Membranoproliferative glomerulonephritis due to immune complexes (MPGN-IC) idiopathic is a diagnosis of exclusion, made after ruling out the most common etiological processes associated with this pattern of glomerular injury (infectious, autoimmune diseases, gammopathies, among others). Idiopathic MPGN-IC shares with C3 glomerulopathy the activation of the alternative complement pathway, often evidenced by decreased serum C3 levels.
Currently, there is no specific treatment for this type of glomerulonephritis; however, various immunosuppressive agents (such as prednisone, mycophenolate, cyclophosphamide, rituximab) have been used depending on the severity of the case.
We present a clinical case diagnosed with idiopathic MPGN-IC presenting as an aggressive nephritic-nephrotic syndrome with rapidly progressive renal deterioration unresponsive to conventional therapy, requiring hemodialysis. Complete remission was achieved after initiating treatment with iptacopan, an oral inhibitor of factor B of the alternative complement pathway, and we demonstrate the patient's evolution over 12 months of treatment.
La glomerulonefritis membranoproliferativa por inmunocomplejos (GNMP-IC) idiopática es un diagnóstico de exclusión una vez descartados los procesos etiológicos más frecuentes asociados a este patrón de daño glomerular (infecciosos, enfermedades autoinmunes, gammapatías entre los más frecuentes).
La GNMP-IC idiopática podría compartir con la glomerulopatía C3 la activación de la vía alternativa del complemento mostrando en muchos casos un descenso de los valores del C3 en suero.
No existe en el momento actual un tratamiento específico para esta glomerulonefritis, aunque se han utilizado diversos fármacos inmunosupresores (prednisona, micofenolato, ciclofosfamida, rituximab) dependiendo la severidad del caso.
Presentamos un caso clínico con diagnóstico de GNMP-IC idiopática que se presenta como síndrome nefrítico-nefrótico de curso agresivo con deterioro rápidamente progresivo de la función renal sin respuesta al tratamiento convencional con necesidad de hemodiálisis, que logra remisión completa tras iniciar tratamiento con iptacopán, un inhibidor oral del factor B de la vía alternativa del complemento y mostramos la evolución tras 12 meses de tratamiento.
Idiopathic membranoproliferative glomerulonephritis due to immune complexes (IC-MPGN) is a diagnosis of exclusion, that is, once a compatible histological diagnosis has been obtained and others, such as infectious conditions, autoimmune diseases or gammapathies—among the most frequent etiological processes associated with this pattern of glomerular damage—have been ruled out.1–5
Different studies have suggested that idiopathic IC-MPGN shares the activation of the alternative complement pathway with C3 glomerulopathy (C3G), resulting in a decrease in serum C3 values in many cases.2,3 Depending on the severity of the clinical picture, treatment of IC-MPGN includes supportive therapy with antiproteinurics, such as renin–angiotensin system inhibitors, aldosterone inhibitors or iSGLT2, associated corticosteroids, mycophenolate mofetil (MMF) and even cyclophosphamide or rituximab in more severe cases. However, there is currently no specific treatment for this glomerulonephritis.1,6–8
We present a clinical case involving a diagnosis of idiopathic IC-MPGN with an aggressive course, in which the patient did not respond to conventional treatment but achieved complete remission after initiating treatment with iptacopan, an oral inhibitor of factor B of the alternative complement pathway that specifically inhibits the enzymatic activity of the C3 convertase.9 The evolution of the condition after 12 months of treatment is also described.
Clinical caseA 52-year-old woman presented with a personal history of obesity, with a body mass index (BMI) of 30 kg/m2. In 2022, she underwent gastric balloon implantation, which resulted in a weight loss of 30 kg (BMI of 24.9 kg/m2); the balloon was removed one month before admission. She also had lumbar facet syndrome that required periarticular infiltration at the bilateral lumbar level in April 2023 and was an active smoker. She had no known allergies and no previous pharmacological treatments.
The patient was admitted to the emergency department in July 2023 because of progressive edema for three weeks without other accompanying symptoms. She denied any recent infectious episodes and denied taking nonsteroidal anti-inflammatory drugs (NSAIDs) or other medications in the preceding weeks.
On physical examination, the patient presented with a blood pressure of 151/89 mmHg and a normal heart rate, was afebrile, had normal cardiopulmonary auscultation and had edema in the lower extremities with pitting up to the knees.
Initial laboratory tests in the emergency department showed: a normal blood count and normal coagulation; blood chemistry with a creatinine (Cr) concentration of 1.03 mg/dL, a total protein concentration of 5 g/dL and an albumin concentration of 2.9 g/dL. Urinary sediment testing revealed a red blood cell count of 64.24/μL, a leukocyte count of 55.4/μL, and a protein/Cr ratio in urine (uPCR) of 4.113 mg/g.
We admitted the patient with a diagnosis of nephritic–nephrotic syndrome for for diagnostic workup and diuretic (depletive) therapy, for which she initially received intravenous diuretic therapy and an angiotensin-converting enzyme inhibitor (ACEI), which resulted in a good initial response. During hospital admission, different complementary tests were performed, revealing a C3 concentration of 51.8 mg/dL (normal range: 80–190); a C4 concentration of 22.3 mg/dL (15–55), an IgG concentration of 351 mg/dL (552–1631); an IgA concentration of 108 mg/dL (70–400); an IgM concentration of 44 mg/dL (33–293); and a cholesterol concentration of 255 mg/dL.
Autoimmunity markers (antinuclear antibodies [ANAs], anti-extractable nuclear antigen antibodies [ENAs], antineutrophil cytoplasmic antibodies [ANCAs], anti-PLA2R, anti-MBG, anti-citrullinated peptide, and rheumatoid factor) and tumor markers (alpha-fetoprotein, carcinoembryonic antigen [CEA], cancer antigen (CA)-125, and CA-19.9) were negative. The proteinogram was normal. The total protein concentration was 4.2 g/dL, and the albumin concentration was 2.8 g/dL. The 24-h urine test yielded the following results: diuresis 3800 mL, proteinuria 4.8 g/24 h, and albuminuria 3.3 g/24 h. The serology results were negative for hepatitis B virus (HBV), hepatitis C virus (HCV), human immunodeficiency virus (HIV) and interferon gamma (IGRA). Ultrasound of the abdomen was normal.
Renal biopsy was performed and given the favorable initial evolution of the patient’s condition, we discharged her while waiting for the biopsy results, which subsequently established a diagnosis of idiopathic IC-MPGN after optical microscopy (OM), immunofluorescence (IF) and electron microscopy (EM) analyses of the sample (Fig. 1).
Histopathological changes in the first renal biopsy (July 2023).
Glomerulus showing a pattern of membranoproliferative lesions with splitting of the GBM. PAS staining, ×20 (A). On direct IF, diffuse and global capillary–mesangial cell staining for IgG (+++) (B) and C3 (+++) (C) is observed, in addition to staining for the kappa chain (+++), the lambda chain (+), C1q (++), IgM (+), C4 (+) and C4d (+++). EM revealed the presence of electron-dense amorphous deposits in the mesangial area and in the GBM (yellow arrows). Splitting images of the GBM (blue arrow) (D).
OM analysis of the paraffin-embedded samples revealed 29 glomeruli, one of which was sclerosed, and all of which showed mesangial expansion of cellularity and of the mesangial substance, as well as endocapillary hypercellularity and thickening and unfolding of the glomerular basement membrane (GBM), leading to an accentuation of the lobular pattern. In the interstitium, there was little inflammatory infiltrate with a predominantly mononuclear composition, mild fibrosis and mild tubular atrophy. The vascular structures showed focal and mild myointimal hyperplasia. CD61 staining revealed no thrombotic phenomena. Staining for amyloid A was negative.
The material selected for IF contained 10 glomeruli, none of which were sclerosed. Diffuse and global peripheral granular glomerular deposition was observed in the GBM and in the mesangial area, with positive staining for IgG (+++), C3 (++/+++), the kappa chain (+++), the lambda chain (+), C1q (++), IgM (+), and C4 (+). C4d (+++) staining showed diffuse glomerular and global capillary and mesangial cell patterns. No deposits were observed in the tubulointerstitial region or vascular walls. Occasional trace glomerular IgA was detected.
In the EM study, electron-dense amorphous deposits were observed in the GBM, especially in the subendothelial and intramembranous regions, with thickening and splitting of the GBM, as well as increased endocapillary cellularity. In podocytes, pedicel fusion was observed. Deposits were also observed in the mesangial area. There were no deposits with the characteristics of the disease among the dense deposits, nor were any deposits organized in the form of fibrils.
Given this diagnosis, the study was expanded to screen for secondary glomerulonephritis with requests for cryoglobulins, free light chains, immunofixation and Bence–Jones proteinuria, PET-CT, echocardiography, and a complement study (Annex A). All results were normal or negative, leading to a final designation of idiopathic IC-MPGN.
The subsequent evolution of the patient’s condition was unfavorable, with proteinuria increasing to 7.2 g/24 h (Fig. 2), highly active urinary sediment and persistent consumption of C3 (Fig. 3). Thus, we started treatment with prednisone at 1 mg/kg of body weight and MMF 2 g daily; however, after one month of treatment, the unfavorable evolution continued, with rapidly progressive deterioration of renal function and a Cr concentration of 5.9 mg/dL. Therefore, the patient was admitted again for intravenous treatment (Fig. 4).
Three boluses of 1 g of methylprednisolone and 6 boluses of cyclophosphamide at 12.5 mg/kg of body weight did not yield any responses; thus, the patient was treated with rituximab 0.5 g weekly for four weeks.
The evolution of the patient’s condition continued to be unfavorable despite the treatment administered; she remained in anuria and required hemodialytic renal replacement therapy (RRT), which began in November 2023.
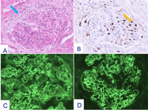
A second renal biopsy was performed during this treatment in December 2023, which confirmed idiopathic IC-MPGN but now with obvious extracapillary proliferation in eight of the 20 glomeruli contained in the sample (none sclerosed), of which six were epithelial crescents and two were mixed, demonstrating interstitial fibrosis and mild tubular atrophy (Fig. 5).
Histopathological changes in the second renal biopsy (December 2023).
Glomerulus showing increased mesangial cellularity and endocapillary hypercellularity along with extracapillary proliferation in the form of an epithelial crescent (blue arrow). Hematoxylin‒eosin staining, ×20 (A). CD68 staining revealed an increase in the number of monocyte cells inside the glomerular capillaries (yellow arrow) Immunoperoxidase, ×20 (B). On direct IF, diffuse and global capillary–mesangial cell staining is noted for IgG (+++) (C) and C3 (+++) (D).
Given the severity of the case and its refractoriness to treatment, we requested iptacopan through the compassionate use program of Novartis. The patient signed informed consent to authorize its use and was vaccinated against encapsulated bacteria prior to the start of treatment, according to the recommendations of the product data sheet.
In February 2024, the patient started oral iptacopan 200 mg every 12 h; subsequently, the patient demonstrated normalization of plasma C3 levels within 72 h (Fig. 2), progressive recovery of diuresis and the glomerular filtration rate—which allowed the patient to suspend dialysis—and progressive decreases in proteinuria and microhematuria (Figs. 3 and 4).
The patient is currently being treated with 2.5 mg of prednisone (at a decreasing dose) and iptacopan, in addition to supportive treatment. After 12 months of treatment with anti-factor B, the patient presented a Cr concentration of 0.8 mg/dL (eGFR 75 mL/min/1.73 m2), proteinuria of 0.2 g/24 h and the absence of microhematuria in the sediment (Figs. 2–4).
It should be noted that she has not experienced any serious infectious events, except for an isolated urinary infection that responded adequately to oral antibiotic treatment without the need to interrupt the other treatment, nor has she experienced any side effects associated with iptacopan.
DiscussionIC-MPGN can occur in patients with autoimmune diseases (lupus nephritis, rheumatoid arthritis, Sjögren syndrome, cryoglobulinemia, or mixed connective tissue disease), chronic viral infections, bacterial infections, sickle cell anemia and monoclonal gammapathies.1–5 In these cases, treatment of the underlying condition (immunosuppression for autoimmune diseases and antivirals and antibiotics for viral and bacterial infections, respectively) often also improves renal injury and dysfunction.1–5
When none of these pathologies is confirmed to be a causal factor, the condition is considered idiopathic, as was the case for the patient we present herein. C3G seems to share activation of the alternative complement pathway with idiopathic IC-MPGN, but thus far, there is no specific etiological treatment for these cases.1,2
The benefits of immunosuppression in patients with IC-MPGN are uncertain. Treatments with oral and intravenous corticosteroids, calcineurin inhibitors, cyclophosphamide, MMF and rituximab have been attempted, but the results reported are scarce and controversial.6–8 In some studies, prolonged treatment with oral prednisone in children with idiopathic IC-MPGN slowed the progression of the disease to some extent10; however, there is no evidence that steroids are effective in adults.2,11
Two recent retrospective studies, one multicenter11 and another in a cohort from a single pediatric center,6 which included patients with C3G and idiopathic IC-MPGN, did not find an association between immunosuppressive treatment (corticoids and MMF) and improvement in renal disease or renal histology (histologic findings).
Rituximab has been shown to be effective in patients with secondary forms and monoclonal immune deposits. This treatment was also attempted in some patients with primary C3G or IC-MPGN, but the published results were essentially negative.7 In our patient, given the aggressiveness and rapid evolution of her condition, different treatments were attempted (steroids, MMF, cyclophosphamide and rituximab), but none were successful.
Currently, several molecules that inhibit the complement system at different levels (factor B, factor D, C3, C5, and C5r) are either in development or have been approved.
Iptacopan is a small, orally administered molecule that binds to factor B and Bb and does not prevent the formation of the C3 convertase but does specifically inhibit its enzymatic activity by blocking its cleavage of C3 and the activation of the amplification loop, without affecting the classical/lectin pathways 9.
In an open phase 2 study (NCT03832114), treatment with iptacopan for 12 weeks was associated with a significant reduction (45%) in proteinuria in patients with C3G in the native kidney (cohort A) and a significant reduction in C3 deposits in renal grafts of patients with recurrent C3G posttransplantation (cohort B). The treatment was well tolerated without severe adverse events.12
Preliminary results at 12 months in 26 patients who participated in a long-term extension study (NCT03955445) revealed that 53% of patients in cohort A met the composite objective of a stable/improved eGFR, a reduction of ≥ 50% from baseline in the urine protein/creatinine ratio (uPCR) and an increase of ≥ 50% in the serum C3 concentration. In patients from cohort B, the eGFR remained stable, and the C3 concentration increased by 96%.13 Recently, preliminary results have been published at 33 months of treatment, indicating favorable results in terms of a reduction in proteinuria (41%) and the evolution of renal function.14
A multicenter, double-blind, placebo-controlled phase 3 study (APPEAR-C3G, NCT04817618) is underway in adolescent and adult patients with C3G who are aged 12–60 years and who were randomized to receive iptacopan or placebo for six months, followed by open treatment with iptacopan for six months. The main objective of this study is to evaluate the efficacy of iptacopan compared with that of placebo in reducing proteinuria. The secondary objectives include the composite renal objective score, total histological activity score and fatigue.15 The 12-month results from this study have recently been presented, showing a sustained reduction in proteinuria at (-37%), a stable and sustained eGFR (+0.84 mL/min/1.73 m2) and a favorable safety profile.16
The phase 3 APPARENT trial (NCT05755386) in adults and adolescents with idiopathic IC-MPGN is in the patient inclusion phase.17
Other molecules that inhibit the complement system at other levels have also shown promise in this type of pathology, including pegcetacoplan (PEG), a C3/C3b inhibitor.
VALIANT (NCT05067127) is a double-blind, placebo-controlled trial investigating the efficacy and safety of PEG in adolescents and adults with C3G in the native kidney or recurrent C3G in the transplanted kidney and in patients with IC-MPGN.18 A total of 124 patients were randomized into the PEG group (63 patients; subcutaneous infusion twice a week) and the placebo group (61 patients); at week 26, the PEG group demonstrated a 68.3% reduction in the uPCR compared with that in the placebo group (p < 0.0001). The results were consistent across all the subgroups analyzed (type of disease, age and transplant status). In addition, compared with those in the placebo group, a marked reduction in C3 deposition in renal tissue and clinically significant stabilization of the eGFR were observed in the PEG group. The frequency and severity of treatment-related adverse events were similar between the groups.18
In our patient, iptacopan normalized plasma C3 levels within 72 h and was associated with improved glomerular filtration, allowing discontinuation of renal replacement therapy, and with remission of proteinuria; treatment was well tolerated without noteworthy adverse effects.
At this point, since there is no evidence on the optimal duration of treatment, we propose performing a new biopsy in the patient, and if it shows an absence of disease activity, we will suspend treatment, carefully control her remaining treatments and monitor C3 levels as a marker in this case.
ConclusionIptacopan was effective in a patient with severe idiopathic IC-MPGN that was refractory to standard treatment.
FinancingThe authors declare that they have not received any funding to complete this article.
The authors declare that they have no conflicts of interest.
The study of the alternative complement pathway included the determination of anti-factor H antibodies and C3 nephritic factor and a genetic study of complement genes by whole-exome sequencing, focusing on the genes related to defects in the complement pathways, namely, C1QA, C1QB, C1QC, C1R, C1S, C4A + C4B, C2, C3, C5, C6, C7, C8A, C8B, C8G, C9, CD46, CD55, CD59, CFB, CFD, CFH, CFHR1, CFHR2, CFHR3, CFHR4, CFHR5, CFI, PFC, FCN3, MASP2, SERPING1, and THBD.








