Sr. Director:
Presentamos el caso de una mujer de 69 años, trasplantada renal, entre cuyos antecedentes personales destacan diabetes mellitus tipo 2 de once años de evolución, con repercusión visceral (retinopatía y nefropatía), hipertensión arterial e insuficiencia renal crónica secundaria a nefropatía diabética. El trasplante renal se desarrolló sin complicaciones inmediatas, alcanzando buena función del injerto el séptimo día postrasplante, con una creatinina sérica de 1,4 mg/ml.
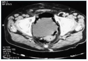
Durante el seguimiento, y a raíz de un dolor abdominal inespecífico localizado en área hipogástrica en el segundo mes tras el trasplante, se realizó una tomografía axial computerizada (TAC), en la que se observó una colección de aire en la pared interna de la vejiga1, sin observarse en ese momento anomalías en el injerto (fig. 1). La paciente estaba totalmente asintomática, a excepción de una infección urinaria causada por E. Coli, que fue tratada con ertapenem durante dos semanas. Veinte días más tarde se realizó una nueva TAC, en la que la vejiga aparecía completamente normal, desapareciendo por completo la colección de aire. Durante más de dos semanas la paciente fue portadora de una sonda uretral, que se retiró tras la normalización de la imagen radiológica.
DISCUSIÓN
La cistitis enfisematosa es una complicación rara de la infección del tracto urinario, caracterizada por la formación espontánea de gas en la pared de la vejiga o en el interior de ella. Más del 50% de los pacientes son diabéticos y el 62,2% son mujeres. Otros factores de riesgo son la presencia de vejiga neurógena y las infecciones de orina de repetición3. El mecanismo por el cual se forma el gas es aún desconocido, aunque existen varias teorías, como la posible fermentación de la glucosa en la orina. Los síntomas aparecen únicamente en el 53,3% de los casos, siendo los más frecuentes el dolor abdominal (65%) y la hematuria (82%), siendo menos frecuente la presencia de fiebre, escalofríos, náuseas y vómitos. En los pacientes con trasplante renal la cistitis enfisematosa no es frecuente, a pesar del elevado número de pacientes diabéticos que se someten a dicho procedimiento. E. Coli y Klebsiella pneumoniae, microorganismos productores de gas, son los agentes etiológicos más frecuentes. Habitualmente tiene buen pronóstico con tratamiento antibiótico y buen control glucémico2, excepto en aquellos pacientes que presentan disfunción orgánica a nivel sistémico. La duración del tratamiento depende de la respuesta clínica del paciente, siendo necesario tratamiento antibiótico durante una media de diez días4.
Es importante sospechar esta patología, especialmente en pacientes diabéticos que presentan infección urinaria, de manera que se pueda tratar a tiempo y evitar así una posible repercusión sistémica, como la bacteriemia, que ocurre en el 54 % de los pacientes. Una radiografía simple de abdomen y/o una TAC abdominal5 es suficiente para descartar esta patología.
Figura 1.





