidez y el ritmo de reinstauración de la diuresis. En ambos casos vivimos la reaparición de la diuresis de forma explosiva, que recuerda claramente a la liberación de la vía urinaria tras una obstrucción de no muy larga evolución, con reducción de la dilatación ureteral en las pruebas de control, lo que apoyaría el diagnóstico de insuficiencia renal aguda obstructiva.
En el caso 1 encontramos además una marcada hiperuricemia que llevaría a postular que el fracaso renal agudo sería debido a precipitación intratubular de ácido úrico. La recuperación de la función renal en estas patologías es más lenta, con volúmenes de diuresis creciente día a día, y con descensos graduales de los productos nitrogenados en sangre,3 pero no con la brusquedad con que lo hizo en este caso.
En ambos casos la relación temporal tan cercana y sorprendente entre la administración de la rasburicasa y la reinstauración de la diuresis hace pensar en qué mecanismo permitió la resolución del fallo renal. No tenemos la certeza de que las litiasis fueran de ácido úrico pero la no visualización en la radiología simple en ambos y el asociarse con hiperuricemia en el caso 1, resulta una posibilidad muy lógica. En el caso 2 podría tratarse de litiasis mixtas con núcleo de úrico. Basado en esto, postulamos que la rasburicasa tuvo que actuar sobre el cálculo reduciendo su tamaño, aunque fuera ligeramente, lo suficiente para permitir su movilización y eliminación a través del sitio más estrecho: el uréter más distal.
Para que esta hipótesis sea plausible es preciso que la rasburicasa sea capaz de alcanzar el espacio urinario atravesando el filtro glomerular. Un 60% de las proteínas presentes en orina son de origen plasmático lo que implica que sí logran atravesar esta barrera11. El paso de moléculas a través de la membrana de filtración se ve limitado por la carga, tamaño y forma de las moléculas pudiendo caracterizarse cada molécula por su coeficiente de cribado. En numerosos trabajos se señala que la albúmina, con un peso molecular de 69 kDa, es rechazada por el filtro glomerular12 aunque en la realidad pequeñas cantidades aparecen en la orina (15-20 mg/kg en mujeres y 18-25 mg/kg en hombres). Norden13 estimó en humanos el coeficiente de cribado de 12 proteínas plasmáticas encontrando una clara relación con el peso molecular. La α1-microglobulina con un peso de 31 kDa presentaba un mayor coeficiente que la albúmina, lo que permite aventurar que la rasburicasa con unos 34 kDa sí podría estar presente en la orina.
Por tanto, teóricamente la rasburicasa podría ser capaz de atravesar el filtro glomerular y aparecer en la orina en una cantidad significativa, actuando así sobre el ácido úrico intratubular disgregando los cristales de ácido úrico y facilitando su eliminación de los túbulos renales. Esto serviría de ayuda en casos con fracaso renal agudo establecido en el síndrome de lisis tumoral permitiendo acortar su evolución3,14. Pero también postulamos que la rasburicasa podría llegar a la vía urinaria y actuar sobre las litiasis con componente úrico en cálices, pelvis o uréter, pudiendo disolverlas en parte para facilitar su eliminación. Si se confirmara in vivo o in vitro la capacidad de la rasburicasa para disolver los cálculos de ácido úrico, se podría incluso considerar su administración directa en la vía urinaria a través de sondas de nefrostomía, lo que abriría una nueva forma de tratamiento contra esta patología tan frecuente.
Figura 1.
Figura 2.
Figura 3.







