To the Editor:
We report the case of a 48-year-old woman, smoker, with a history of allergic rhinitis and bronchial hyperreactivity. Surgery for tonsillectomy, basal-cell carcinoma and cervical conization due to CIN II moderate dysplasia, infection due to the human papilloma virus, erosive cervicitis and squamous metaplasia. Admitted in July 2008 due to painless haematuria persisting for months, with no history of lithiasis or urinary infection. Microhaematuria (30-50 RBC/F) was confirmed with 8%-15% of dymorphias without microalbuminuria (0.15g proteinuria in 24-hour urine).
The physical examination, Ambulatory Blood Pressure Monitoring (ABPM), bladder-kidney echo-Doppler and renal angiography were normal. Bladder lesions were ruled out by cystography and the urinary cytology was negative for neoplastic cells.
Analysis: persistently high levels of IgE, IgM (220-400mg/dl) and ASLO (antistreptolysin antibodies) (330-338IU/l) were detected. Rest of autoimmunity (cryoglobulins, rheumatoid factor, IgA, IgG, C3, C4, antinuclear antibodies, antineutrophil cytoplasmic antibodies, anti-GBM antibodies, protein electrophoresis) and tumour markers were normal. Viral serology, however, showed clear negativity for hepatitis A and B (HBsAg neg, HBsAb +, HBcAc neg) and the human immunodeficiency virus, but not for hepatitis C virus (HCV), which was repeatedly inconclusive or indeterminate (immunoblotting band C1 positive; C2, E2, NS3 and NS4 negative) with negative polymerase chain reaction for classic HCV. Blood count, lipid profile, glucose, urea, creatinine, uric acid, ions, glutamic pyruvic transaminase (GPT) and gamma-glutamyl transferase (GGT) were normal. Glutamic oxaloacetic transaminase (GOT) and total minimum bilirubin were temporarily high (32-41IU/ml and 1.42mg/dl, respectively), and subsequently remained within the normal range (<22IU/ml and <1.00mg/dl).
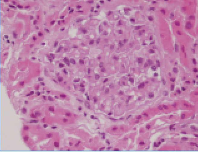
Percutaneous renal biopsy was performed, with the following findings (Figure 1 and Figure 2): "Optical microscopy: nine glomeruli without sclerosis, hypertrophy or significant increase in cellularity, apart from slight mesangial proliferation of focal segmental distribution; slight diffuse increase in mesangial matrix and in some granulocyte in the flocculonodular lobe; absence of interstitial inflammatory infiltrate and pathology in the basement membrane (BM); mild focal periglomerular fibrosis. Immunofluorescence: negative for IgG, IgA, C1q, kappa and lambda chains. Glomerular IgM (+/-) with positive C3 in some Bowman's capsules. Electron microscopy: a glomerulus with an increase in mesangial matrix with BM of normal thickness and absence of electron dense deposits". The diagnosis from the pathological point of view was: "Minimal glomerular lesions, mainly mesangial."
Bearing in mind the high level of ASLO, the focal and segmental character of mesangial lesions and their coexistence with isolated neutrophilic granulocytes, we considered the possibility of a previous subclinical postinfectious glomerulonephritis.
In 2010, the patient still had haematuria and the previous analytical abnormalities, without displaying outbreaks of allergies during her progression. We insisted on diagnosing HCV, with samples being sent for detection by high resolution techniques (RNA in peripheral blood mononuclear cells and RNA by ultracentrifugation in serum1,2), being negative for the first but positive for the second (240 copies/ml). The FibroScan® did not detect liver disease. Liver biopsy was considered, but at present, not indicated, due to the benefit/risk balance. She reported no risk factors for HCV infection, although her medical history showed vaginal papillomavirus.
The clinical progression has been stable for four years of follow-up.
Lastly, microscopic haematuria with minimal glomerular lesions of mesangial predominance was diagnosed in a patient with occult HCV and persistently high levels of ASLO, IgM and IgE without, so far, confirming a causal relationship.3 This is the first patient to be diagnosed with occult HCV with a non-dialysis nephropathy, although the causality or relationship between factors remains to be determined. Given the history of bronchial asthma with the possibility of requiring immunosuppressant treatment,4 monitoring of the viral load by ultrasensitive techniques described1,2 is considered to be important.
We wish to thank Dr. Guillermina Barril for his knowledge about the classical occult C virus in patients on haemodialysis, which has allowed us to extrapolate this diagnosis to the rest of the patients with nephropathy.
Conflicts of interest
The authors declare that they have no conflicts of interest related to the contents of this article.
Figure 1. Renal biopsy.
Figure 2. Renal Biopsy 2.






