Renal ultrasound is a fundamental tool in nephrological practice due to its non-invasive nature, accessibility, and low cost. Although it is widely used for the initial diagnosis of kidney diseases, its role as a follow-up method in chronic kidney disease (CKD) is less frequent.
This review explores the correlation between ultrasound parameters and CKD progression, considering that these may reflect kidney morphostructural changes.
Several ultrasound parameters are analyzed: renal length adjusted for height and corrected parenchymal thickness show a significant association with estimated glomerular filtration rate (eGFR). In contrast, cortical thickness and renal width present limitations and show poor correlation with eGFR.
Renal echogenicity, assessed against the liver and spleen, is related to irreversible renal damage and histological changes such as tubular atrophy and glomerulosclerosis, being one of the best ultrasound predictors of CKD progression. Of particular note is the CKD ultrasound score proposed by Yaprak, which integrates renal length, parenchymal thickness, and parenchymal echogenicity. This score has demonstrated high predictive ability to identify eGFR <60 ml/min, with an area under the curve of 0.829, sensitivity of 81%, and positive predictive value of 92%.
Finally, intrarenal Doppler parameters are described. The resistive index (RI) and peak systolic velocity (PSV) correlate with renal histological damage.
In conclusion, when appropriately applied and interpreted, renal ultrasound can provide valuable information for a more comprehensive assessment of CKD progression.
La ecografía renal es una herramienta fundamental en la práctica nefrológica por su carácter no invasivo, accesible y bajo coste. Aunque es ampliamente utilizada para el diagnóstico inicial de patologías renales, su uso como método de seguimiento en la enfermedad renal crónica (ERC) es menos frecuente.
Este trabajo revisa la correlación entre los parámetros ecográficos y la progresión de ERC, considerando que estos pueden reflejar los cambios morfoestructurales del riñón.
Se analizan diferentes parámetros ecográficos: la longitud renal corregida por estatura y el grosor parenquimatoso corregido se asocian significativamente con el filtrado glomerular estimado (FGe). Por el contrario, el grosor cortical y el ancho renal presentan limitaciones y escasa correlación con el FGe.
La ecogenicidad renal, evaluada frente al hígado y bazo, se relaciona con daño renal irreversible, y con cambios histológicos como atrofia tubular y esclerosis glomerular, siendo uno de los mejores predictores ecográficos de progresión de la ERC.
Destaca la puntuación ecográfica de ERC propuesto por Yaprak, que integra: longitud renal, grosor y ecogenicidad parenquimatosa. Esta puntuación ha demostrado una alta capacidad predictiva para identificar un FGe <60 ml/min, con un área bajo la curva de 0,829, sensibilidad del 81% y valor predictivo positivo del 92%.
Finalmente, se describen los parámetros del Doppler intrarrenal. El índice de resistencia (IR) y la velocidad sistólica máxima (VSM) se correlacionan con el daño histológico renal.
En conclusión, la ecografía renal, correctamente utilizada y contextualizada, puede aportar información valiosa para una evaluación más completa en la progresión de la ERC.
Renal ultrasound is a fundamental tool in nephrology practice because of its availability, inexpensiveness and noninvasiveness. It is routinely used to evaluate renal morphology and detect parenchymal and urinary tract diseases and is the first choice for the initial assessment of renal patients. However, it maybe not be used with the same frequency to monitor the evolution of chronic kidney disease (CKD).1
In patients with CKD, ultrasound parameters are very useful because they provide indirect information on the morphostructural changes that occur in kidneys with chronic damage.2
Renal ultrasound may complement the laboratory parameters assessed during follow-up in patients with CKD to achieve a more complete and individualized evaluation.
Most studies addressed in this review define the progression of CKD as a decrease in the estimated glomerular filtration rate (eGFR) of >10% in one year or a doubling of the serum creatinine level.
Studies that have assessed the association between CKD and ultrasound do not typically assess other clinical factors, such as proteinuria and/or albuminuria, and instead focus on comparing ultrasound parameters with glomerular filtration rates.
The integration of functional and morphostructural information is not routinely performed in nephrology, possibly because the reliability of renal ultrasound is limited by operator subjectivity, and the renal parameters depend, in part, on anthropometric variables.1,2
In this manuscript, the structural alterations of the kidney and their associations with renal function and/or renal histology, along with their corresponding limitations, are described in specific sections (Table 1).
Correlations of ultrasound parameters with the glomerular filtration rate, associations with histology and relevant limitations.
| Ultrasound parameter | Correlation with eGFR | Association with renal histology | Limitations |
|---|---|---|---|
| Kidney length | - Significant correlation if corrected for height/weight. - Discriminates AKI from CKD. - Useful for detecting reduced eGFR, especially in stages 3−4. | - Length inversely correlated with glomerulosclerosis and tubular atrophy. | - Does not predict progression by itself. - Intra/interobserver variability. - A normal size does not exclude CKD. |
| Parenchymal thickness | - Better correlation with eGFR than length alone. | - Inversely associated with tubular atrophy. | Low reproducibility if poor corticomedullary differentiation. |
| Cortical thickness | - Inconsistent correlation with eGFR | - Associated with tubular atrophy and fibrosis. | - Difficult to measure in advanced CKD due to poor corticomedullary differentiation. - Low reproducibility. |
| Renal width | - Very poor correlation with eGFR. | - No consistent histological association. | - Not recommended in the evaluation of CKD. |
| Renal echogenicity | - Hyperechogenicity is negatively correlated with eGFR; powerful predictor. | - Associated with glomerulosclerosis, tubular atrophy, interstitial fibrosis, and irreversible damage. | - Subjective assessment (comparison with liver/spleen). - Interobserver variability. |
| Resistance index (RI) | - Associated with impaired renal function. - Predicts progression - RI > 0.8: up to 5 times greater risk of progression. | - Associated with tubulointerstitial damage, glomerulosclerosis and vascular lesions. | - Influenced by atherosclerosis, age and hemodynamic factors. Some studies show no association with progression. |
| Peak systolic velocity (PSV) | - Not well studied. - Progressive increase associated with CKD. | - Associated with tubulointerstitial damage and glomerulosclerosis. | - Mechanisms not fully elucidated. - Less validated than RI. |
| End-diastolic velocity | - No significant correlation observed with eGFR. | - No associations with histology. | - Not useful as a marker of progression. |
This review aims to identify the ultrasound parameters that are best correlated with the eGFR and the progression of CKD.
LengthA normal kidney is between 9 and 12 cm in length. Lengths <9 cm suggest advanced chronic injury, whereas asymmetry >1.5 cm indicates unilateral pathology. However, a normal size does not exclude kidney disease.3
Numerous studies have correlated renal dimensions with functional parameters such as the eGFR. The length of the kidney is useful for discriminating acute kidney injury (AKI) from CKD: in AKI, the kidney size is usually normal, whereas in CKD, it tends to be smaller.2,4
Lucisano et al.1 reported significant differences between the uncorrected kidney length and the kidney length corrected by anthropometric parameters for an eGFR between 30 and 90 mL/min and confirmed that the most important changes in the kidney occur in stages 2 and 3 of CKD, with renal length always having to be corrected for height and weight.
The corrected length is the best parameter that can be measured on B mode ultrasound, yielding greater sensitivity (Sen: 82.4%) and specificity (Spe: 75.8%) than isolated parameters such as the thickness of the parenchyma and renal cortex.1 There are several formulas for calculating the GFR from kidney length along with sex, height, body surface area, etc., but they are not very useful because they require multiple measurements of kidney length due to intra- and interobserver variability.3,5,6
The weight- and height-corrected kidney length, according to the formula proposed by Harmse,7 is the B mode parameter that best discriminates the presence of a moderately reduced eGFR, exceeding the parenchymal and cortical thickness when analyzed in isolation.1 However, renal length alone cannot predict the progression of CKD; to demonstrate prognostic value, it must be accompanied by other ultrasound indicators of chronicity, such as parenchymal thinning or increased echogenicity, which we will analyze later.6
Several studies have revealed differences in ultrasound findings between patients with and without diabetes mellitus (DM).8,9 Ham et al.8 performed a longitudinal study over 3.8 years in 162 patients with DM diagnosed by renal biopsy; they found that patients with DM have greater renal volumes and lengths than patients without DM do; in addition, renal cortical echogenicity is greater in patients with early-stage DM than in those without DM.9,10 The same studies confirmed the associations of length, parenchymal thickness and increased renal echogenicity with CKD progression.
In a retrospective study of patients who underwent renal biopsy, a shorter kidney length was significantly associated with a greater presence of glomerular sclerosis and tubular atrophy.11 Another study revealed that kidney size was inversely correlated with the extent of glomerulosclerosis (GS) and tubular atrophy12 and that a reduction in kidney size reflects advanced structural damage.
Finally, it should be noted that a small kidney together with a thinned renal parenchyma offers greater discrimination than the individual parameters do for determining the deterioration of renal function.
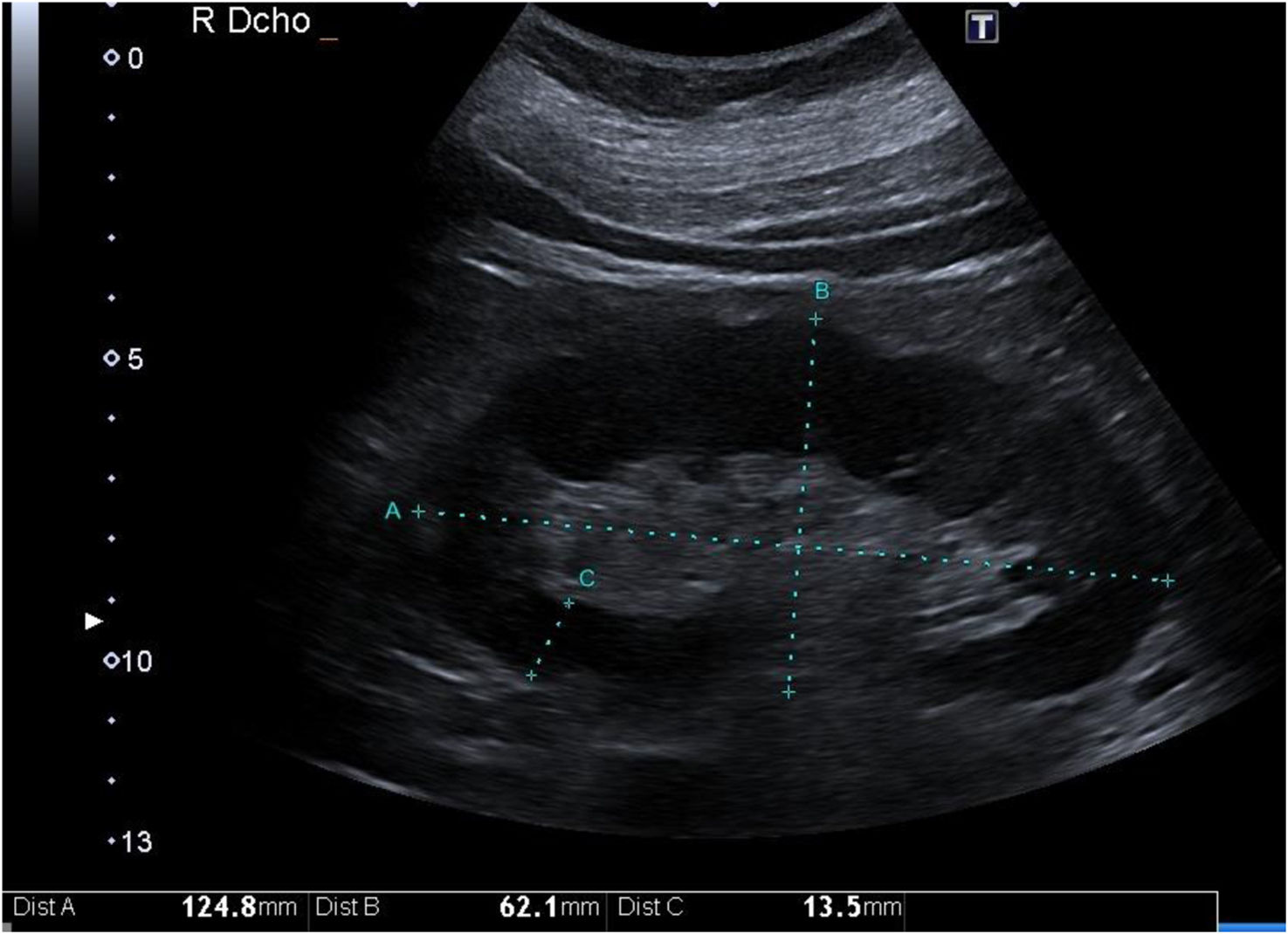
Parenchymal thickness, cortical thickness and kidney widthParenchymal thickness is correlated with the degree of CKD, and the strength of this correlation is significantly increased when the thickness is corrected for body height.1 It is also inversely associated with the degree of tubular atrophy. However, this is not the case for cortical thickness11 (Fig. 1).
The corrected parenchymal thickness is the only B-mode parameter (excluding parenchymal echogenicity) that decreases progressively as the eGFR increases. This parameter shows greater specificity according to receiver operating characteristic (ROC) curve analysis in distinguishing an eGFR lower than 60 mL/min than for distinguishing kidney length, cortical thickness, and kidney width. However, the corrected parenchymal thickness yielded a lower area under the curve (AUC) than did the echogenicity of the renal parenchyma.1,12
The thickness of the renal cortex is rarely used by researchers because of the difficulty of measuring it in patients with poor corticomedullary differentiation, which is relatively common in patients with advanced CKD. Given that this interface is difficult to identify, reproducibility in related measures is low, and so few studies use it; this translates to a lack of consistent data on the association between renal cortical thickness and impaired renal function. Similarly, Beland et al.13 demonstrated that the thickness of the cortex was closely correlated with the eGFR (Fig. 2).
The width of the kidney is poorly correlated with the eGFRa parameter with, even when it is corrected for height; thus, it should not be considered in the evaluation of patients with CKD.1,14
In summary, studies have shown that the parameters that are best correlated with the eGFR are kidney length and parenchymal thickness after correction for body height and weight.1,12
Echogenicity of the renal parenchymaA high kidney parenchymal echogenicity represents a relatively strong ability of the parenchyma to reflect ultrasound waves. Echogenicity is evaluated only in comparison with other adjacent structures, such as the liver and spleen. Measurements of renal echogenicity could aid in evaluating the initial state and prognosis of the kidneys.
O’Neill et al. reported that a thin cortex and high echogenicity indicate irreversible damage.15 Libório et al. reported that high renal echogenicity relative to that of the liver and spleen can be used to identify patients with irreversible advanced CKD, especially patients with a normal-sized kidney.16
In a study by Ham et al.8 in 2023, which included 252 patients with ultrasound and analytical parameters, renal echogenicity was negatively correlated with the eGFR; in addition, greater renal echogenicity was significantly associated with an increased risk of progression in CKD.6
The working group of Yaprak et al.12 investigated whether there was an association between the eGFR and CKD score through ultrasound (Table 2). In this 2016 study with 120 patients, the authors developed and validated an ultrasound score for CKD based on three parameters—kidney length, parenchymal thickness and cortical echogenicity—and reported that this score was inversely correlated with the eGFR. ROC curve analysis revealed that a CKD score >4.75 (mean of the sum of the scores of both kidneys) was the best parameter for identifying an eGFR <60 mL/min, with the highest AUC (0.829), a sensitivity of 81%, a specificity of 65% and a positive predictive value of 92%.12
The correlation was even more notable in diabetic patients, suggesting that this ultrasound score could be especially useful in the evaluation of CKD in this group. In addition, among the components of the score, parenchymal echogenicity had the strongest association with the eGFR.12
Siddappa et al. reported an association between increased renal echogenicity and increased serum creatinine levels, which supports the relationship of the latter with functional impairment.17 However, discrepancies persist in the literature concerning which is the most reliable ultrasound parameter for evaluating CKD.
A renal biopsy study revealed that cortical hyperechogenicity is associated with GS, interstitial fibrosis and tubular atrophy, conditions that indicate irreversible renal damage.18 The proposed mechanisms by which tubular atrophy could increase renal cortical echogenicity include thickening of the tubular basement membranes or luminal dilation of the remaining tubules.18
In summary, none of the individual B-mode ultrasound parameters have demonstrated sufficient value as markers of the progression of CKD given the cross-sectional design of most of the available studies. Among the individual parameters, parenchymal echogenicity is most strongly correlated with the eGFR, followed by parenchymal thickness and, finally, kidney length adjusted for weight and height. However, the combination of these parameters offers greater diagnostic power and can predict the progression of CKD. This is evidenced in the studies of Yaprak et al.12 and Ham et al.,8 where an ultrasound score greater than 4.75 was associated with an eGFR <60 mL/min, with a sensitivity of 81%, a specificity of 65% and a positive predictive value of 92%.
Renal DopplerIt is important to determine the role of intrarenal or parenchymal Doppler ultrasound in the evaluation of renal pathology in patients with CKD. Its parameters allow the evaluation of vascular and tubulointerstitial (TI) alterations that are not visible on B-mode ultrasound.
The peak systolic velocity (PSV) is among the least studied parameters in the evaluation of CKD. The PSV is a semiquantitative indicator of renal blood flow that depends on the distensibility of the renal arterioles and is associated with renal vascular compliance and vascular resistance.19
A retrospective study of 992 patients by Chen et al.20 evaluated the correlation of multiple Doppler parameters (resistance index (RI), PSV and end-diastolic velocity) with histopathological changes.
Next, we present the formula for calculating the RI, although it should be noted that all the parameters are calculated automatically by the ultrasound equipment:
Both the RI and the PSV are negatively correlated with the eGFR and positively correlated with a higher histological damage score. In particular, an elevated PSV in interlobular arteries is associated with GS and TI damage, although the pathophysiological mechanisms that explain this relationship are not yet fully understood.20
The RI is an indicator of renal vascular resistance, which is usually caused by atherosclerosis; this measure is widely used because it is independent of the insonation angle and has low interobserver variability.
In several studies, an independent association was observed between the RI and deterioration of renal function but not between the RI and CKD progression.21–24 However, Chen et al. did not find an association between an increased RI and decreased renal function but did find a strong correlation between the RI and the presence of TI damage.20 Other studies have reported that an increased RI is related to GS, TI damage and vascular lesions.25,26
In a five-year longitudinal study involving 64 patients, Petersen et al.24 reported that an RI > 0.8 was associated with up to a fivefold greater risk of progression to renal replacement therapy.25 Other authors, such as Hanamura et al.22 with a two-year follow-up, and Sugiura et al.23 with 3.5 years of observation, corroborate the association previously described by Petersen et al.24; in fact, Surgiura et al.23 reported that the RI is an independent factor for a reduction in the glomerular filtration rate or the need for renal replacement therapy.
The end-diastolic velocity is not consistently related to the eGFR and is not recommended as a marker of disease progression.20,21
In summary, both the RI and the interlobular PSV are useful parameters for identifying renal dysfunction and the associated histological damage. The PSV increases progressively over the course of CKD and is associated with GS and TI injury; thus, it could act as a marker of progression. The RI, on the other hand, is consistently related to renal structural alterations; however, the evidence on its ability to predict eGFR reductions is inconsistent. Therefore, prospective studies with more robust methodologies are needed to confirm the prognostic value of these parameters and their usefulness in clinical decision-making.
ConclusionsRenal ultrasound is an undervalued tool in the evaluation of CKD and its progression. CKD is usually stratified according to the eGFR; however, this parameter is influenced by functional and pharmacological factors that alter systemic or renal hemodynamics and do not accurately reflect the degree of CKD. Therefore, to correctly evaluate patients with CKD, it is important that nephrologists know whether the changes in renal function are accompanied by morphostructural changes. Finally, ultrasound may be useful for differentiating acute or chronic processes in patients whose nephrological history is unknown.
FundingThe authors declare that they have not received funding to complete this article.
The authors declare that they have no conflicts of interest.







