Extramedullary hematopoiesis (EMH) in the kidney is extremely rare. EMH is diagnosed by the presence of megakaryoblasts, megakaryocytes, erythroid cells, and myeloid elements in the sampled biopsy tissue. While it is frequently diagnosed post-mortem, antemortem cases, especially with myeloproliferative disorders, are well-known.1 When EMH is present, it is usually accompanied by a glomerular pathology such as fibrillary-like glomerulonephritis, membranous nephropathy, and lesions resembling focal segmental glomerulosclerosis or membranoproliferative glomerulonephritis. Proteinuria is expected in virtually all patients, and one-third may present with acute kidney injury (AKI).1,2 EMH can also present as a renal or extrarenal mass. Both AA amyloidosis and EMH have been reported separately in patients with myeloproliferative disorders.3
To our knowledge, concurrent EMH and AA amyloidosis in the kidney has not been reported. Here, we present a case of EMH in the renal parenchyma that is superimposed on preexisting AA amyloidosis. A 39-year-old male patient with a history of cured Hodgkin lymphoma (chemotherapy+radiotherapy to abdomen), autoimmune hemolytic anemia (splenectomized), secondary autoimmune myelofibrosis, and systemic AA amyloidosis presented with profound anemia, new-onset severe nephrotic syndrome (NS), macroscopic hematuria followed by microscopic hematuria and AKI. Previously, his nephrotic range proteinuria was not accompanied by NS. We performed a kidney biopsy to diagnose a new glomerular pathology.
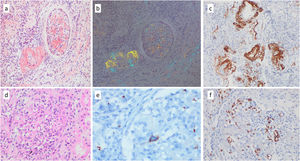
Light microscopy revealed a notably heterogeneous appearance of the glomeruli. Nearly all glomeruli, arterioles, and interlobular artery walls contained eosinophilic, amorphous, Congo Red positive extracellular material, confirmed as AA amyloidosis by immunohistochemical staining. Additionally, glomeruli and peritubular capillaries contained atypical mononuclear cells with hyperchromatic nuclei, causing capillary lumen obliteration and leukocytoclasis. Immunohistochemical staining with glycophorin A, CD61, and MPO confirmed the suspected diagnosis of EMH. Kidney biopsy is presented in Fig. 1. His NS necessitated ultrafiltration; meanwhile, Parvovirus PCR came back positive. IVIG was added to his treatment, and after three weeks of hospitalization, he was discharged, with all his lab values returning to baseline.
Histopathological findings in kidney biopsy. (a, b) Congo Red staining: the extracellular matrix expanding the glomerular mesangium and clearly visible in the arteriolar walls is positive with Congo Red (a), and exhibits an apple-green birefringence under polarized light (b). (c) Amyloid A: Congo Red staining highlights amyloid deposits in arterioles, arteries, and glomeruli. Strong diffuse positivity is observed with Amyloid A. (d) Glomerular Pathology: besides amyloid deposition, inflammatory cells with atypical morphology (arrow) are occasionally observed in the glomerular capillary lumens. (e) CD61 staining: megakaryocytes show positivity with CD61. (f) Glycophorin A staining: elements of the erythroid series, positive with Glycophorin A, indicate extramedullary hematopoiesis.
This case underscores the importance of considering the coexistence of EMH and AA amyloidosis in patients with complex hematologic and renal histories. Further research is needed to understand the pathophysiological mechanisms and optimize management strategies for such rare occurrences.





